症例詳細
Case detail
どこで咬んで良いのか分からない インビザラインでの咬み合わせの改善
治療症例の内容
- 診療科目
- 担当医
- 藤巻太一朗(ドクタープロフィール)
- 患者様
- 30代女性
- 矯正装置
- インビザライン
- 治療期間
- 3年6ヶ月
- 治療回数
- 10-30回
- 治療計画
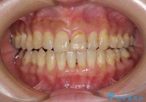
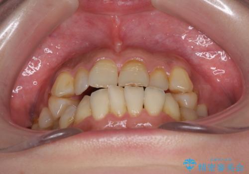
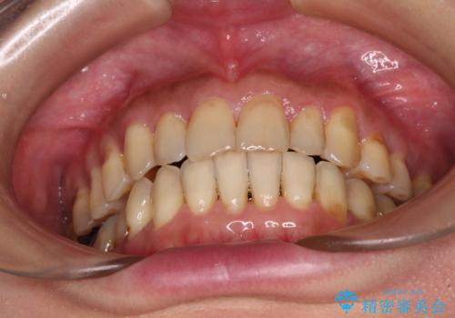
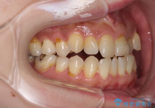
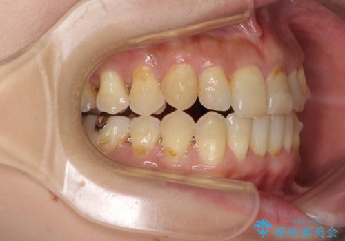
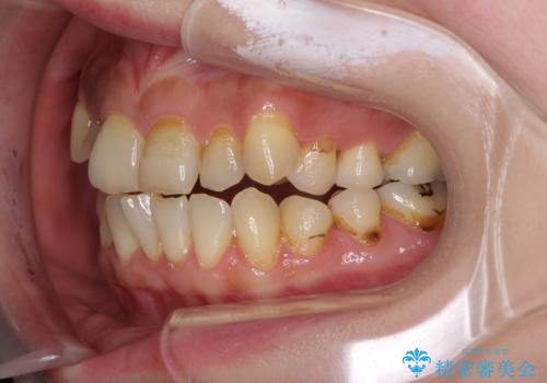
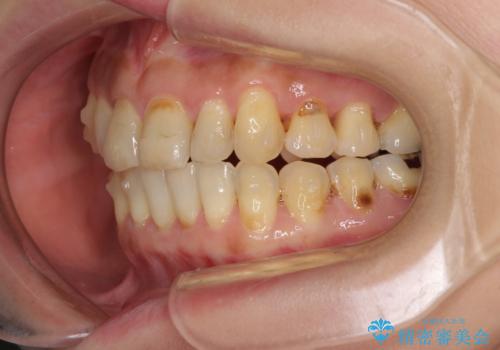
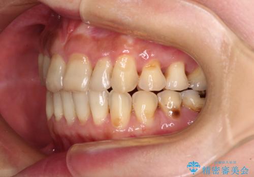
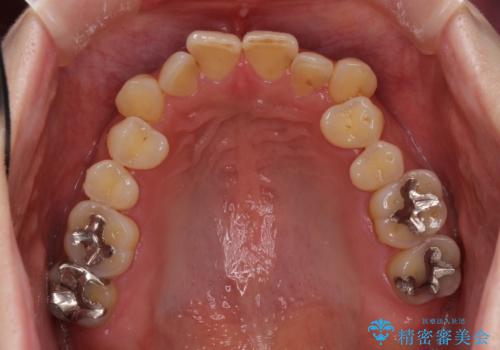
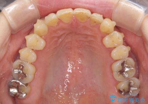
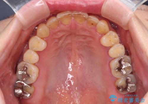
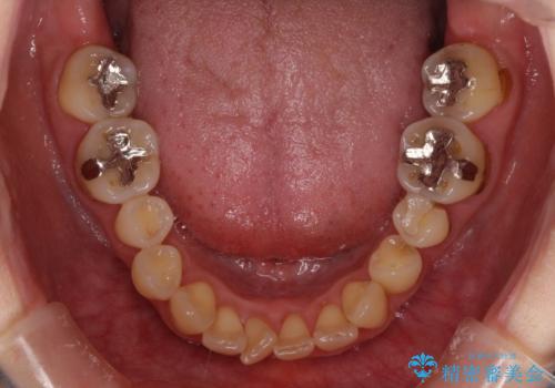
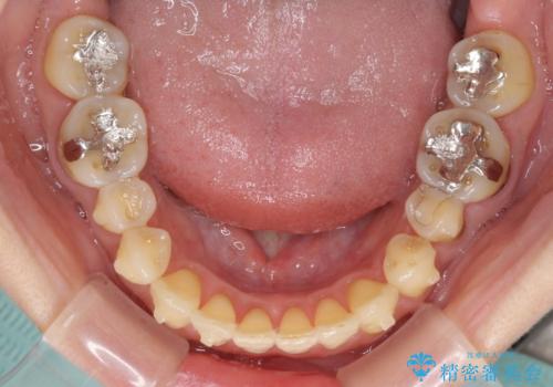
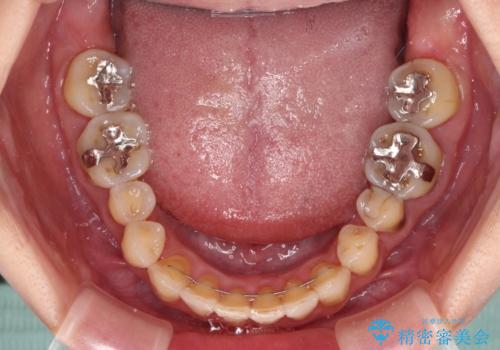
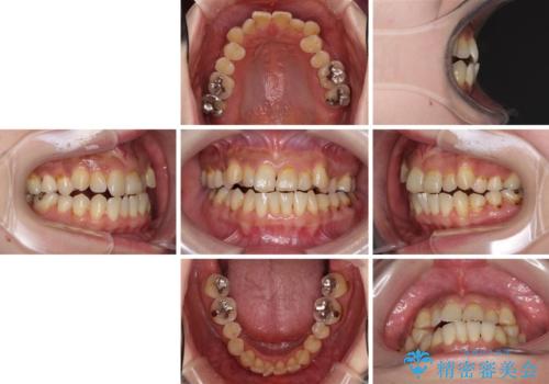
