症例詳細
Case detail
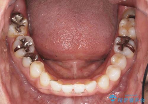
銀歯だらけの口の中を改善したい
治療症例の内容
- 診療科目
- 担当医
- 大元洋佑(ドクタープロフィール)
- 患者様
- 40代男性
- 治療期間
- 2ヶ月
- 治療回数
- 2-5回
- 治療計画
- 口をあけた時に目立つ銀歯を白くしたい、と来院されました。
治療する部位や銀歯の下に虫歯が再発していたかどうか、神経処置の有無等の条件によりセラミックインレー・クラウンにするかを判断し長期的に虫歯が再発しにくいような口腔内環境を目指します。
- 費用(概算)
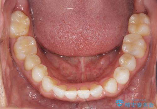
- 83.6万円(仮歯・emaxインレー×8・ジルコニアクラウン×2)費用は治療当時の料金となります
銀歯を外す治療について
見た目の改善だけではなく、長期的に虫歯の再発を防ぎ自分の歯を守るために銀歯をはずし、セラミック修復物・補綴物による機能回復を行いました。
セラミック治療の注意事項(リスク・副作用など)
- 天然歯を削ります
- 硬い素材は天然歯を傷つけてしまう場合があります
- かみ合わせや歯ぎしりが強すぎる方はセラミックが割れてしまう可能性があります
- 自費診療(保険適用外治療)となります
当サイトの内容、テキスト、画像等の無断転載、複製、複写、盗用を固く禁じます。






