症例詳細
Case detail
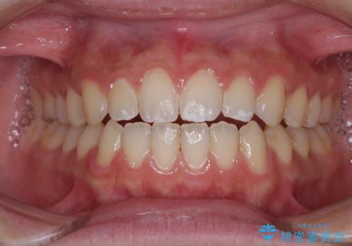
八重歯・前歯のでこぼこを治したい 抜歯矯正
治療症例の内容
- 診療科目
- 治療カテゴリ
- 担当医
- 藤巻太一朗(ドクタープロフィール)
- 患者様
- 20代女性
- 矯正装置
- メタル装置
- 治療期間
- 2年6ヶ月
- 治療回数
- 10-30回
- 治療計画
- 八重歯と上下前歯のでこぼこを気にされ、矯正治療を希望された患者様です。
矯正装置:メタルブラケット
上下前歯部叢生のスペース獲得のため上下顎左右小臼歯各1歯を抜歯
治療期間の目安:2年程度
- 費用(概算)
- 治療費の目安: 70万円費用は治療当時の料金となります
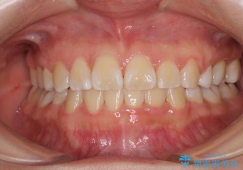
治療を終えて
左上の八重歯の影響で、上の歯の正中を右にずらすための期間が思いの外かかってしまいました。治療期間2年半かかってしまいましたが、奥歯は非常に安定した咬み合わせを達成することができました。
矯正装置除去後には前歯や奥歯のクラウン治療も行い、患者様には大変満足していただけました。
リスクについて
矯正治療は後戻りのリスクがあります。
セラミックは破折などにより修復や再製作が必要となることがあります。
ワイヤー矯正の注意事項(リスク・副作用など)
- 治療中は違和感や痛みが起こることがあります
- 症状により、抜歯が必要な場合があります
- 治療中は歯磨きがしにくくなるため、虫歯や歯周病になりやすくなります
- 矯正治療後の保定が不十分だと後戻り(元の位置に戻ろうとする動き)をします
- 自費診療(保険適用外)となります
当サイトの内容、テキスト、画像等の無断転載、複製、複写、盗用を固く禁じます。