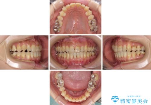
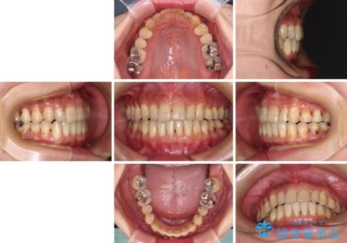
- 歯列不正と、どこで咬んで良いのか分からない咬み合わせを気にして来院された患者様です。
下顎骨は左側にシフトしており、咬み合ったときには奥歯と前歯の一部しか接触していない状態でした。
骨格的な左右差は歯列矯正は改善できないため、上下歯列が全体的に接触することをゴールとしてインビザラインにて矯正治療を行うこととしました。
- 費用(概算)
- 治療費の目安: 85万円(税込)費用は治療当時の料金となります
治療について
マウスピース矯正は、奥歯が常にマウスピースを介して咬み合うため、治療過程において前歯のみが接触して奥歯が咬み合わないということが頻発します。
元々奥歯の咬み合わせに問題のある方の場合、治療期間が長期化したり、咬み合わせの改善ができなかったりすることがあります。
マウスピースのみでは治療を終了させることができなくなり、ワイヤー矯正を併用したり、顎間ゴムを多用したりといった対応が必要となります。
マウスピース矯正の注意事項(リスク・副作用など)
- 口腔内・歯並びの状態によっては対応できない場合があります
- マウスピース型矯正装置の長時間装着(1日20時間以上)が必須です
- 治療計画通りに進めるためには、患者様の意志が重要になります
- 矯正治療後の保定が不十分だと後戻り(元の位置に戻ろうとする動き)をします
- 薬機法対象外の矯正歯科装置のため医薬品副作用被害救済制度の対象外となる場合があります
- 自費診療(保険適用外)となります
当サイトの内容、テキスト、画像等の無断転載、複製、複写、盗用を固く禁じます。


























