症例詳細
Case detail
前歯の出っ歯と口の閉じにくさを抜歯矯正で改善 目立たないワイヤー矯正
治療症例の内容
- 診療科目
- 治療カテゴリ
- 担当医
- 藤巻太一朗(ドクタープロフィール)
- 患者様
- 30代女性
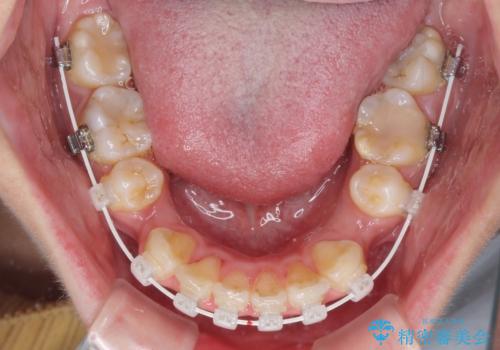
- 矯正装置
- 審美装置
- 治療期間
- 1年10ヶ月
- 治療回数
- 10-30回
- 治療計画
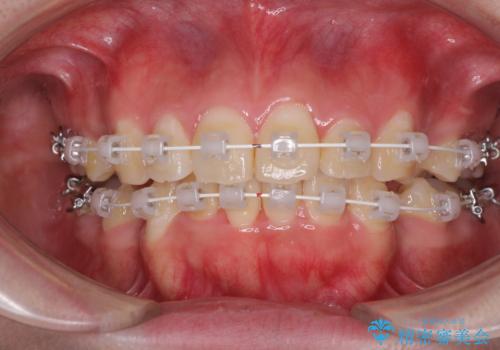
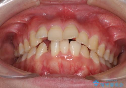
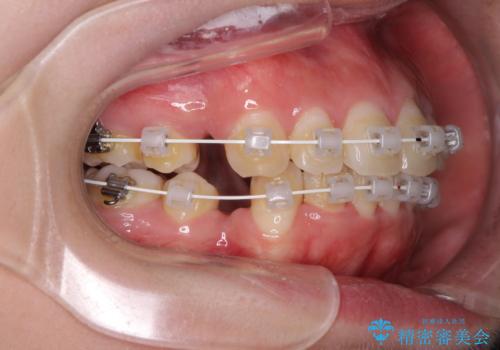
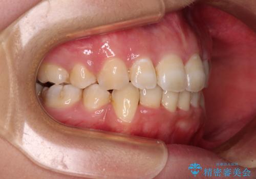
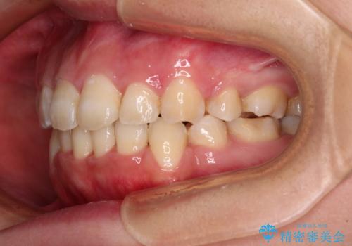
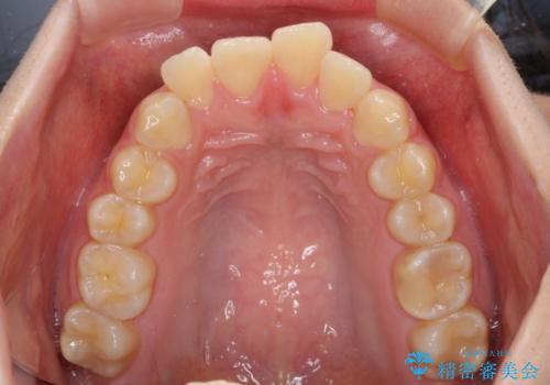
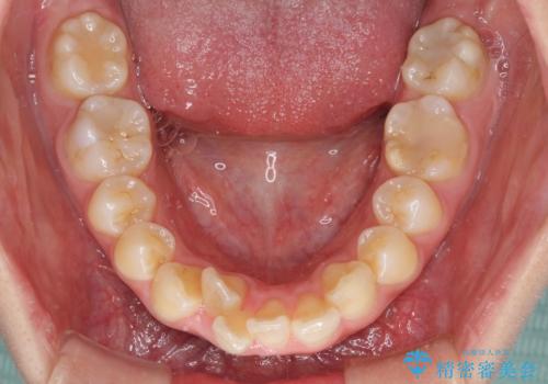
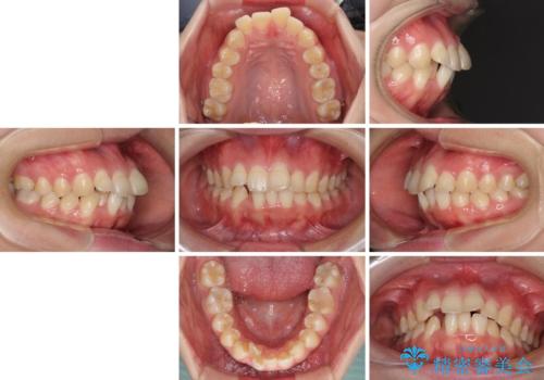
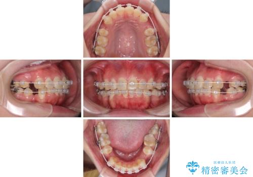
- 上の前歯の出っ歯とでこぼこの歯並びを気にして来院された患者様です。
口元を積極的に引っ込めるために、上下左右の小臼歯4本を抜歯することとしました。
- 費用(概算)
- 治療費の目安: 100万円(税込)費用は治療当時の料金となります
