症例詳細
Case detail
目立つ銀歯を白くしたい 奥歯のセラミック治療
治療症例の内容
- 診療科目
- 担当医
- 藤巻太一朗(ドクタープロフィール)
- 患者様
- 30代女性
- 治療期間
- 2ヶ月
- 治療回数
- 2-5回
- 治療計画
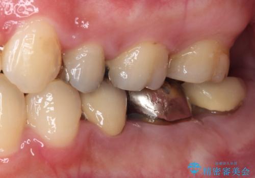
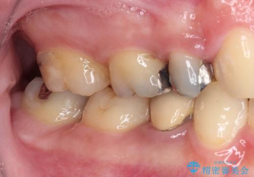
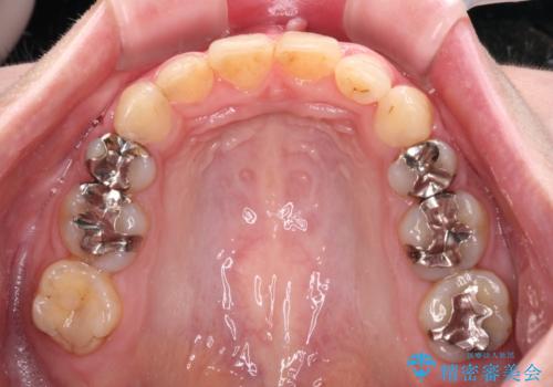
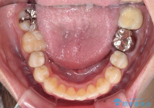
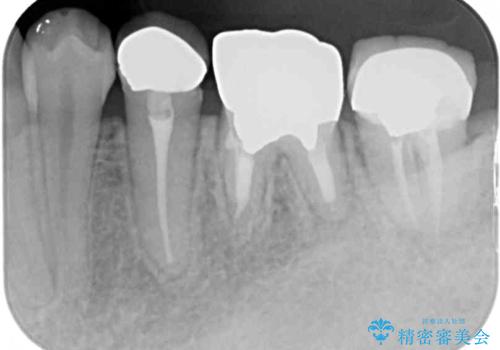
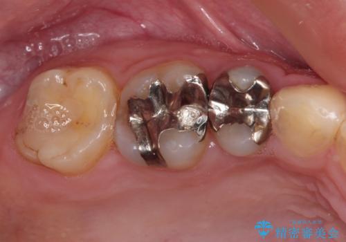
- 他院で抜歯矯正を終えた後、銀色の目立つ奥歯を白くしたいとのことで来院された患者様です。
既にセラミッククラウンが装着されている歯もありますが、不自然な色合いや黒い縁も気になるので、一斉に補綴治療をして統一感を持たせることとしました。
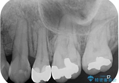
矯正治療を終えたばかりなので、仮歯やセラミッククラウンに置き換えている間に保定がうまくいかなくなる可能性があるため、下顎前歯の舌側を事前にワイヤーで保定しておくこととしました。
- 費用(概算)
- 治療費の目安: 60万円(税込)費用は治療当時の料金となります
治療について
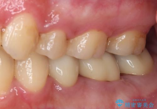
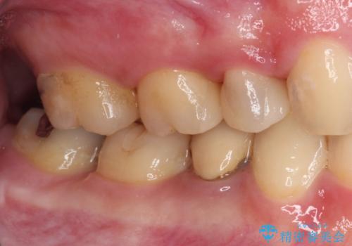
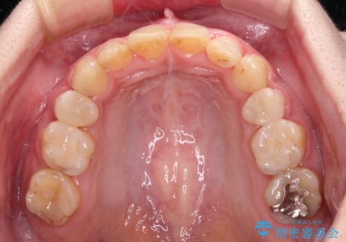
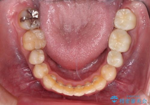
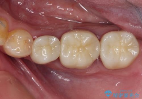
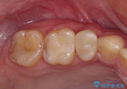
まだ銀歯が残っていますが、大きく目立つ銀歯をセラミックに置き換えることができ、人前で口を開けることを気にしなくなりました。
補綴治療中の後戻り対策をしっかりと行ったことで、歯列全体をきれいに整えることができました。
セラミック治療の注意事項(リスク・副作用など)
- 天然歯を削ります
- 硬い素材は天然歯を傷つけてしまう場合があります
- かみ合わせや歯ぎしりが強すぎる方はセラミックが割れてしまう可能性があります
- 自費診療(保険適用外治療)となります
当サイトの内容、テキスト、画像等の無断転載、複製、複写、盗用を固く禁じます。






















