症例詳細
Case detail
できる限り短い期間で終えたい ワイヤー矯正による咬み合わせの改善
治療症例の内容
- 診療科目
- 治療カテゴリ
- 担当医
- 藤巻太一朗(ドクタープロフィール)
- 患者様
- 20代女性
- 矯正装置
- 審美装置
- 治療期間
- 1年7ヶ月
- 治療回数
- 10-30回
- 治療計画
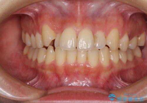
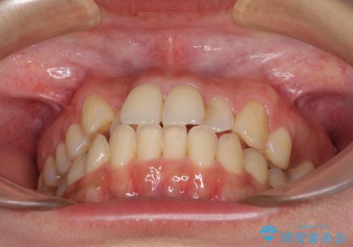
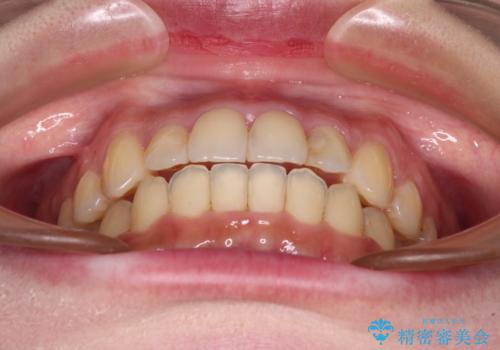
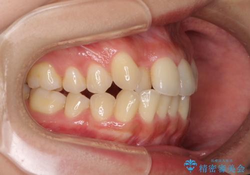
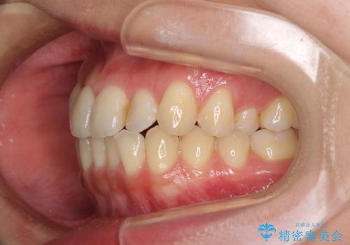
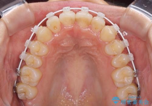
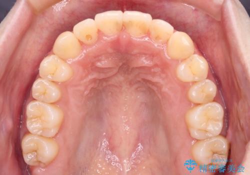
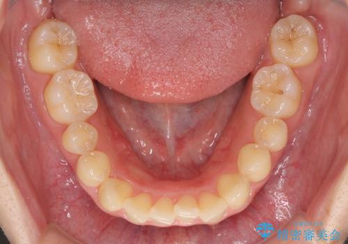
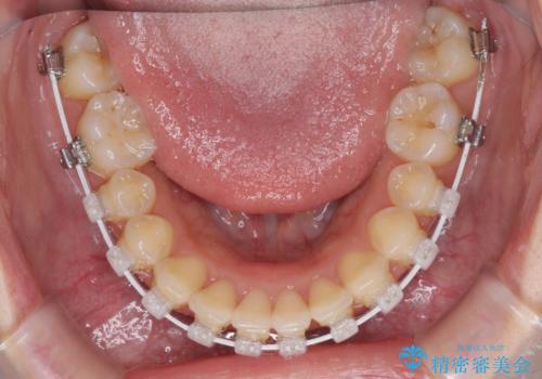
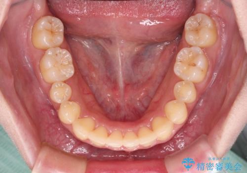
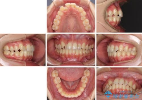
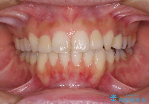
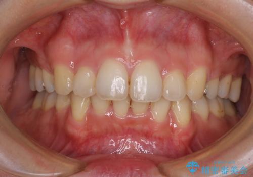
- 前歯のデコボコを気にして来院された患者様です。
上顎右側犬歯が八重歯になっており、それによって奥歯が前方に移動しているため、右側の咬み合わせの改善が必要と判断されました。
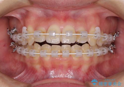
