症例詳細
Case detail
長いブリッジをインプラント補綴への変更
治療症例の内容
- 担当医
- 大元洋佑(ドクタープロフィール)
- 患者様
- 50代男性
- 治療期間
- 8ヶ月
- 治療回数
- 5-10回
- 治療計画
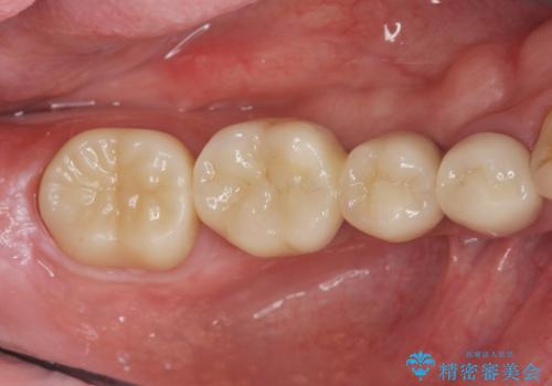
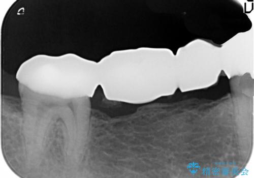
- 右下に入れた長いブリッジが噛むといたみ、改善を希望され来院されました。
長いブリッジは支台となる歯の過大な負担となることが多く、歯の破折や揺れ・痛みの原因となり得ます。
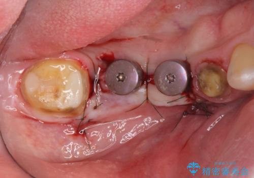
支台を増やし、残った歯の負担を減らし守るために欠損部位にインプラントを埋入し咬合力の負担に対応できる環境を整えます。
- 費用(概算)
- 105.4万円(仮歯×4・ストローマンインプラント×2・チタンカスタムアバットメント×2・ジルコニアクラウン×4)費用は治療当時の料金となります
インプラント治療について
インプラント治療は、ブリッジや入れ歯と異なり人口の歯根となるインプラントを顎骨内に埋入することで咬合力に耐える支台を増やせるというメリットがあります。
残った歯の負担を減らすことでより長期的な予後を期待することができます。
インプラント治療の注意事項(リスク・副作用など)
- 外科手術のため、術後に痛みや腫れ、違和感を伴います
- メンテナンスを怠ったり喫煙により、お口の中に大きな悪影響を及ぼすインプラント周囲炎等にかかる可能性があります
- 糖尿病、肝硬変、心臓病等の場合、インプラント治療ができない可能性があります
- 高血圧、貧血・不整脈等の場合、インプラント治療後に治癒不全を招く可能性があります
- 自費診療(保険適用外治療)となります
当サイトの内容、テキスト、画像等の無断転載、複製、複写、盗用を固く禁じます。















