症例詳細
Case detail
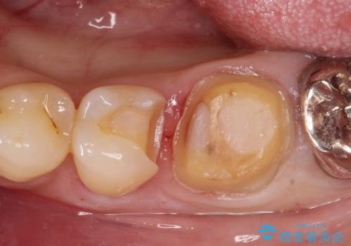
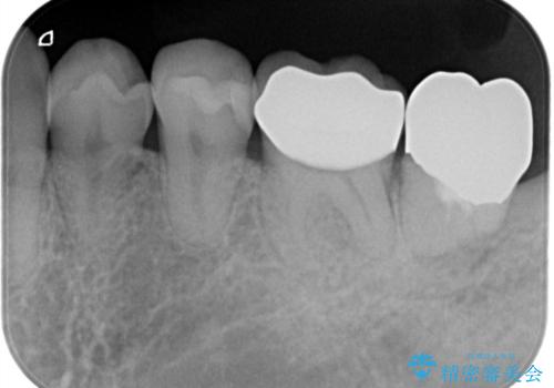
金属の詰め物がはずれた。
治療症例の内容
- 診療科目
- 担当医
- 河口智英(ドクタープロフィール)
- 患者様
- 30代男性
- 治療期間
- 1ヶ月
- 治療回数
- 2-5回
- 治療計画
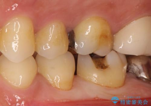
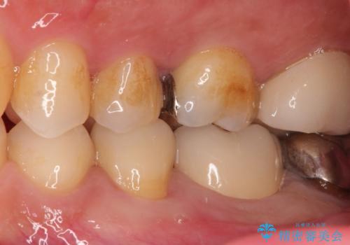
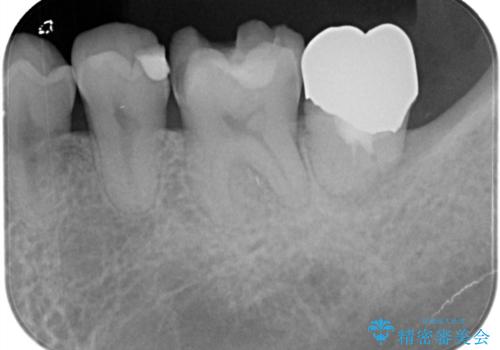
- 金属の詰め物が外れたことを主訴に来院されました。
隣の歯もむし歯を認め、セラミックインレーとセラミッククラウンにて治療を行なっております。
- 費用(概算)
- 17万円費用は治療当時の料金となります
治療について
最後方臼歯に関しては治療介入の希望はされませんでした。
セラミック治療の注意事項(リスク・副作用など)
- 天然歯を削ります
- 硬い素材は天然歯を傷つけてしまう場合があります
- かみ合わせや歯ぎしりが強すぎる方はセラミックが割れてしまう可能性があります
- 自費診療(保険適用外治療)となります
当サイトの内容、テキスト、画像等の無断転載、複製、複写、盗用を固く禁じます。







