症例詳細
Case detail
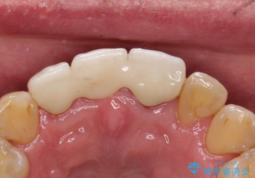
【オールセラミックスタンダード】前歯のブリッジ
治療症例の内容
- 診療科目
- 治療カテゴリ
- 担当医
- 河口智英(ドクタープロフィール)
- 患者様
- 40代男性
- 治療期間
- 2ヶ月
- 治療回数
- 2-5回
- 治療計画
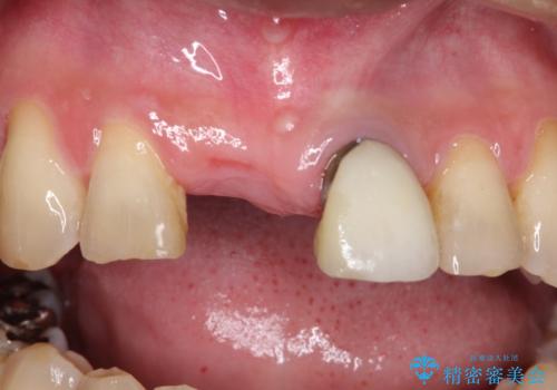
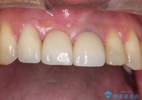
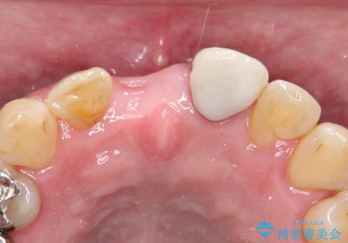
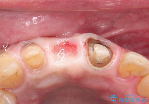
- 矯正治療終了後の患者様です。
前歯が欠損しており、ブリッジでの修復を希望されましたので、オールセラミッククラウン(スタンダード)で治療を行いました。
- 費用(概算)
- 33万円費用は治療当時の料金となります
治療について
より審美的に色調や形態をこだわりたい場合はオールセラミッククラウンのスペシャルやエクセレントにグレードを上げていただくことで可能です。
セラミック治療の注意事項(リスク・副作用など)
- 天然歯を削ります
- 硬い素材は天然歯を傷つけてしまう場合があります
- かみ合わせや歯ぎしりが強すぎる方はセラミックが割れてしまう可能性があります
- 自費診療(保険適用外治療)となります
当サイトの内容、テキスト、画像等の無断転載、複製、複写、盗用を固く禁じます。









