症例詳細
Case detail
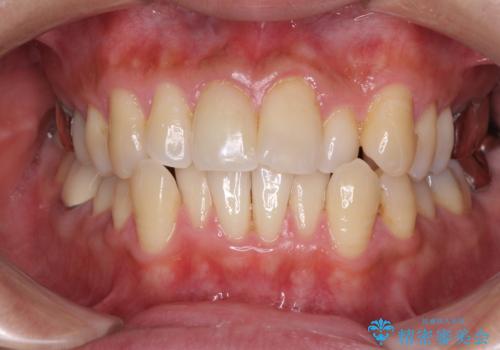
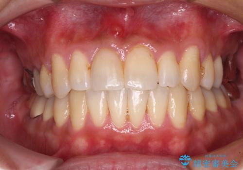
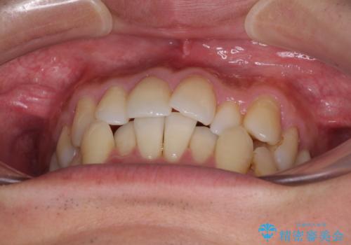
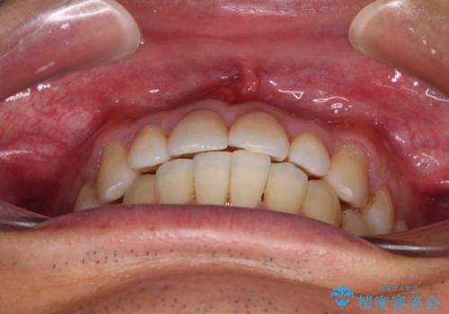
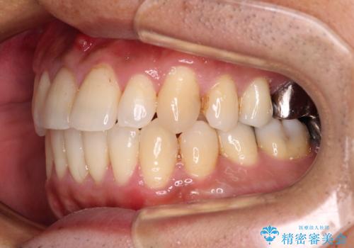
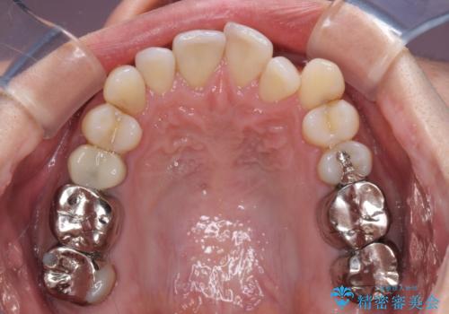
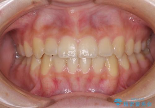
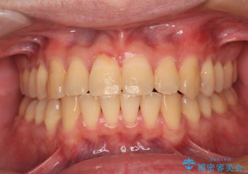
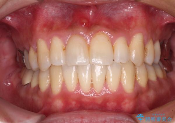
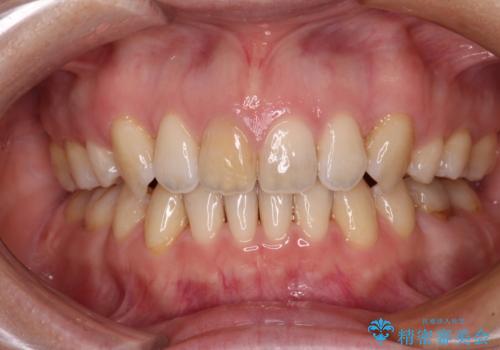
受け口傾向の咬み合わせ 前歯のデコボコをワイヤー矯正で素早く改善
治療症例の内容
- 診療科目
- 担当医
- 藤巻太一朗(ドクタープロフィール)
- 患者様
- 30代男性
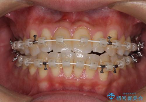
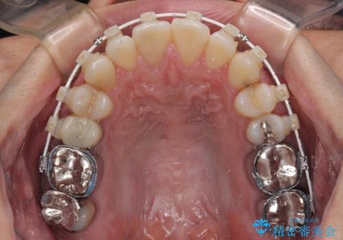
- 矯正装置
- 審美装置
- 治療期間
- 1年2ヶ月
- 治療回数
- 10-30回
- 治療計画
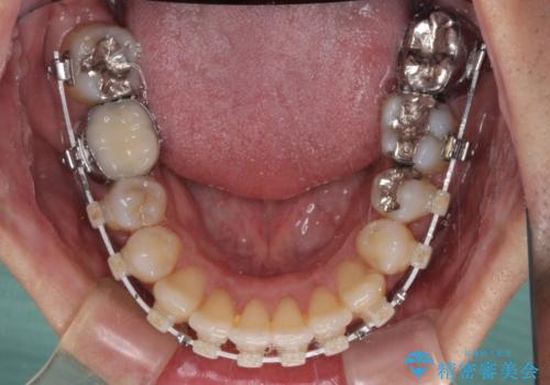
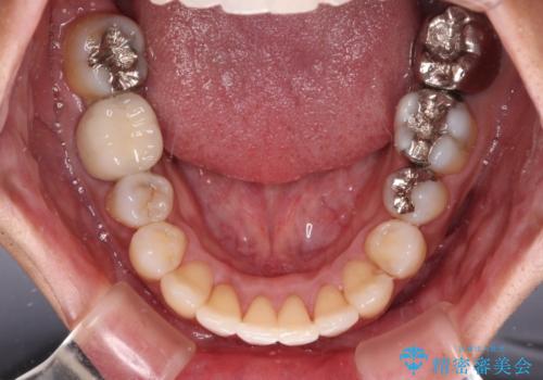
