症例詳細
Case detail
親知らずの移植 4年半経過症例 70代女性
治療症例の内容
- 診療科目
- 担当医
- 患者様
- 70代女性
- 治療期間
- 3ヶ月
- 治療回数
- 2-5回
- 治療計画
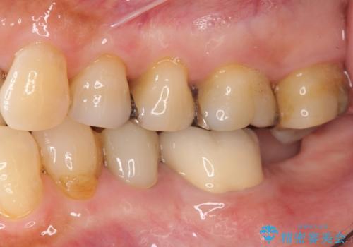
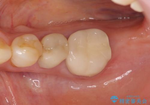
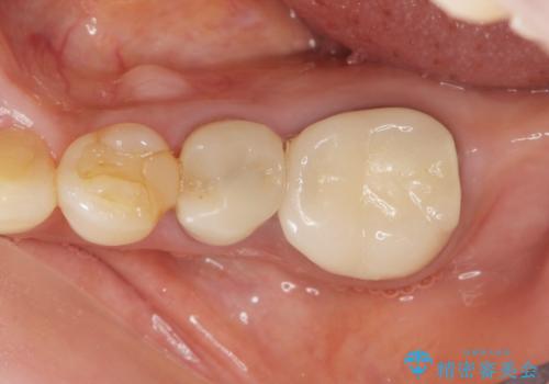
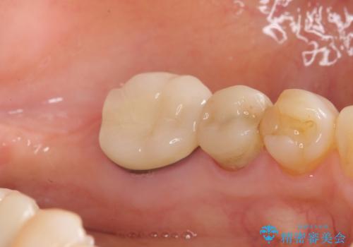
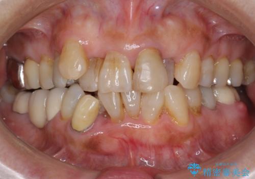
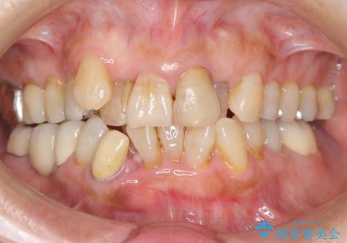
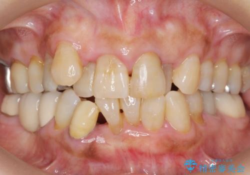
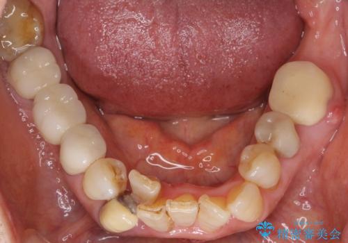
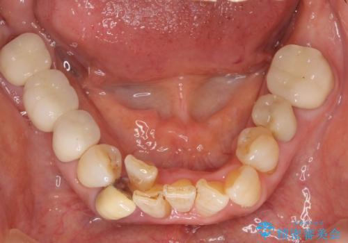
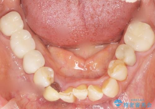
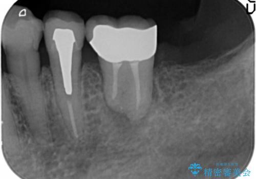
- 親知らずの移植治療から4年半経過した患者様です。
他の歯の治療をご希望され、数年ぶりに来院して下さいました。
移植した親知らずは全く問題ないそうで、「まるで自分の歯のようです。本当にすごい技術ですね。」とおっしゃって下さいました。
歯肉の腫脹や退縮、動揺も認められませんでした。
症例はこちらです。→https://seimitsushinbi.jp/case/9812/
- 費用(概算)
- ¥250,000 (自家歯牙移植、根管治療、仮歯、土台、被せ物)費用は治療当時の料金となります
治療について
4年半前に行った自家歯牙移植に大変ご満足頂き、ご家族も紹介して下さいました。
自家歯牙移植は40歳以上の場合、若年者に比べ成功率が低くなるとの報告もありますが、状態によっては移植が可能な場合もあります。
自家歯牙移植の注意事項(リスク・副作用など)
- 外科手術のため、術後に痛みや腫れ、違和感を伴います
- 適応範囲に制限があります(健康な親知らず・移植歯が必要など)
- 移植歯が生着しない可能性があります
- 予後が不安定で歯によっては長く持たない可能性があります
セラミック治療の注意事項(リスク・副作用など)
- 天然歯を削ります
- 硬い素材は天然歯を傷つけてしまう場合があります
- かみ合わせや歯ぎしりが強すぎる方はセラミックが割れてしまう可能性があります
- 自費診療(保険適用外治療)となります
当サイトの内容、テキスト、画像等の無断転載、複製、複写、盗用を固く禁じます。























