症例詳細
Case detail
オーダーメイドで造る、自然な前歯セラミッククラウン
治療症例の内容
- 担当医
- 大元洋佑(ドクタープロフィール)
- 患者様
- 20代女性
- 治療期間
- 1ヶ月
- 治療回数
- 2-5回
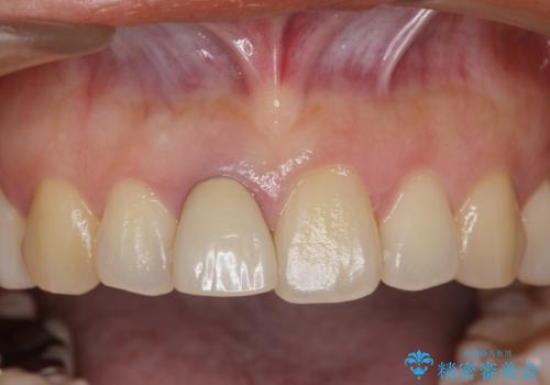
- 治療計画
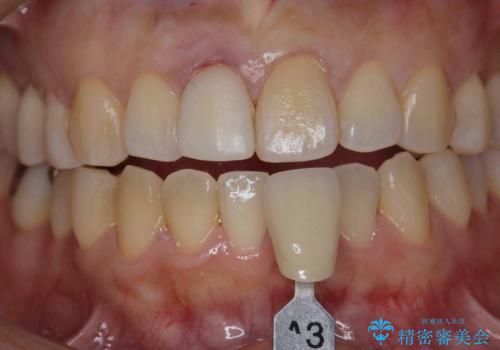
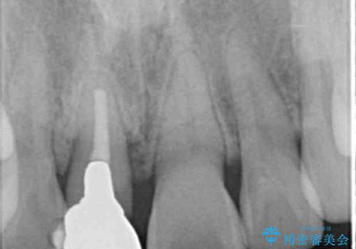
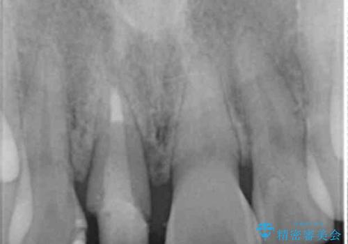
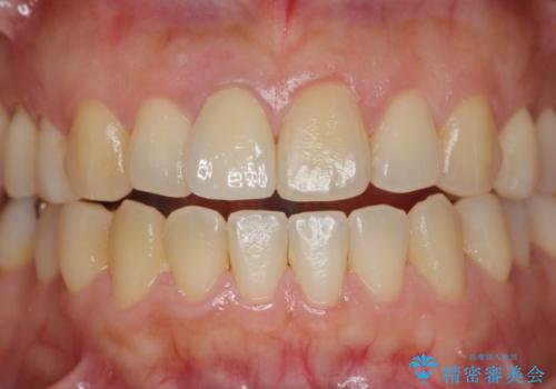
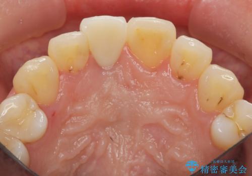
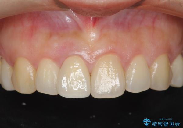
- 幼少期に前歯をぶつけて歯が折れ、神経の治療・クラウン治療を行った。グラつきと見た目の改善を希望して来院されました。
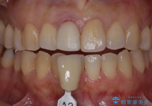
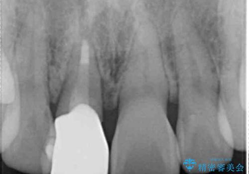
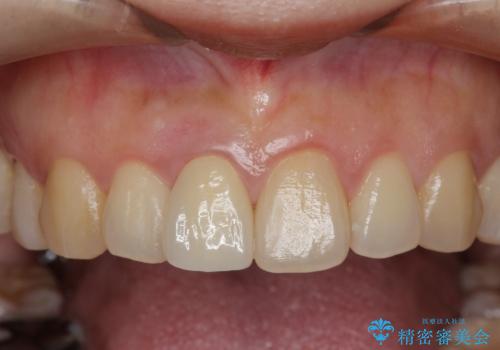
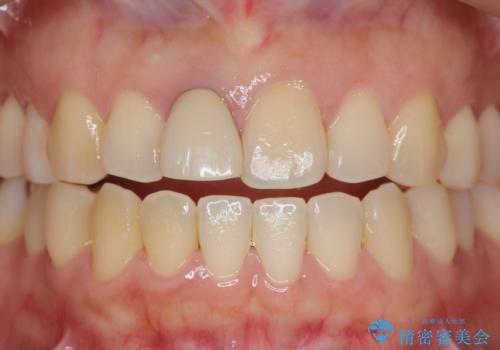
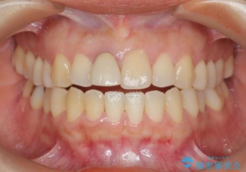
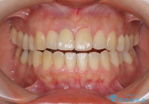
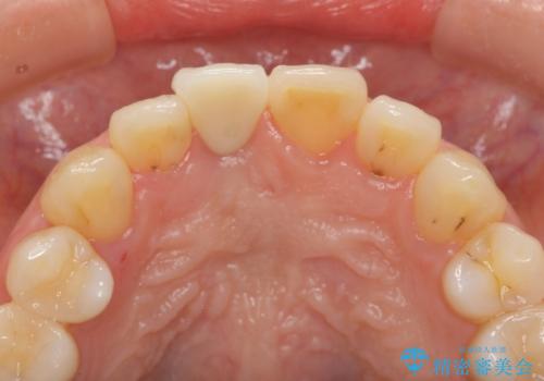
精密な仮歯をいれ、歯周組織を整えるとともにファイバーコア築盛、シェードテイキングを行い見た目に自然なジルコニアクラウンを製作していきます。
- 費用(概算)
- 16万円(仮歯・ファイバーコア・ジルコニアクラウンスペシャル)費用は治療当時の料金となります
ジルコニアクラウン治療について
ジルコニアクラウンの中でも当法人のグレードの高い、スペシャル・エクセレントプランはオーダーメイドで色調を合わせることで周囲の歯に馴染んだ自然な歯を製作することのできるプランです。
セラミック治療の注意事項(リスク・副作用など)
- 天然歯を削ります
- 硬い素材は天然歯を傷つけてしまう場合があります
- かみ合わせや歯ぎしりが強すぎる方はセラミックが割れてしまう可能性があります
- 自費診療(保険適用外治療)となります
当サイトの内容、テキスト、画像等の無断転載、複製、複写、盗用を固く禁じます。

















