症例詳細
Case detail
インビザラインを断念 ワイヤー装置で楽々と矯正治療
治療症例の内容
- 担当医
- 藤巻太一朗(ドクタープロフィール)
- 患者様
- 30代女性
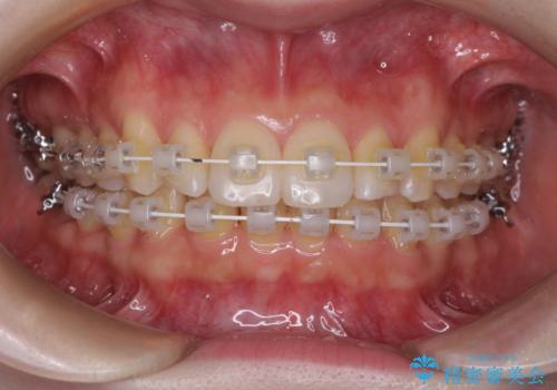
- 矯正装置
- 審美装置
- 治療期間
- 2年2ヶ月
- 治療回数
- 10-30回
- 治療計画
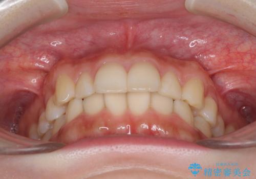
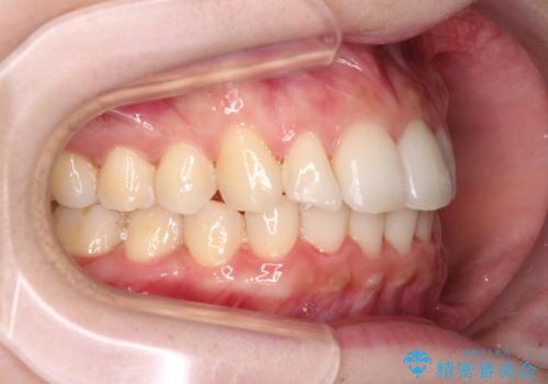
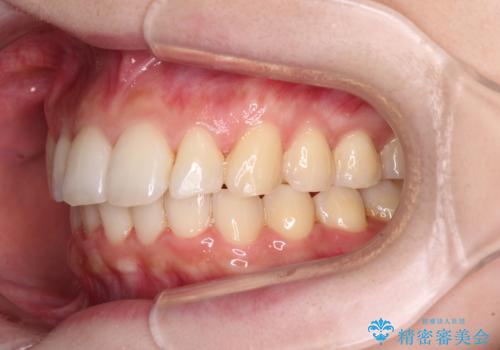
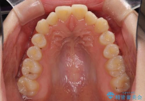
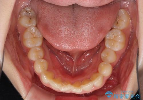
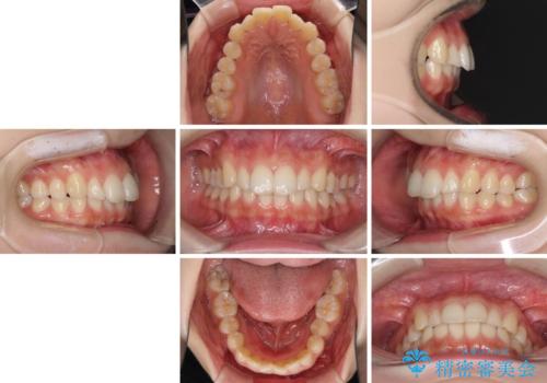
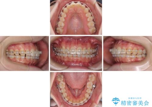
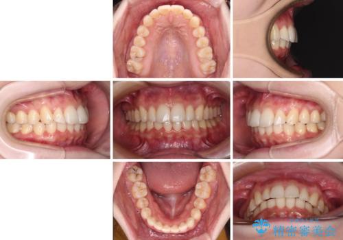
- 上の前歯が出っ張っている気がするとのことで来院された患者様です。
急いで治す必要性がないとのことで、自分のペースでのんびりと治療を行えるインビザラインにて矯正治療を行うこととしました。
- 費用(概算)
- 治療費の目安: 120万円(税込)費用は治療当時の料金となります
治療について
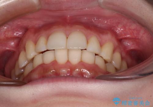
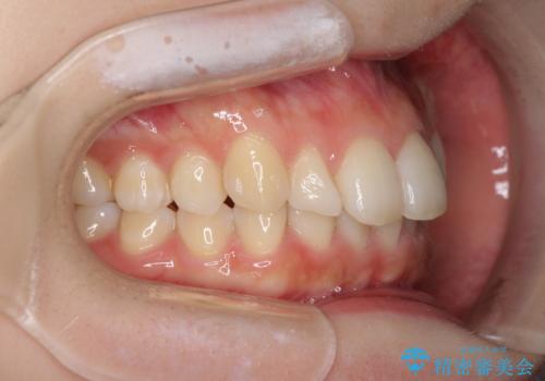
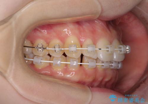
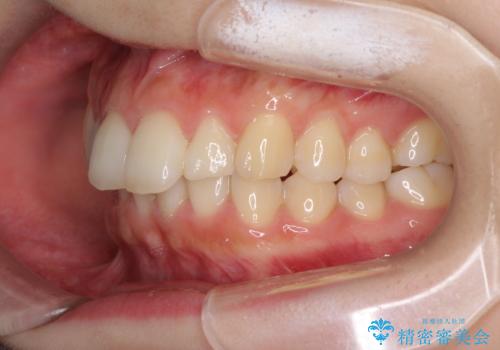
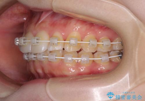
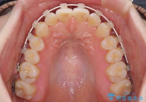
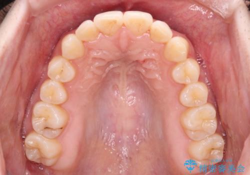
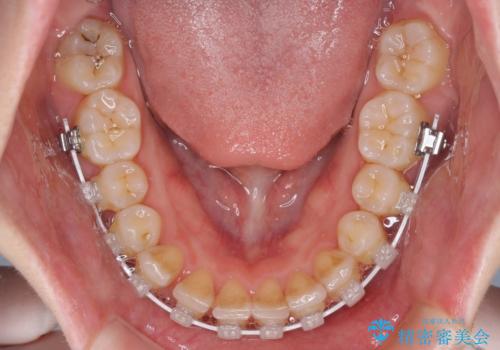
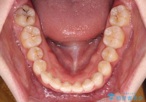
半年もせずにインビザラインを全く使用することができなくなってしまったので、治療開始から1年ほどでワイヤー矯正へ変更することとなりました。
ワイヤー矯正へ変更してからはあっという間に治療が進み、1年弱で終えることができました。
ワイヤー矯正の注意事項(リスク・副作用など)
- 治療中は違和感や痛みが起こることがあります
- 症状により、抜歯が必要な場合があります
- 治療中は歯磨きがしにくくなるため、虫歯や歯周病になりやすくなります
- 矯正治療後の保定が不十分だと後戻り(元の位置に戻ろうとする動き)をします
- 自費診療(保険適用外)となります
当サイトの内容、テキスト、画像等の無断転載、複製、複写、盗用を固く禁じます。


























