症例詳細
Case detail
段差の気になる銀歯を改善したい
治療症例の内容
- 診療科目
- 治療カテゴリ
- 担当医
- 大元洋佑(ドクタープロフィール)
- 患者様
- 30代女性
- 治療期間
- 1ヶ月
- 治療回数
- 2-5回
- 治療計画
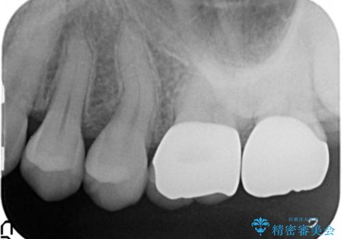
- 舌で触ると段差が大きく気になる銀歯の改善を求めて来院されました。
複雑な形態の銀歯の下には虫歯が再発しており、虫歯を丁寧に除去したのちジルコニアクラウンによる機能回復を行います。
- 費用(概算)
- 22万円(仮歯・ジルコニアクラウン×2)費用は治療当時の料金となります
ジルコニアクラウンについて
ジルコニアクラウンは金属を用いない審美的にも強度的にも優れたクラウンです。
セラミック治療の注意事項(リスク・副作用など)
- 天然歯を削ります
- 硬い素材は天然歯を傷つけてしまう場合があります
- かみ合わせや歯ぎしりが強すぎる方はセラミックが割れてしまう可能性があります
- 自費診療(保険適用外治療)となります
当サイトの内容、テキスト、画像等の無断転載、複製、複写、盗用を固く禁じます。




