症例詳細
Case detail
変色した保険クラウンをきれいに オールセラミッククラウンによる補綴治療
治療症例の内容
- 診療科目
- 治療カテゴリ
- 担当医
- 藤巻太一朗(ドクタープロフィール)
- 患者様
- 40代女性
- 治療期間
- 2ヶ月
- 治療回数
- 2-5回
- 治療計画
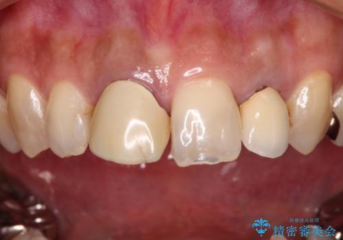
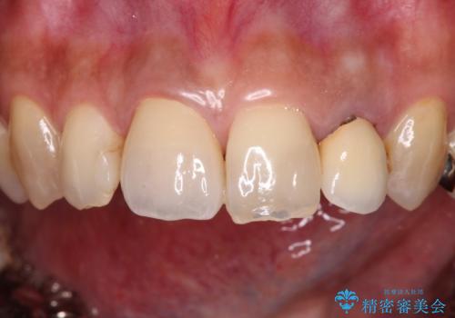
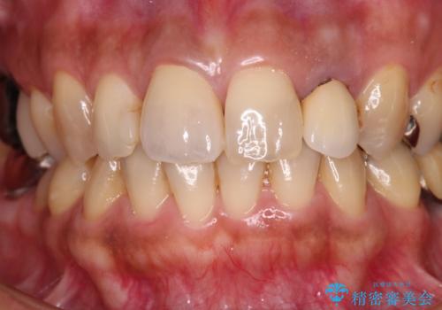
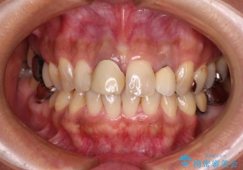
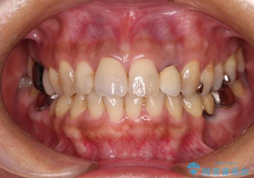
- 保険診療でのクラウンが変色してしまったとのことで来院された患者様です。
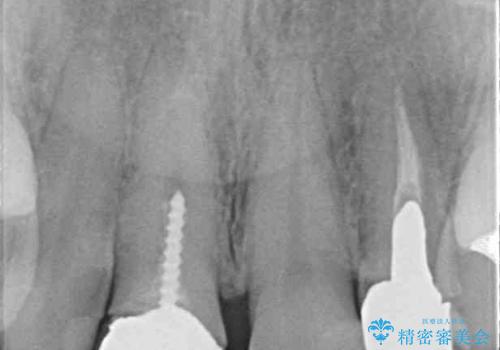
根管治療がされていなかったため、まずは根管治療を行い、その後オールセラミッククラウンにて補綴することとしました。
- 費用(概算)
- 治療費の目安: 26万円(税込)費用は治療当時の料金となります
治療について
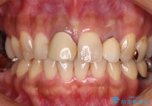
左上の歯も歯肉縁部分にメタルの色が見えており、合わせて治療することをお勧めしましたが、今回は1歯のみを治療することとしました。
セラミック治療の注意事項(リスク・副作用など)
- 天然歯を削ります
- 硬い素材は天然歯を傷つけてしまう場合があります
- かみ合わせや歯ぎしりが強すぎる方はセラミックが割れてしまう可能性があります
- 自費診療(保険適用外治療)となります
当サイトの内容、テキスト、画像等の無断転載、複製、複写、盗用を固く禁じます。