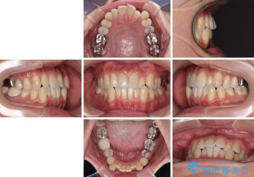
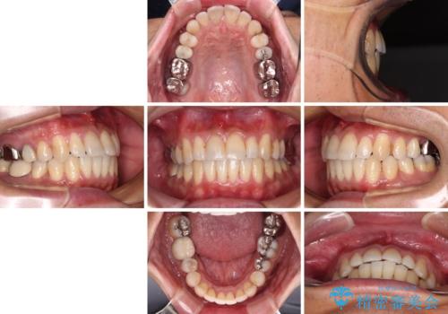
- 前歯の見た目を気にして来院された患者様です。
ワイヤー矯正でもマウスピース矯正でも対応可能とお伝えし、非常に悩まれていましたが、2年後に転勤の可能性が高いとのことで、治療終了までの期間を想定しやすいワイヤー矯正にて治療を行うこととしました。
- 費用(概算)
- 治療費の目安: 95万円(税込)費用は治療当時の料金となります
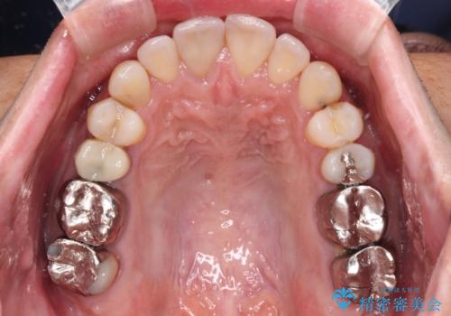
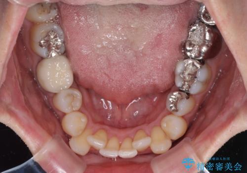
治療について
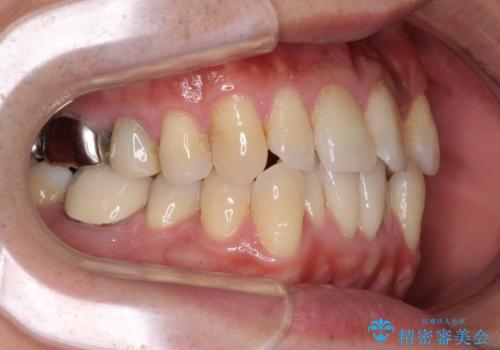
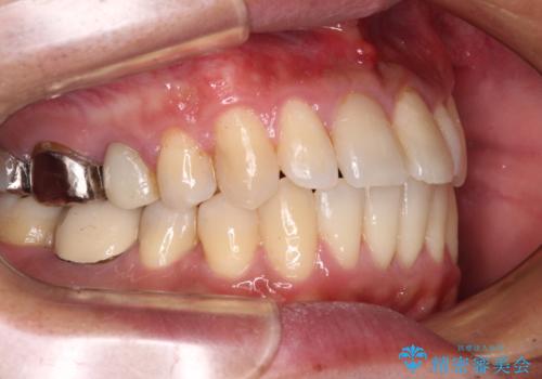
前歯のクロスバイトは、改善の途中で歯髄壊死を起こすリスクが高くなるため、マウスピース矯正よりもワイヤー矯正をお勧めしております。
この患者様もクロスバイトはあっという間に改善され、1年強で速やかに治療を終えることができました。
ワイヤー矯正の注意事項(リスク・副作用など)
- 治療中は違和感や痛みが起こることがあります
- 症状により、抜歯が必要な場合があります
- 治療中は歯磨きがしにくくなるため、虫歯や歯周病になりやすくなります
- 矯正治療後の保定が不十分だと後戻り(元の位置に戻ろうとする動き)をします
- 自費診療(保険適用外)となります
当サイトの内容、テキスト、画像等の無断転載、複製、複写、盗用を固く禁じます。


























