症例詳細
Case detail
前歯が疼く セラミッククラウンのやり替え
治療症例の内容
- 担当医
- 大元洋佑(ドクタープロフィール)
- 患者様
- 30代女性
- 治療期間
- 1ヶ月
- 治療回数
- 2-5回
- 治療計画
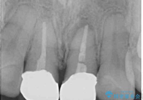
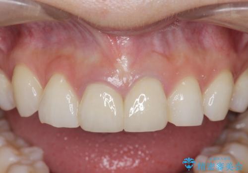
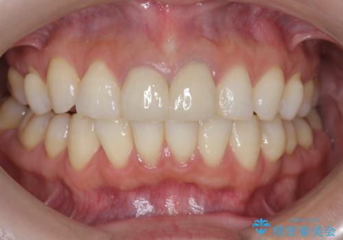
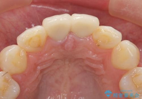
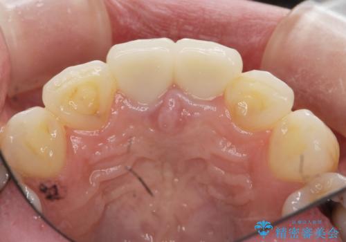
- 「幼少期に転んで治療した前歯がうずく、疲れると膿が出る。」と治療を希望され来院されました。
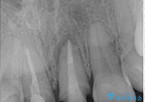
X線写真検査に加え圧痛、打診痛が認められたため、慢性根尖性歯周炎と診断し、根管治療から行うセラミック治療を計画します。
- 費用(概算)
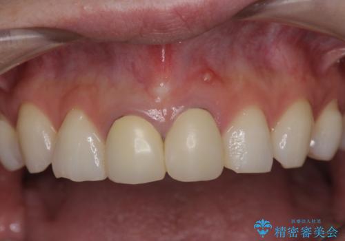
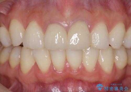
- 26.2万円(仮歯・ファイバーコア・ジルコニアクラウン×2)費用は治療当時の料金となります
根管治療について
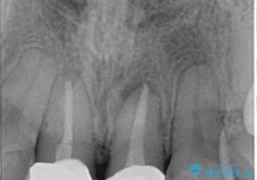
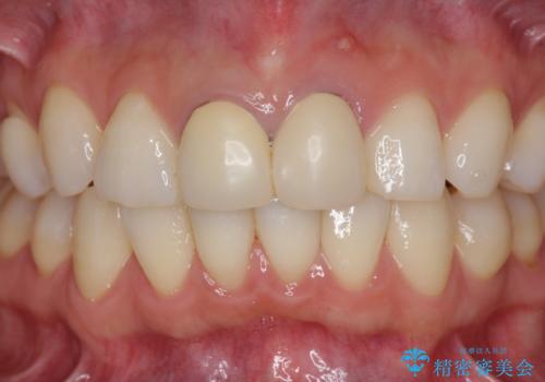
歯ぐきを押すと痛い、うずく、響く、などの症状は感染根管による根尖性歯周炎や歯の破折の所見であることが多々見られます。
今回は根尖性歯周炎に対する根管治療を行ったことで症状は改善し、快適に食事ができる状態へと改善しました。
セラミック治療の注意事項(リスク・副作用など)
- 天然歯を削ります
- 硬い素材は天然歯を傷つけてしまう場合があります
- かみ合わせや歯ぎしりが強すぎる方はセラミックが割れてしまう可能性があります
- 自費診療(保険適用外治療)となります
当サイトの内容、テキスト、画像等の無断転載、複製、複写、盗用を固く禁じます。
















