症例詳細
Case detail
歯茎の縁に見える変色を隠したい 前歯のオールセラミッククラウン
治療症例の内容
- 診療科目
- 治療カテゴリ
- 担当医
- 藤巻太一朗(ドクタープロフィール)
- 患者様
- 50代女性
- 治療期間
- 1ヶ月
- 治療回数
- 2-5回
- 治療計画
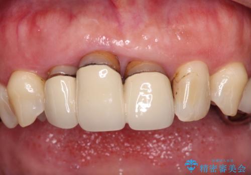
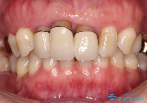
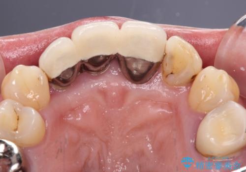
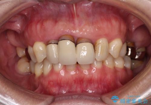
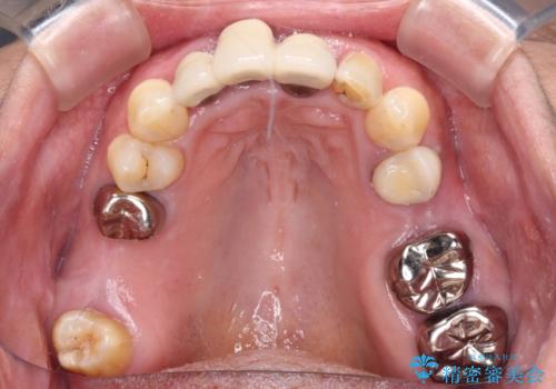
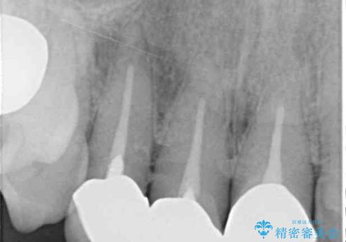
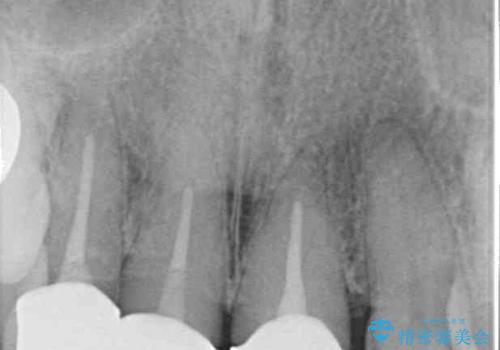
- 20年以上前に装着した前歯のメタルセラミックが不自然であることを気にして来院された患者様です。
歯肉の位置が変わり、変色した歯根が露出しているため、金属の土台をファイバーコアに交換した上で、オールセラミッククラウンにて補綴することとしました。
- 費用(概算)
- 治療費の目安: 45万円(税込)費用は治療当時の料金となります
治療について
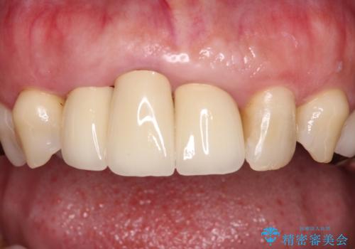
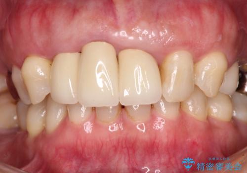
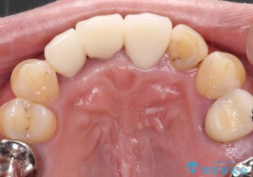
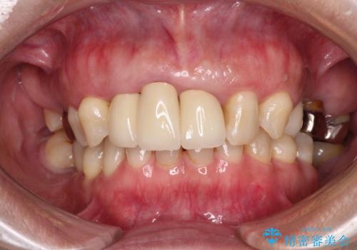
歯肉の位置は変更できないため、露出している歯根をクラウンで覆い隠すと歯が長く見えることを事前にお伝えしておりました。
真ん中2本は治療前よりも短めに仕上げることで、極端に長い印象を避けることができました。
セラミック治療の注意事項(リスク・副作用など)
- 天然歯を削ります
- 硬い素材は天然歯を傷つけてしまう場合があります
- かみ合わせや歯ぎしりが強すぎる方はセラミックが割れてしまう可能性があります
- 自費診療(保険適用外治療)となります
当サイトの内容、テキスト、画像等の無断転載、複製、複写、盗用を固く禁じます。














