症例詳細
Case detail
内側にある歯が邪魔 重なった前歯の歯列矯正
治療症例の内容
- 診療科目
- 担当医
- 藤巻太一朗(ドクタープロフィール)
- 患者様
- 30代女性
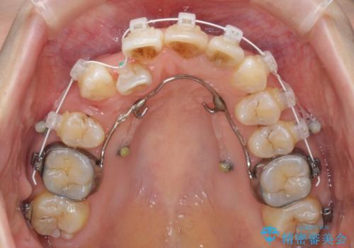
- 矯正装置
- 審美装置
- 治療期間
- 1年7ヶ月
- 治療回数
- 10-30回
- 治療計画
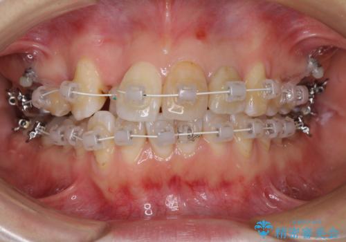
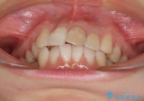
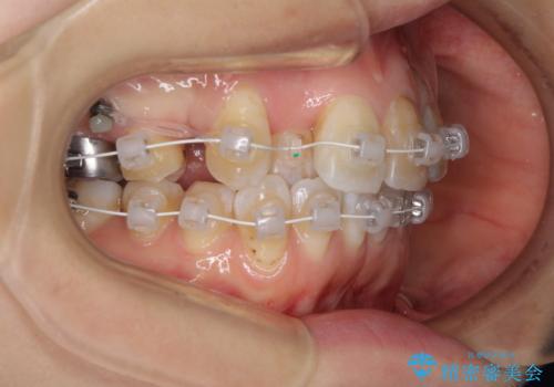
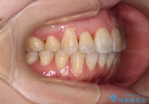
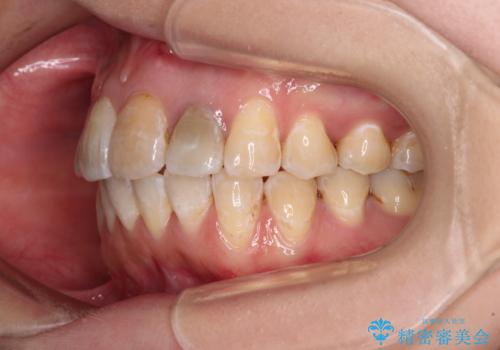
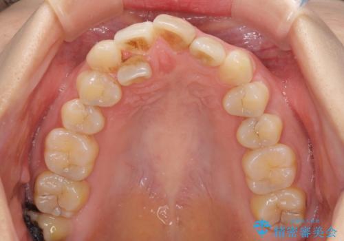
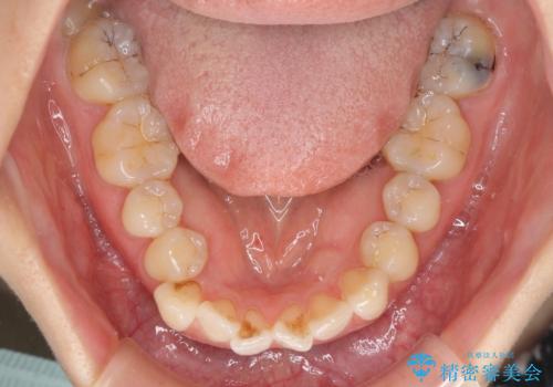
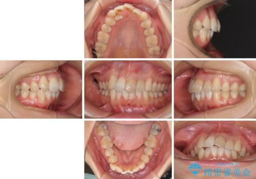
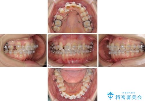
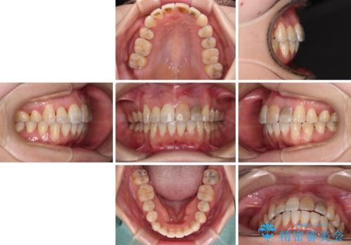
- 重なった前歯を邪魔に感じ、汚れも溜まりやすいことを気にして来院された患者様です。
右上前から2番目の歯が内側に転位しているため、上顎の正中は右にずれていました。
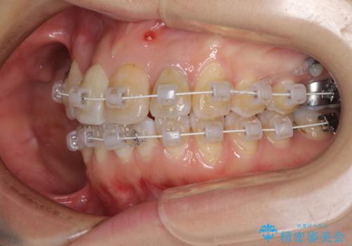
右上4番目の歯を抜歯し、上顎裏側に補助装置を装着して左の歯列全体を後方に移動させながら、正中を合わせるようにして行くこととしました。
- 費用(概算)
- 治療費の目安: 100万円(税込)費用は治療当時の料金となります
治療について
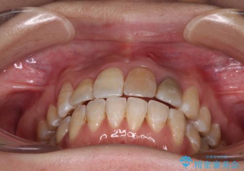
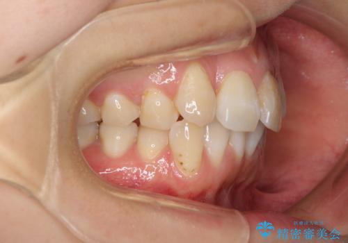
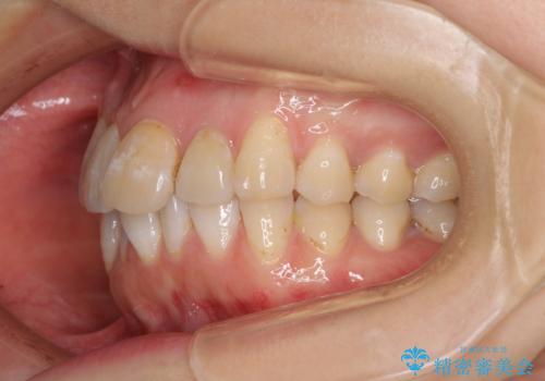
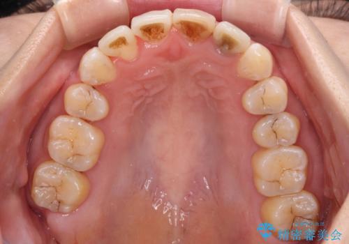
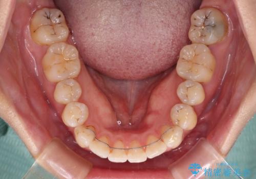
内側に転位していた歯はきれいに歯列に収まり、清掃性が著しく改善しました。
元々神経の失活してしまっている前歯2本は変色が目立つようになってきたため、今後セラミッククラウンによる補綴治療を行う予定です。
ワイヤー矯正の注意事項(リスク・副作用など)
- 治療中は違和感や痛みが起こることがあります
- 症状により、抜歯が必要な場合があります
- 治療中は歯磨きがしにくくなるため、虫歯や歯周病になりやすくなります
- 矯正治療後の保定が不十分だと後戻り(元の位置に戻ろうとする動き)をします
- 自費診療(保険適用外)となります
当サイトの内容、テキスト、画像等の無断転載、複製、複写、盗用を固く禁じます。


























