症例詳細
Case detail
インビザラインで行うカモフラージュ矯正
治療症例の内容
- 診療科目
- 担当医
- 大元洋佑(ドクタープロフィール)
- 患者様
- 30代男性
- 治療期間
- 1年6ヶ月
- 治療回数
- 10-30回
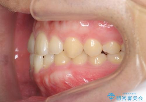
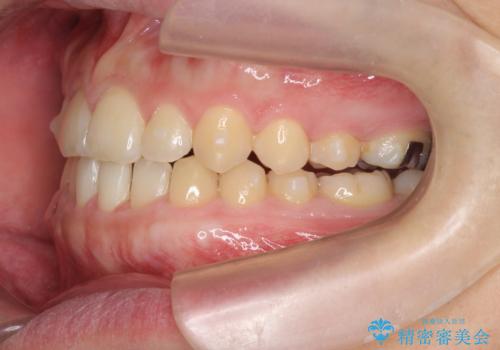
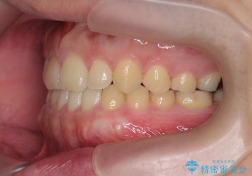
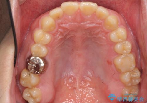
- 治療計画
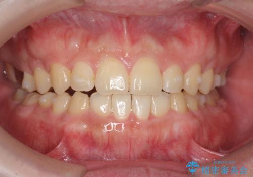
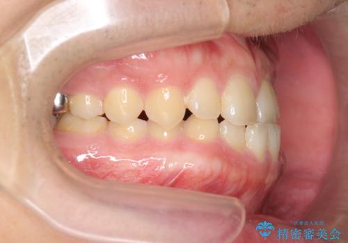
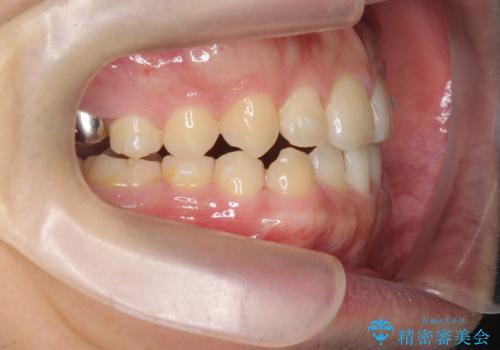
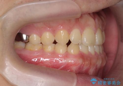
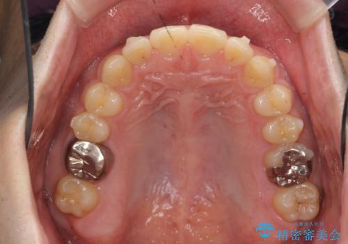
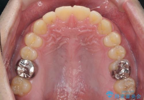
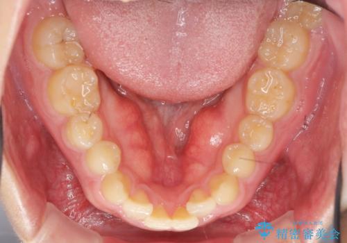
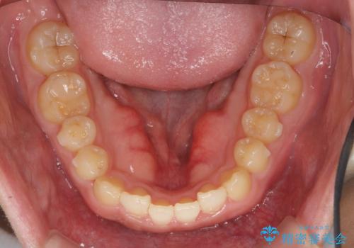
- 前歯の噛み合わせが反対になっていること、前歯の見た目の改善を希望され来院されました。
詳細な矯正検査の結果、顎の歪みが見られたため大きく歯を動かす治療ではなく前歯を主に並べることで前歯の前後関係を改善していきます。
前歯を主に動かす部分矯正であることからマウスピース矯正インビザラインによる治療を計画します。
- 費用(概算)
- 77万円費用は治療当時の料金となります
治療について
マウスピース矯正はオーダーメイドのマウスピースを作成して矯正することができるため、部分的な矯正治療や仕上がりのイメージなどを掴んでいただくことが可能です。
マウスピース矯正の注意事項(リスク・副作用など)
- 口腔内・歯並びの状態によっては対応できない場合があります
- マウスピース型矯正装置の長時間装着(1日20時間以上)が必須です
- 治療計画通りに進めるためには、患者様の意志が重要になります
- 矯正治療後の保定が不十分だと後戻り(元の位置に戻ろうとする動き)をします
- 薬機法対象外の矯正歯科装置のため医薬品副作用被害救済制度の対象外となる場合があります
- 自費診療(保険適用外)となります
当サイトの内容、テキスト、画像等の無断転載、複製、複写、盗用を固く禁じます。















