症例詳細
Case detail
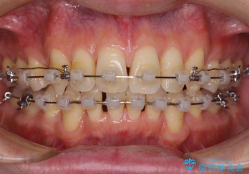
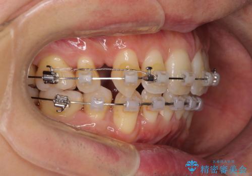
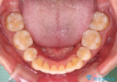
掃除しにくい前歯と閉じにくい口元 目立たないワイヤー装置での抜歯矯正
治療症例の内容
- 診療科目
- 担当医
- 藤巻太一朗(ドクタープロフィール)
- 患者様
- 40代男性
- 矯正装置
- クリアブラケット
- 治療期間
- 2年
- 治療回数
- 10-30回
- 治療計画
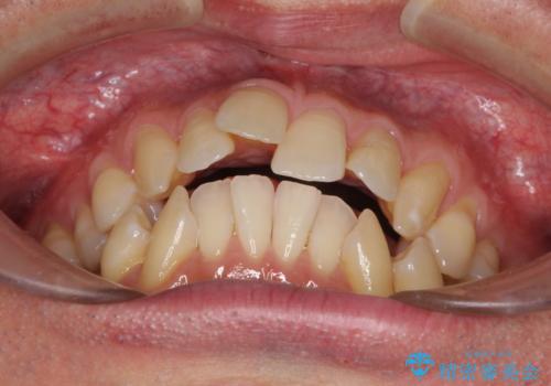
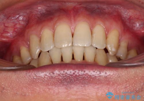
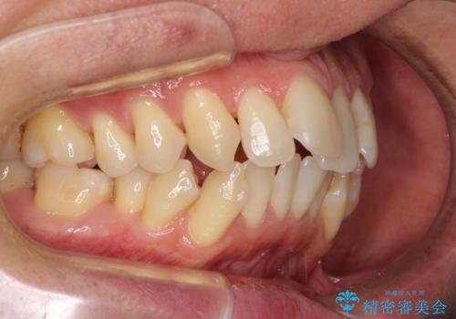
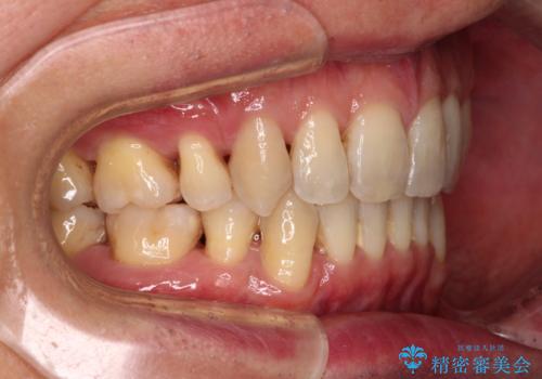
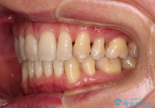
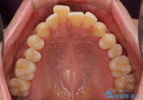
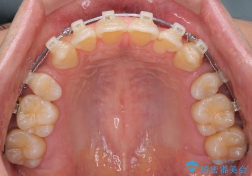
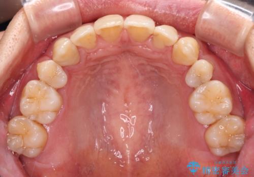
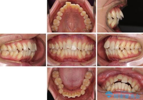
- 口元の閉じにくさと、前歯のでこぼこの歯並びを気にして来院された患者様です。
口元を積極的に引っ込めるために、上下左右の小臼歯計4本を抜歯することとしました。
- 費用(概算)
- 治療費の目安: 100万円(税込)費用は治療当時の料金となります
治療について
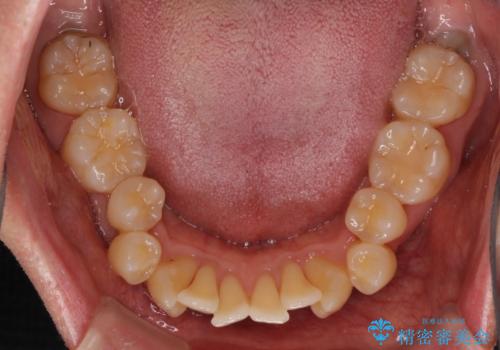
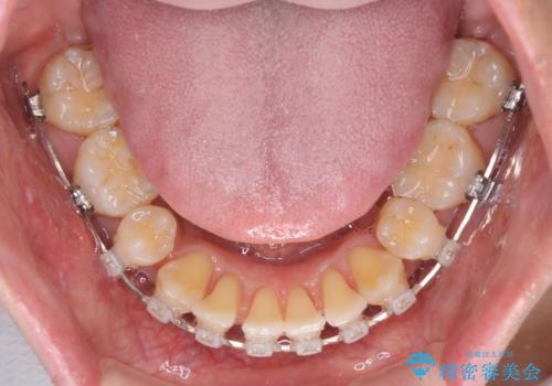
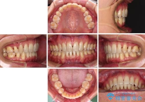
叢生が強い場合、抜歯スペースが叢生を解消するために消費されるため、口元の突出感があまり改善されないことがあります。
今回の治療では、奥歯が前方に傾斜した歯並びだったため、奥に起き上がることで歯列が後方に移動し、横側からも口元が引っ込んだ感じが分かるほど改善されました。
ワイヤー矯正の注意事項(リスク・副作用など)
- 治療中は違和感や痛みが起こることがあります
- 症状により、抜歯が必要な場合があります
- 治療中は歯磨きがしにくくなるため、虫歯や歯周病になりやすくなります
- 矯正治療後の保定が不十分だと後戻り(元の位置に戻ろうとする動き)をします
- 自費診療(保険適用外)となります
当サイトの内容、テキスト、画像等の無断転載、複製、複写、盗用を固く禁じます。


























