症例詳細
Case detail
[根管治療・セラミッククラウン] 前歯の痛み・見た目を改善したい
治療症例の内容
- 担当医
- 大元洋佑(ドクタープロフィール)
- 患者様
- 30代女性
- 治療期間
- 3ヶ月
- 治療回数
- 2-5回
- 治療計画
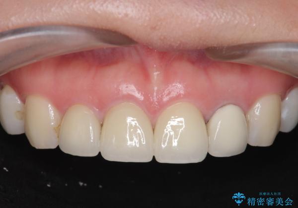
- 前歯の痛み、不自然さを解消したいと来院されました。
X線写真検査より感染根管による根尖性歯周炎、レジン前装冠の欠け、コンポジットレジン充填によるツギハギになってしまった歯が認められました。
それぞれの問題点に対し、感染根管治療・ジルコニアクラウンの製作を行い感染の除去・審美性の回復を計画します。
- 費用(概算)
- 40.7万円( 仮歯×3・ファイバーコア×2・ジルコニアクラウン×3 )費用は治療当時の料金となります
治療について
感染根管治療を行ったことで痛みはなくなり、ジルコニアクラウンによる再補綴を行ったことで自然な透明感を再現した歯になり審美性を回復することができました。
セラミック治療の注意事項(リスク・副作用など)
- 天然歯を削ります
- 硬い素材は天然歯を傷つけてしまう場合があります
- かみ合わせや歯ぎしりが強すぎる方はセラミックが割れてしまう可能性があります
- 自費診療(保険適用外治療)となります
当サイトの内容、テキスト、画像等の無断転載、複製、複写、盗用を固く禁じます。

![[根管治療・セラミッククラウン] 前歯の痛み・見た目を改善したいの治療前](https://seimitsushinbi.jp/wp/wp-content/uploads/2021/10/27aece2ee2a0fb95849ae035eabf5926-500x350.jpg?v=1633830098)
![[根管治療・セラミッククラウン] 前歯の痛み・見た目を改善したいの治療中](https://seimitsushinbi.jp/wp/wp-content/uploads/2021/10/8aeafa6980db8b6ffd78bd3e54920cc1-500x350.jpg?v=1633830111)
![[根管治療・セラミッククラウン] 前歯の痛み・見た目を改善したいの治療後](https://seimitsushinbi.jp/wp/wp-content/uploads/2021/10/969aa8878a18bb42608c420b34b6b67f-500x350.jpg?v=1633830182)
![[根管治療・セラミッククラウン] 前歯の痛み・見た目を改善したいの治療前](https://seimitsushinbi.jp/wp/wp-content/uploads/2021/10/CI2-500x350.jpg?v=1633830190)
![[根管治療・セラミッククラウン] 前歯の痛み・見た目を改善したいの治療中](https://seimitsushinbi.jp/wp/wp-content/uploads/2021/10/c76e56e99ddc8af49fdd2acea25cb18f-500x350.jpg?v=1633830124)
![[根管治療・セラミッククラウン] 前歯の痛み・見た目を改善したいの治療後](https://seimitsushinbi.jp/wp/wp-content/uploads/2021/10/CI7-500x350.jpg?v=1633830198)
![[根管治療・セラミッククラウン] 前歯の痛み・見た目を改善したいの治療前](https://seimitsushinbi.jp/wp/wp-content/uploads/2021/10/f98f866d986e75f9e58896805afeeadb-500x350.jpg?v=1633830104)
![[根管治療・セラミッククラウン] 前歯の痛み・見た目を改善したいの治療中](https://seimitsushinbi.jp/wp/wp-content/uploads/2021/10/6cf1749fde70b685887cdb04d46ab49d-500x350.jpg?v=1633830169)
![[根管治療・セラミッククラウン] 前歯の痛み・見た目を改善したいの治療後](https://seimitsushinbi.jp/wp/wp-content/uploads/2021/10/29e3cb7a58108db5c440d0fdcdcaf31d-500x350.jpg?v=1633830177)
![[根管治療・セラミッククラウン] 前歯の痛み・見た目を改善したいの治療前](https://seimitsushinbi.jp/wp/wp-content/uploads/2021/10/d04a43717ce868dab08c7a3401507301-500x350.jpg?v=1633830091)
![[根管治療・セラミッククラウン] 前歯の痛み・見た目を改善したいの治療中](https://seimitsushinbi.jp/wp/wp-content/uploads/2021/10/6ef29b95a3518b7e2a441f2718af7c65-500x350.jpg?v=1633830163)
![[根管治療・セラミッククラウン] 前歯の痛み・見た目を改善したいの治療後](https://seimitsushinbi.jp/wp/wp-content/uploads/2021/10/8f303c70d16094e23001f75f82df0389-500x350.jpg?v=1633830188)
![[根管治療・セラミッククラウン] 前歯の痛み・見た目を改善したいの治療中](https://seimitsushinbi.jp/wp/wp-content/uploads/2021/10/d0d22465fe7b00c79d4bfd5c09ccc350-500x350.jpg?v=1633830132)
![[根管治療・セラミッククラウン] 前歯の痛み・見た目を改善したいの治療中](https://seimitsushinbi.jp/wp/wp-content/uploads/2021/10/df3a36fcdd9f033f474c5380f057e2f8-500x350.jpg?v=1633830149)
![[根管治療・セラミッククラウン] 前歯の痛み・見た目を改善したいの治療中](https://seimitsushinbi.jp/wp/wp-content/uploads/2021/10/083994aca2a374118e8f1a877c97db1e-500x350.jpg?v=1633830156)
![[根管治療・セラミッククラウン] 前歯の痛み・見た目を改善したいの治療中](https://seimitsushinbi.jp/wp/wp-content/uploads/2021/10/CI3-500x350.jpg?v=1633830192)
![[根管治療・セラミッククラウン] 前歯の痛み・見た目を改善したいの治療中](https://seimitsushinbi.jp/wp/wp-content/uploads/2021/10/CI6-500x350.jpg?v=1633830196)