症例詳細
Case detail
「 歯周病 再生治療 」再生治療で歯を残す
治療症例の内容
- 担当医
- 大元洋佑(ドクタープロフィール)
- 患者様
- 60代男性
- 治療期間
- 1年6ヶ月
- 治療回数
- 5-10回
- 治療計画
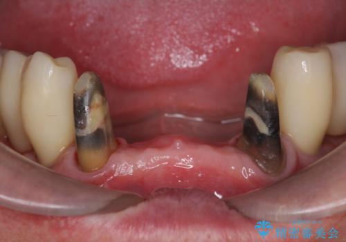
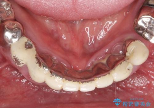
- 被せてある前歯がぐらぐらする、口臭も気になるし、常に歯ぐきが腫れていていることの改善をして欲しい、と来院されました。
歯周組織検査・X線写真検査の結果、重度歯周病であることがわかりました。
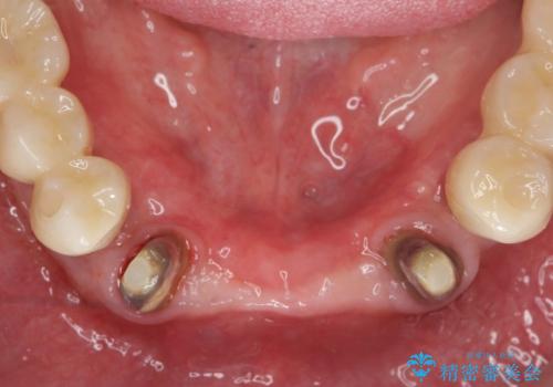
残すことのできない歯を抜去し、入れ歯になることを回避すべくブリッジ治療を行いますが支台となる歯の歯周病を改善すべく歯周病により溶けた歯槽骨の再生治療を計画します。
- 費用(概算)
- 68.5万円(仮歯×6・ファイバーコア×2・フルジルコニアクラウン×6 歯周病再生治療)費用は治療当時の料金となります
再生治療について
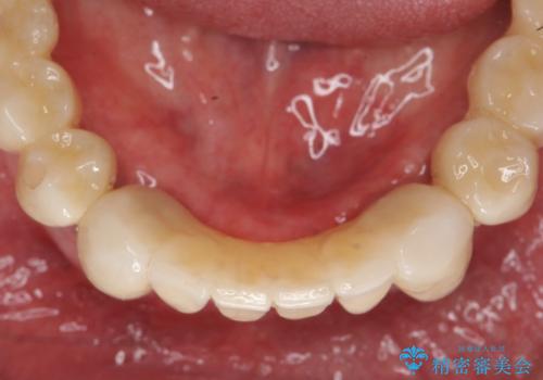
再生治療により良好な歯槽骨の再生が得られ、入れ歯ではなく取り外しの必要のないブリッジによる機能回復を行うことができました。
歯周病治療の注意事項(リスク・副作用など)
- 外科手術のため、術後に痛みや腫れ、違和感を伴います
- 歯周組織再生治療は患者様の状態によって術後の経過が異なります(見た目が改善しない場合もあります)
- 歯周組織再生治療は自費診療(保険適用外)となります
当サイトの内容、テキスト、画像等の無断転載、複製、複写、盗用を固く禁じます。














