症例詳細
Case detail
出っ歯を治したい ワイヤー装置による抜歯矯正
治療症例の内容
- 診療科目
- 担当医
- 藤巻太一朗(ドクタープロフィール)
- 患者様
- 20代女性
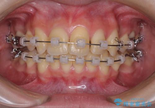
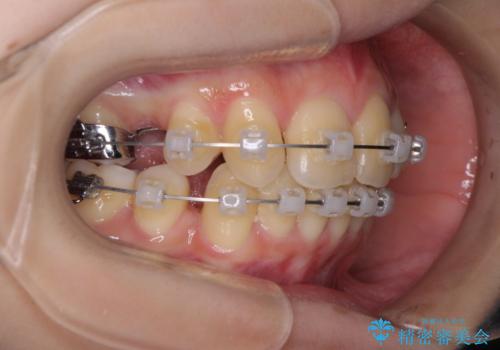
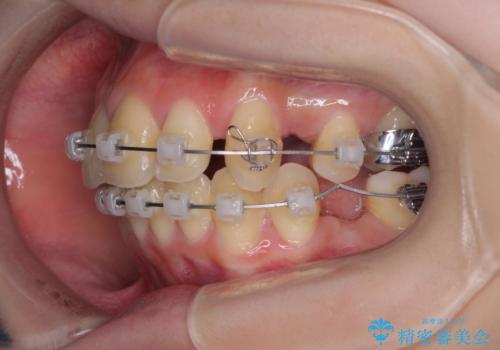
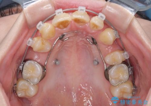
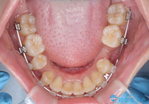
- 矯正装置
- クリアブラケット
- 治療期間
- 1年10ヶ月
- 治療回数
- 10-30回
- 治療計画
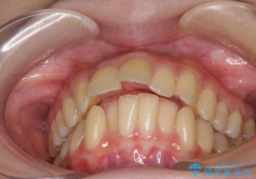
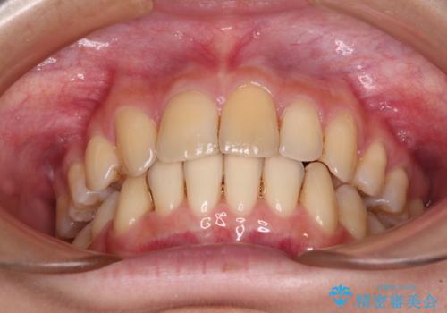
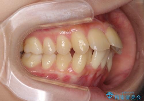
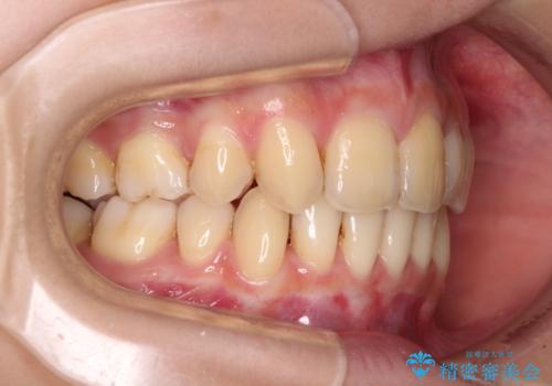
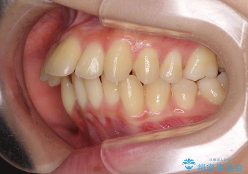
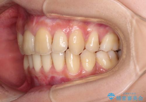
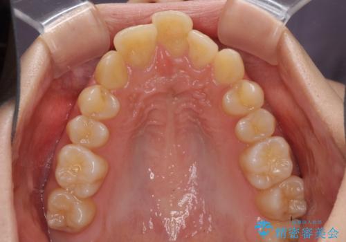
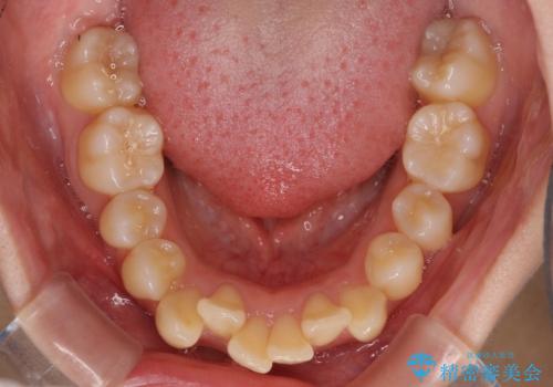
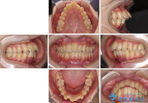
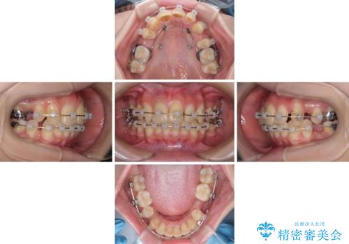
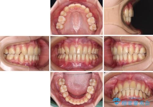
- 上下の出っ歯を気にして来院された患者様です。
口元を積極的に引っ込めるために、上下左右の小臼歯を4本抜歯することとしました。
右上前から2番目の歯が欠損しているため、①矯正治療により欠損部にスペースを作りインプラント補綴を行って前歯を左右対称に揃える、②左右非対称となるが、欠損補綴を行わずに排列する、のいずれかとなりますが、患者様と相談の上②にて矯正治療を行うこととしました。
- 費用(概算)
- 治療費の目安: 100万円(税込)費用は治療当時の料金となります
治療について
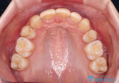
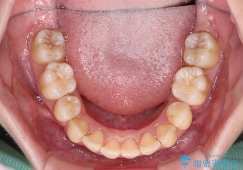
変則的な歯列であったため、奥歯がしっかりと咬み合うのか、前歯はしっかりと排列できるのかと不安ではありましたが、結果としてはきれいに整った歯列にて終了することができました。
ワイヤー矯正の注意事項(リスク・副作用など)
- 治療中は違和感や痛みが起こることがあります
- 症状により、抜歯が必要な場合があります
- 治療中は歯磨きがしにくくなるため、虫歯や歯周病になりやすくなります
- 矯正治療後の保定が不十分だと後戻り(元の位置に戻ろうとする動き)をします
- 自費診療(保険適用外)となります
当サイトの内容、テキスト、画像等の無断転載、複製、複写、盗用を固く禁じます。




























