症例詳細
Case detail
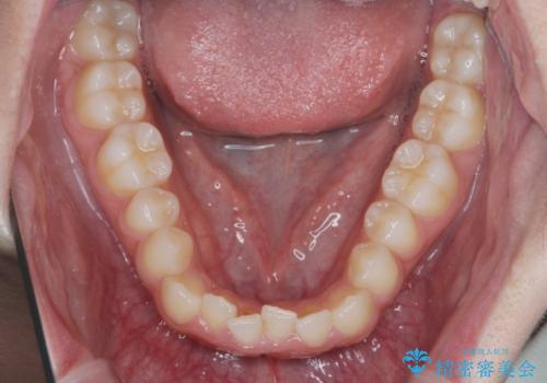
前歯のガタつき・ねじれを治すマウスピース矯正
治療症例の内容
- 担当医
- 大元洋佑(ドクタープロフィール)
- 患者様
- 20代女性
- 矯正装置
- インビザライン
- 治療期間
- 1年
- 治療回数
- 10-30回
- 治療計画
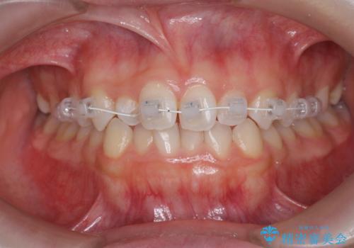
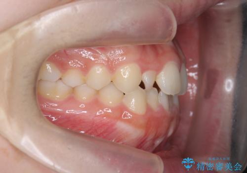
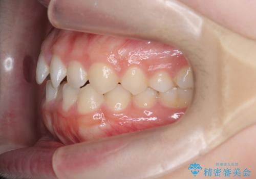
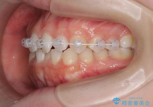
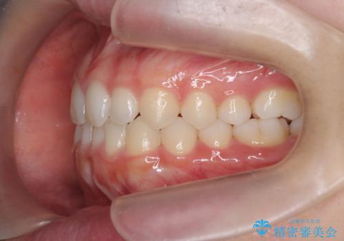
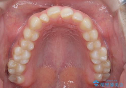
- 前歯のねじれ、ガタつきを改善し綺麗な歯並びにしたいと希望され来院されました。
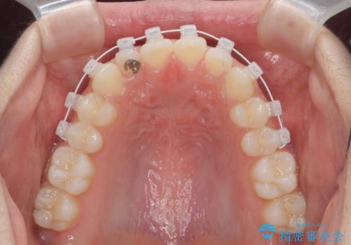
マウスピース矯正インビザラインによる矯正治療を計画しますが、マウスピース矯正で治りにくい歯のねじれを事前にワイヤー矯正でしっかりとなおしておくことで矯正治療期間の短縮できるような治療計画を立てます。
- 費用(概算)
- 82.5万円(マウスピース矯正治療代として)費用は治療当時の料金となります
治療について
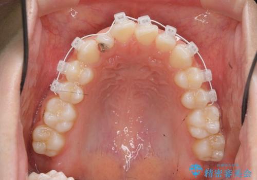
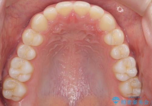
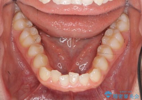
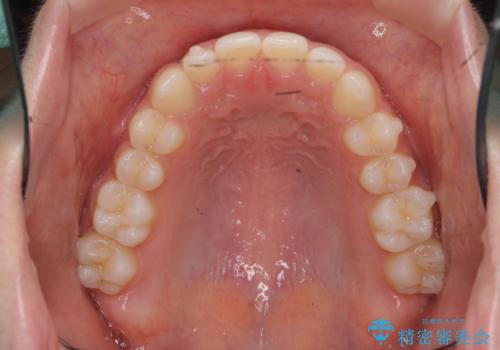
マウスピース矯正を始める前にワイヤー部分矯正を行ったことで改善のしにくい歯のねじれをしっかりと治すことができました。
マウスピース矯正の注意事項(リスク・副作用など)
- 口腔内・歯並びの状態によっては対応できない場合があります
- マウスピース型矯正装置の長時間装着(1日20時間以上)が必須です
- 治療計画通りに進めるためには、患者様の意志が重要になります
- 矯正治療後の保定が不十分だと後戻り(元の位置に戻ろうとする動き)をします
- 薬機法対象外の矯正歯科装置のため医薬品副作用被害救済制度の対象外となる場合があります
- 自費診療(保険適用外)となります
当サイトの内容、テキスト、画像等の無断転載、複製、複写、盗用を固く禁じます。

















