症例詳細
Case detail
保険のかぶせ物・詰め物を金属を使わないセラミックへ 自然な見た目へ
治療症例の内容
- 診療科目
- 担当医
- 患者様
- 20代女性
- 治療期間
- 2ヶ月
- 治療回数
- 2-5回
- 治療計画
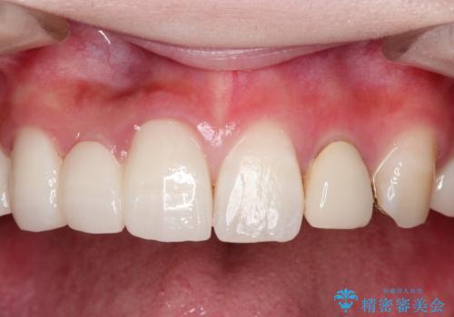
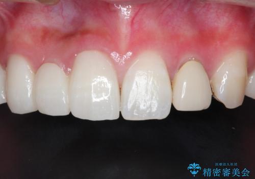
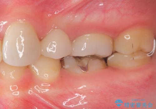
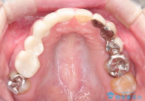
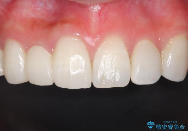
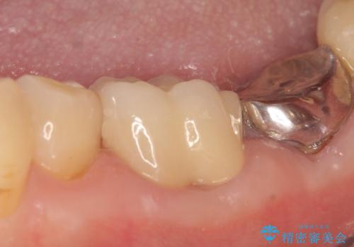
- 保険治療で装着されたかぶせ物と詰め物を変更したいとのことで来院されました。
自然なオールセラミックへ変更することとなりました。
- 費用(概算)
- 約50万円費用は治療当時の料金となります
治療について
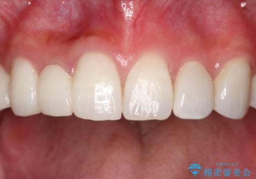
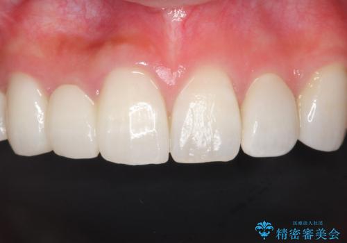
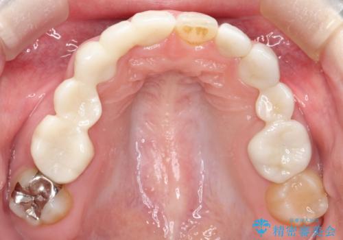
金属を使わないセラミックへ変更することで、自然な見た目になるとともに、ぴったりとした精度の高いかぶせ物を装着することができました。
セラミック治療の注意事項(リスク・副作用など)
- 天然歯を削ります
- 硬い素材は天然歯を傷つけてしまう場合があります
- かみ合わせや歯ぎしりが強すぎる方はセラミックが割れてしまう可能性があります
- 自費診療(保険適用外治療)となります
当サイトの内容、テキスト、画像等の無断転載、複製、複写、盗用を固く禁じます。
















