症例詳細
Case detail
インプラント治療による咬合機能回復
治療症例の内容
- 患者様
- 30代女性
- 治療期間
- 10ヶ月
- 治療回数
- 5-10回
- 治療計画
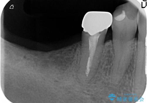
- 失ってしまった奥歯の咬合機能の回復を求めて来院されました。
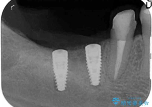
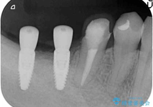
骨の幅が十分にないのでインプラント治療に伴い、人工骨の造成を同時に計画します。
- 費用(概算)
- 88万円費用は治療当時の料金となります
インプラント治療について
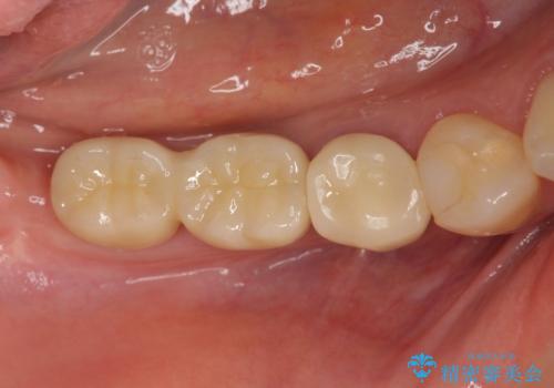
インプラントは高い確率で骨に結合し、しっかりとした咬合力を回復することができます。
長年安心してしっかりと噛んでいただけるよう今回は骨を増成する治療計画としました。
インプラント治療の注意事項(リスク・副作用など)
- 外科手術のため、術後に痛みや腫れ、違和感を伴います
- メンテナンスを怠ったり喫煙により、お口の中に大きな悪影響を及ぼすインプラント周囲炎等にかかる可能性があります
- 糖尿病、肝硬変、心臓病等の場合、インプラント治療ができない可能性があります
- 高血圧、貧血・不整脈等の場合、インプラント治療後に治癒不全を招く可能性があります
- 自費診療(保険適用外治療)となります
セラミック治療の注意事項(リスク・副作用など)
- 天然歯を削ります
- 硬い素材は天然歯を傷つけてしまう場合があります
- かみ合わせや歯ぎしりが強すぎる方はセラミックが割れてしまう可能性があります
- 自費診療(保険適用外治療)となります
当サイトの内容、テキスト、画像等の無断転載、複製、複写、盗用を固く禁じます。





















