症例詳細
Case detail
奥歯の欠損を放置 大臼歯を抜歯した矯正治療
治療症例の内容
- 診療科目
- 担当医
- 藤巻太一朗(ドクタープロフィール)
- 患者様
- 20代女性
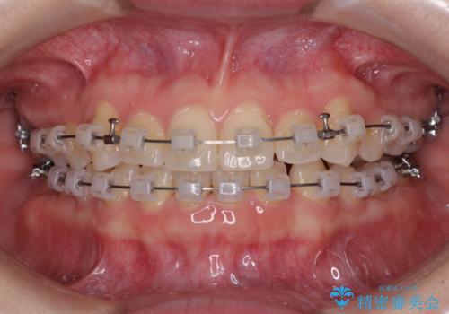
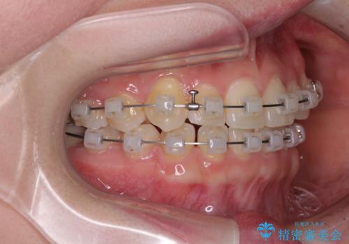
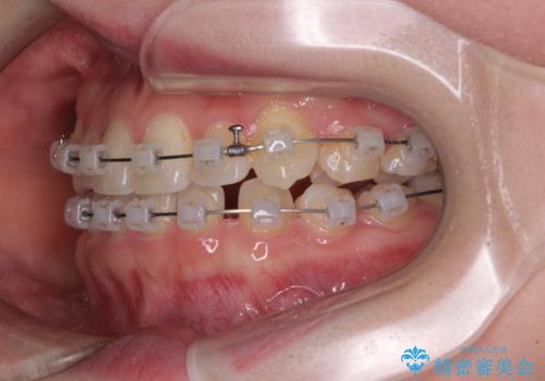
- 矯正装置
- クリアブラケット
- 治療期間
- 1年3ヶ月
- 治療回数
- 10-30回
- 治療計画
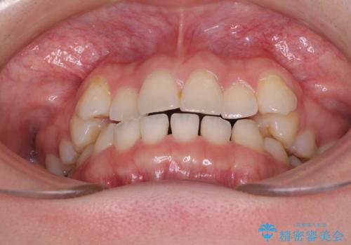
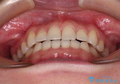
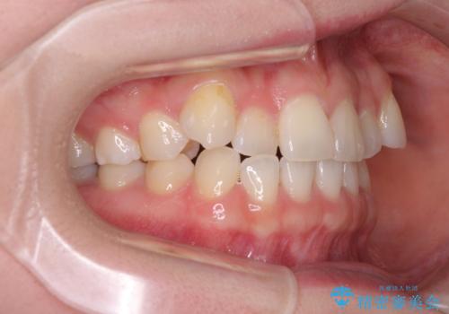
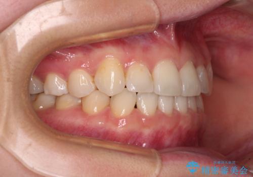
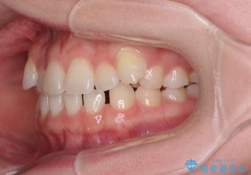
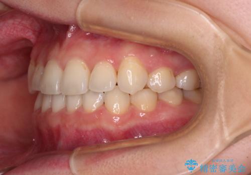
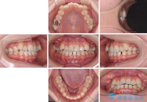
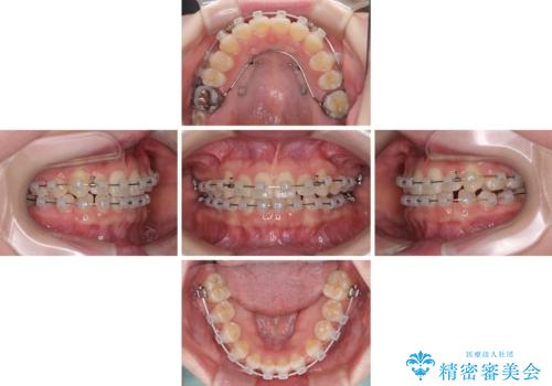
- 八重歯を気にして来院された患者様です。
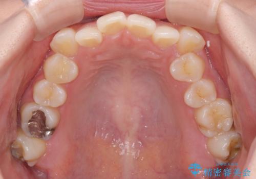
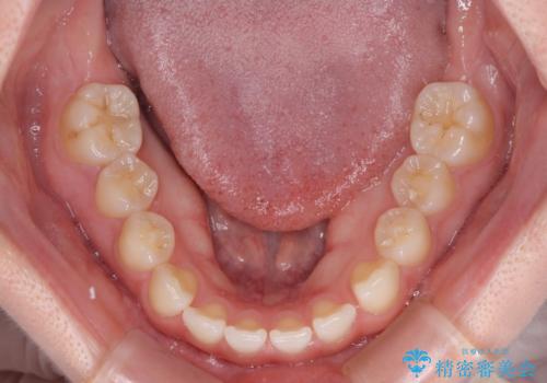
