症例詳細
Case detail
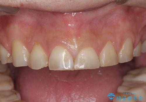
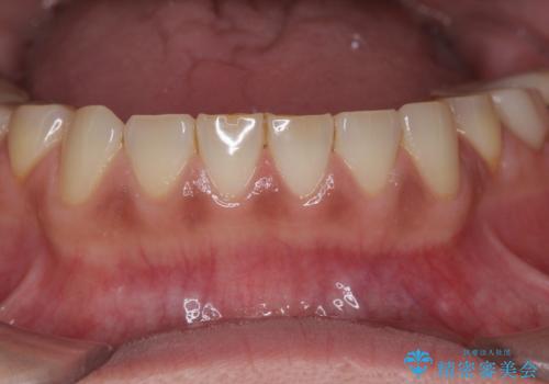
歯ぎしりですり減った 前歯の見た目を回復したい
治療症例の内容
- 診療科目
- 治療カテゴリ
- 担当医
- 大元洋佑(ドクタープロフィール)
- 患者様
- 30代女性
- 治療期間
- 3ヶ月
- 治療回数
- 2-5回
- 治療計画
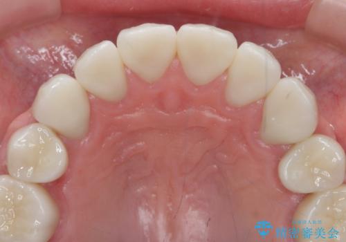
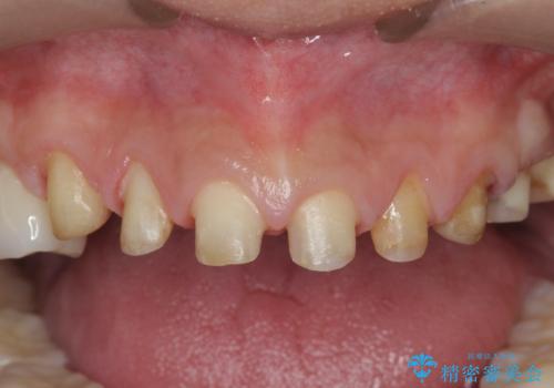
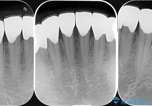
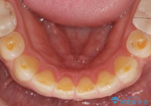
- 歯ぎしり・嘔吐症により歯がすり減ってしまい、色調・見た目を改善したいと来院されました。
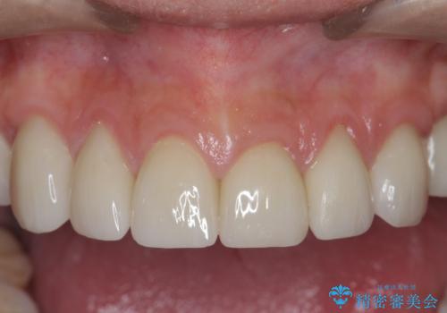
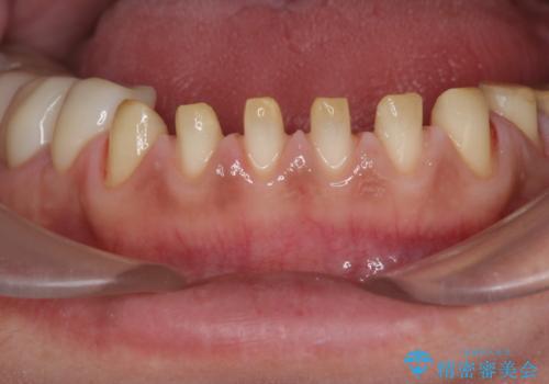
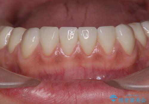
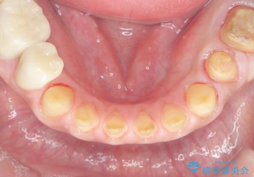
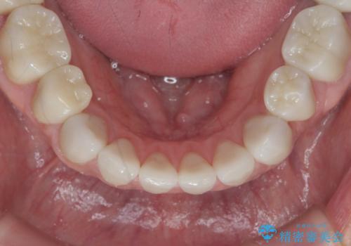
神経を温存したまま仮歯に置き換え、噛み合わせの安定を確認したのちに すり減りに強いジルコニアクラウンで最終的な仕上げを行います。
- 費用(概算)
- 145.2万円(仮歯・ジルコニアクラウン×12歯)費用は治療当時の料金となります
治療について
歯の形態・色調を大きく変更する場合ジルコニアクラウンによる治療が耐摩耗性・審美性の観点から推奨されます。
セラミック治療の注意事項(リスク・副作用など)
- 天然歯を削ります
- 硬い素材は天然歯を傷つけてしまう場合があります
- かみ合わせや歯ぎしりが強すぎる方はセラミックが割れてしまう可能性があります
- 自費診療(保険適用外治療)となります
当サイトの内容、テキスト、画像等の無断転載、複製、複写、盗用を固く禁じます。


