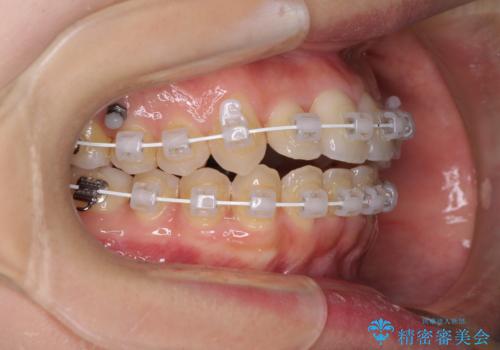
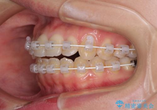
マウスピース矯正では改善に時間がかかる、あるいは改善しきれない可能性があることを伝えたところ、短期間で確実に治療ができるワイヤー矯正を選択されました。
- 費用(概算)
- 治療費の目安: 95万円(税込)費用は治療当時の料金となります
治療について
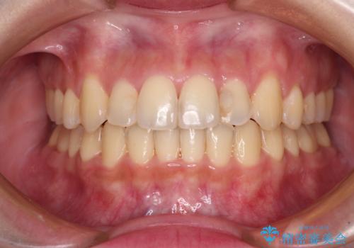
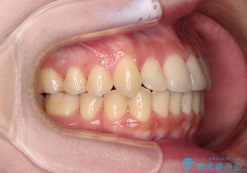
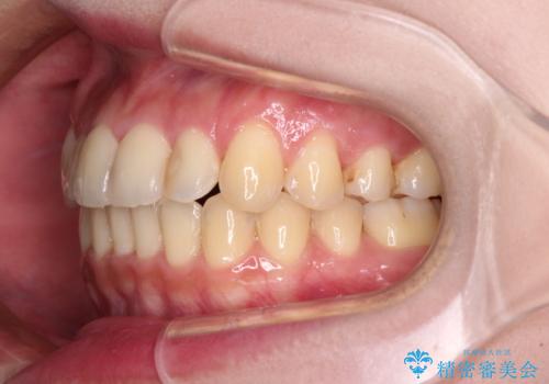
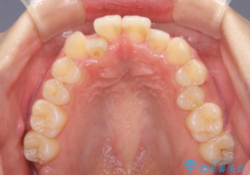
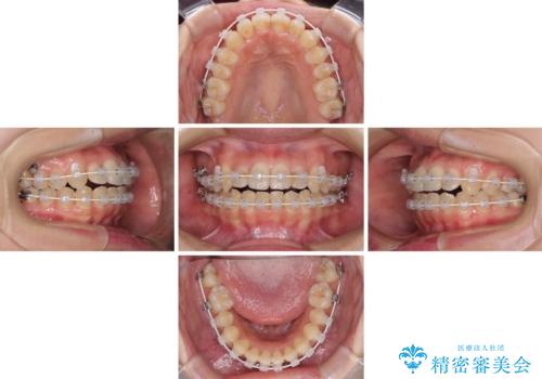
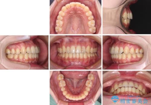
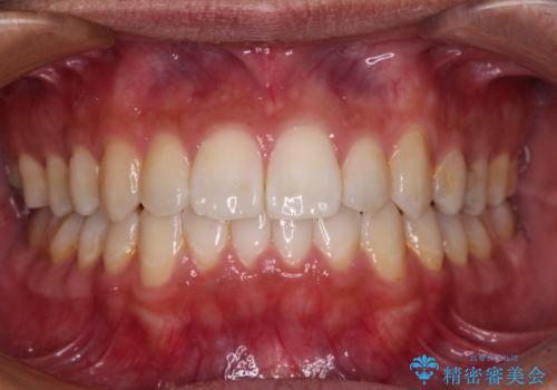
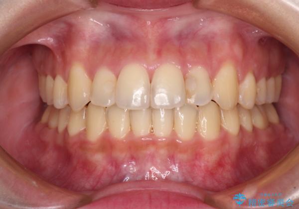
より治療を速やかに行うため、上顎右側にアンカースクリューを使用し、目標としていた1年半ほどで治療を終えることができました。
ワイヤー矯正の注意事項(リスク・副作用など)
- 治療中は違和感や痛みが起こることがあります
- 症状により、抜歯が必要な場合があります
- 治療中は歯磨きがしにくくなるため、虫歯や歯周病になりやすくなります
- 矯正治療後の保定が不十分だと後戻り(元の位置に戻ろうとする動き)をします
- 自費診療(保険適用外)となります
当サイトの内容、テキスト、画像等の無断転載、複製、複写、盗用を固く禁じます。


