口腔内の状況を確認したところ、左右ともに下顎第二大臼歯が欠損しており、咬み合うべき上顎の第二大臼歯が著しく挺出していました。
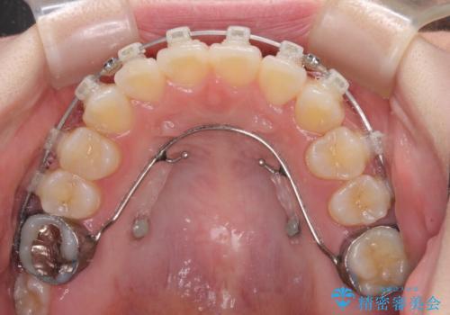
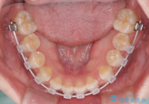
挺出した大臼歯を元の位置に戻すことは現実的に難しいため抜歯することとし、補助装置とワイヤー装置により上顎歯列全体を後方に移動することとしました。
- 費用(概算)
- 治療費の目安: 95万円(税込)費用は治療当時の料金となります
治療について
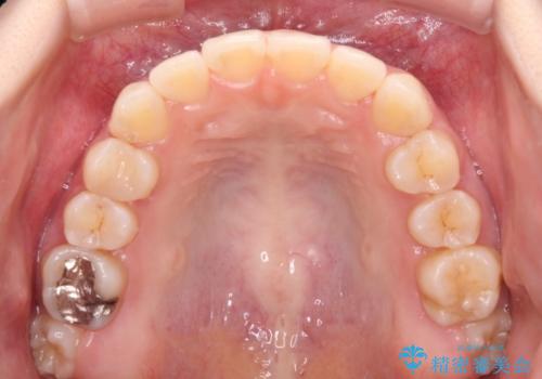
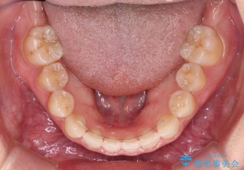
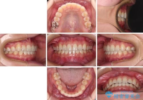
順調に後方移動することができ、わずか1年強で治療を終えることができました。
顎骨が小さいので第二大臼歯が欠損しても負担は少ないと思いますが、奥歯でもっとしっかりと咬みたいということであれば、インプラント補綴治療を4本分行うこととなります。
ワイヤー矯正の注意事項(リスク・副作用など)
- 治療中は違和感や痛みが起こることがあります
- 症状により、抜歯が必要な場合があります
- 治療中は歯磨きがしにくくなるため、虫歯や歯周病になりやすくなります
- 矯正治療後の保定が不十分だと後戻り(元の位置に戻ろうとする動き)をします
- 自費診療(保険適用外)となります
当サイトの内容、テキスト、画像等の無断転載、複製、複写、盗用を固く禁じます。


























