症例詳細
Case detail
抜歯をせずに出っ歯を改善 リンガル矯正
治療症例の内容
- 診療科目
- 担当医
- 藤巻太一朗(ドクタープロフィール)
- 患者様
- 20代女性
- 矯正装置
- 裏側装置(フルリンガル)
- 治療期間
- 2年4ヶ月
- 治療回数
- 10-30回
- 治療計画
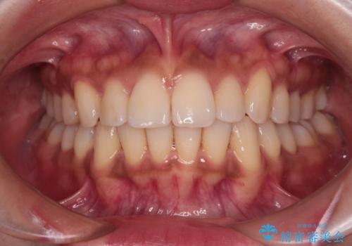
- 下の前歯のでこぼこと上の前歯の突出感を気にして来院された患者様です。
抜歯をせずに上の奥歯を後方へ移動させて口元を下げることとしました。
- 費用(概算)
- 治療費の目安: 130万円費用は治療当時の料金となります
治療を終えて
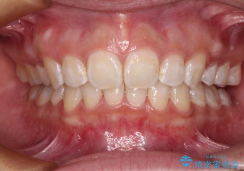
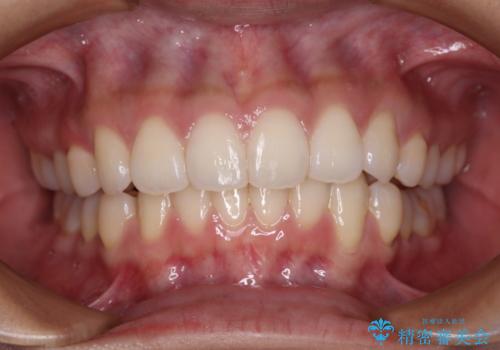
上の奥歯をミニスクリューアンカーを使用して後方に移動させるだけでなく、前歯の歯と歯の間を少し削って口元を可能な限り下げました。
下の前歯のでこぼこは歯肉が腫れておりましたが、歯並びが整ったことで清掃性が上がり、患者様には大変満足していただけました。
リスクについて
矯正治療は後戻りのリスクがあります。
ワイヤー矯正の注意事項(リスク・副作用など)
- 治療中は違和感や痛みが起こることがあります
- 症状により、抜歯が必要な場合があります
- 治療中は歯磨きがしにくくなるため、虫歯や歯周病になりやすくなります
- 矯正治療後の保定が不十分だと後戻り(元の位置に戻ろうとする動き)をします
- 自費診療(保険適用外)となります
当サイトの内容、テキスト、画像等の無断転載、複製、複写、盗用を固く禁じます。








