症例詳細
Case detail
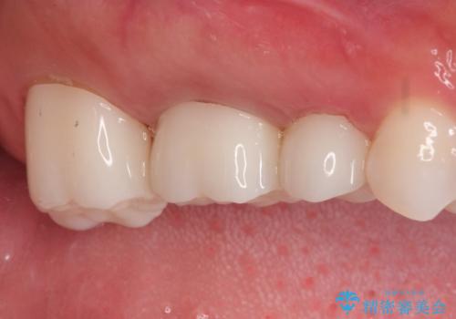
保険で治療した歯が欠けた。オールセラミッククラウンによる修復
治療症例の内容
- 診療科目
- 治療カテゴリ
- 担当医
- 河口智英(ドクタープロフィール)
- 患者様
- 20代女性
- 治療期間
- 2ヶ月
- 治療回数
- 2-5回
- 治療計画
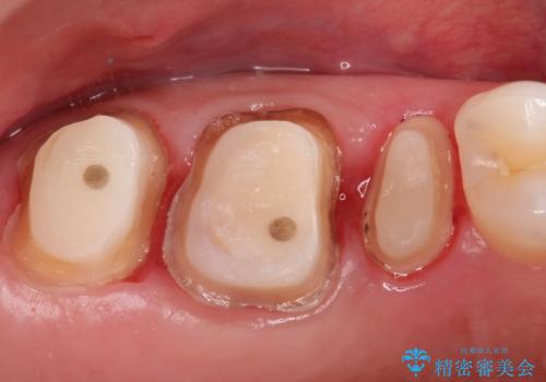
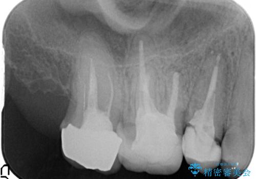
- 以前、他院で保険治療の被せ物を入れた歯が欠けてしまったことを主訴に来院されました。
その他の歯も適合が悪く治療が必要でしたので、3歯まとめて治療を行いました。
- 費用(概算)
- 21万円費用は治療当時の料金となります
治療について
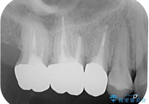
歯肉縁下マージンに対して矯正的挺出などの治療の選択肢や、根管治療の提案をしましたが、患者様との話し合いにより歯冠修復のみ行なっております。
セラミック治療の注意事項(リスク・副作用など)
- 天然歯を削ります
- 硬い素材は天然歯を傷つけてしまう場合があります
- かみ合わせや歯ぎしりが強すぎる方はセラミックが割れてしまう可能性があります
- 自費診療(保険適用外治療)となります
当サイトの内容、テキスト、画像等の無断転載、複製、複写、盗用を固く禁じます。