治療について
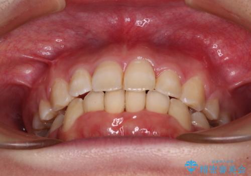
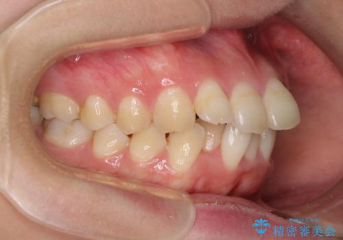
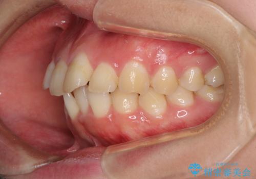
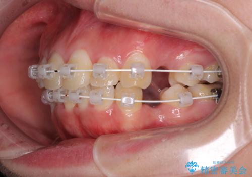
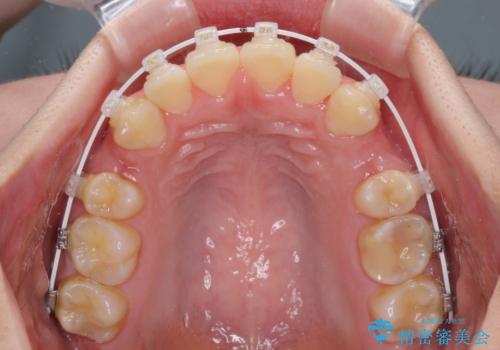
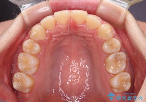
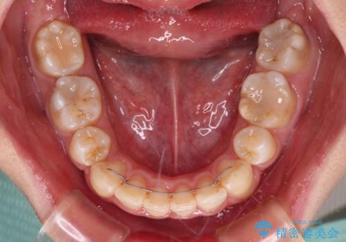
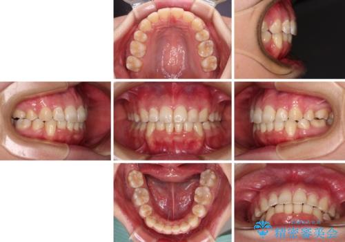
4本の歯を抜歯したことで、飛び出していた口元が引っ込み、横顔が大きく改善されました。
咬み合わせが悪化することのないようにスペースを閉じていくことができ、比較的スムーズに治療を進めることができました。
ワイヤー矯正の注意事項(リスク・副作用など)
- 治療中は違和感や痛みが起こることがあります
- 症状により、抜歯が必要な場合があります
- 治療中は歯磨きがしにくくなるため、虫歯や歯周病になりやすくなります
- 矯正治療後の保定が不十分だと後戻り(元の位置に戻ろうとする動き)をします
- 自費診療(保険適用外)となります
当サイトの内容、テキスト、画像等の無断転載、複製、複写、盗用を固く禁じます。




























