症例詳細
Case detail
[ 歯ぐきを押すと痛む ] 根管治療の必要な前歯治療
治療症例の内容
- 担当医
- 大元洋佑(ドクタープロフィール)
- 患者様
- 30代男性
- 治療期間
- 2ヶ月
- 治療回数
- 2-5回
- 治療計画
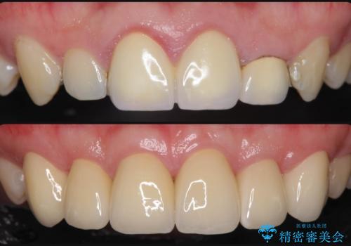
- 歯ぐきを押すと痛む、痛みが強くなってきた。と治療を希望され来院されました。
X線写真検査より根尖性歯周炎が認められたため、根管再治療を行いemaxクラウンを装着する治療計画を立てます。
- 費用(概算)
- 22万円(仮歯×2・ファイバーコア×2・emaxエコノミークラウン×2)費用は治療当時の料金となります
治療について
再根管治療を行ったことで、感染が除去され根尖の病変が小さくなってきていることがX線写真検査よりわかります。
また症状もなくなったと満足いただくことができました。
根管治療の注意事項(リスク・副作用など)
- 根管治療により類似の全ての症例の問題が解決するわけではなく、症例はあくまでも一例です
- 根管治療により痛みや腫れがひかない事や、術後に痛みや腫れが生じる事、治療によるファイル破折やパーフォレーションなどの偶発症、術後の歯根破折を生じる可能性もあります
- 自費診療(保険適用外)となります
セラミック治療の注意事項(リスク・副作用など)
- 天然歯を削ります
- 硬い素材は天然歯を傷つけてしまう場合があります
- かみ合わせや歯ぎしりが強すぎる方はセラミックが割れてしまう可能性があります
- 自費診療(保険適用外治療)となります
当サイトの内容、テキスト、画像等の無断転載、複製、複写、盗用を固く禁じます。

![[ 歯ぐきを押すと痛む ] 根管治療の必要な前歯治療の治療前](https://seimitsushinbi.jp/wp/wp-content/uploads/2021/10/c82595c07b1034d506ee9a41b2f43a37-500x350.jpg?v=1634264510)
![[ 歯ぐきを押すと痛む ] 根管治療の必要な前歯治療の治療中](https://seimitsushinbi.jp/wp/wp-content/uploads/2021/10/CI1-500x350.jpg?v=1634264521)
![[ 歯ぐきを押すと痛む ] 根管治療の必要な前歯治療の治療後](https://seimitsushinbi.jp/wp/wp-content/uploads/2021/10/5f5858ad0a0979b6f98bd8be1e57a5d6-500x350.jpg?v=1634264519)
![[ 歯ぐきを押すと痛む ] 根管治療の必要な前歯治療の治療前](https://seimitsushinbi.jp/wp/wp-content/uploads/2021/10/94456b364e669b8688eba4587eebf633-500x350.jpg?v=1634264506)
![[ 歯ぐきを押すと痛む ] 根管治療の必要な前歯治療の治療中](https://seimitsushinbi.jp/wp/wp-content/uploads/2021/10/CI10-1-500x350.jpg?v=1634264526)
![[ 歯ぐきを押すと痛む ] 根管治療の必要な前歯治療の治療後](https://seimitsushinbi.jp/wp/wp-content/uploads/2021/10/148fac8d2107fefc740efe72c1b00488-500x350.jpg?v=1634264514)
![[ 歯ぐきを押すと痛む ] 根管治療の必要な前歯治療の治療中](https://seimitsushinbi.jp/wp/wp-content/uploads/2021/10/CI11-500x350.jpg?v=1634264526)
![[ 歯ぐきを押すと痛む ] 根管治療の必要な前歯治療の治療後](https://seimitsushinbi.jp/wp/wp-content/uploads/2021/10/CI12-2-500x350.jpg?v=1634265582)
![[ 歯ぐきを押すと痛む ] 根管治療の必要な前歯治療の治療中](https://seimitsushinbi.jp/wp/wp-content/uploads/2021/10/CI12-1-500x350.jpg?v=1634264527)