症例詳細
Case detail
数ヶ月で、わずかな歯並びの修正に対応するインビザラインライト治療
治療症例の内容
- 担当医
- 大元洋佑(ドクタープロフィール)
- 患者様
- 20代女性
- 矯正装置
- インビザライン
- 治療期間
- 5ヶ月
- 治療回数
- 2-5回
- 治療計画
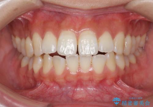
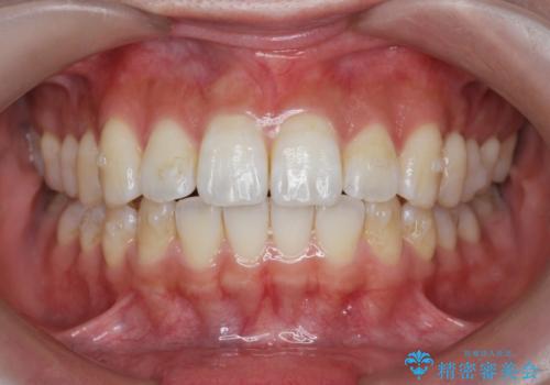
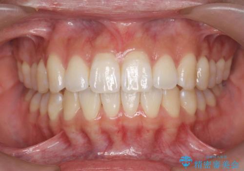
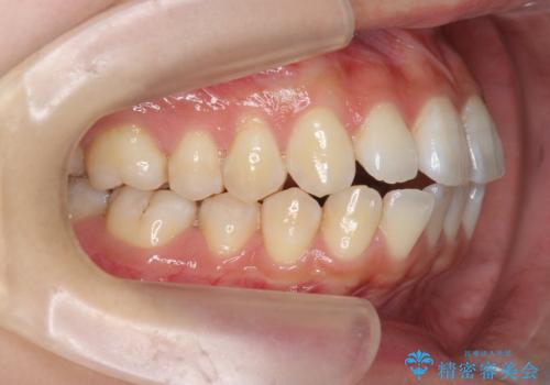
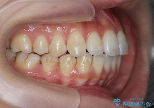
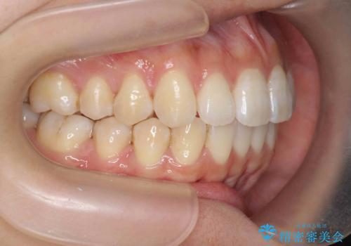
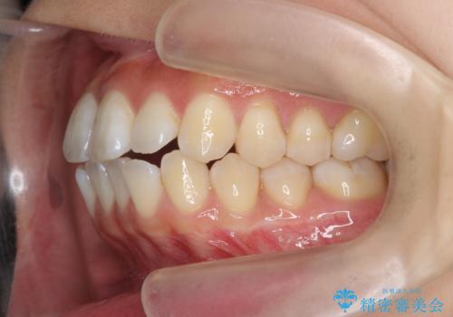
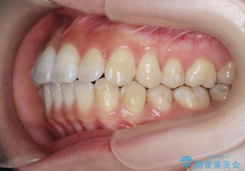
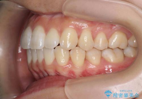
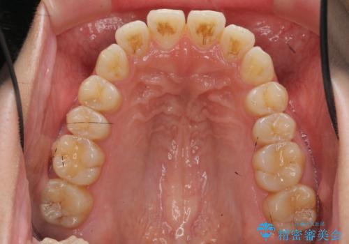
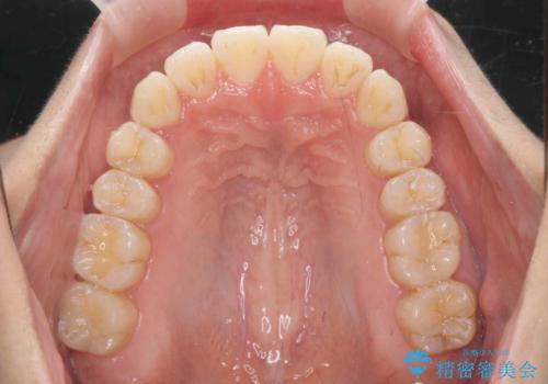
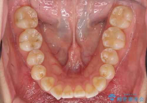
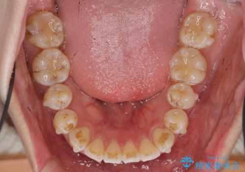
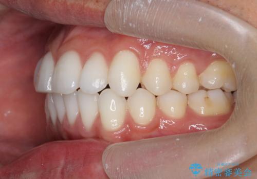
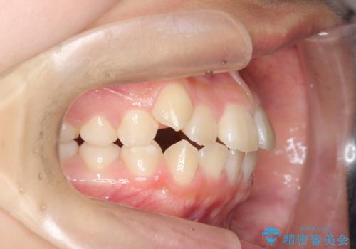
- 前歯の噛み合わせの開きの改善を求めて来院されました。
奥歯はほとんど動かさず(奥歯の噛み合わせはほとんど変えず)前歯のIPR矯正でガタつき前突感(出っ歯感)の改善を計画します。
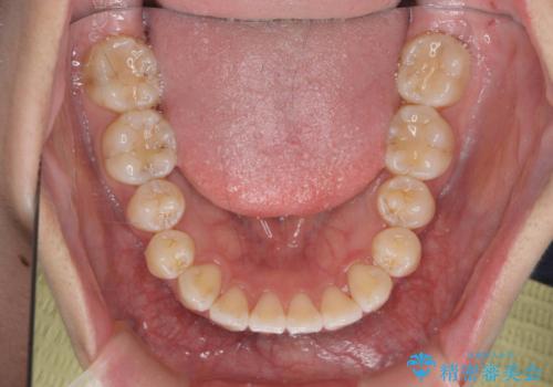
ほとんど前歯のみの矯正治療であることからトータル14枚のマウスピースで並べるインビザラインライトによる治療を行います。
- 費用(概算)
- 49.5万円(インビザラインライト)費用は治療当時の料金となります
インビザラインライトについて
インビザラインライトは全14枚のマウスピースで行う軽度なガタつきなどの改善を目的とする矯正治療です。(約3.5ヶ月)
今回の治療では追加でマウスピース治療を行なったため、半年弱の治療期間となりました。
マウスピース矯正の注意事項(リスク・副作用など)
- 口腔内・歯並びの状態によっては対応できない場合があります
- マウスピース型矯正装置の長時間装着(1日20時間以上)が必須です
- 治療計画通りに進めるためには、患者様の意志が重要になります
- 矯正治療後の保定が不十分だと後戻り(元の位置に戻ろうとする動き)をします
- 薬機法対象外の矯正歯科装置のため医薬品副作用被害救済制度の対象外となる場合があります
- 自費診療(保険適用外)となります
当サイトの内容、テキスト、画像等の無断転載、複製、複写、盗用を固く禁じます。















