症例詳細
Case detail
奥歯のむし歯が痛む セラミッククラウンとゴールドインレーによるむし歯治療
治療症例の内容
- 診療科目
- 治療カテゴリ
- 担当医
- 藤巻太一朗(ドクタープロフィール)
- 患者様
- 30代女性
- 治療期間
- 3ヶ月
- 治療回数
- 2-5回
- 治療計画
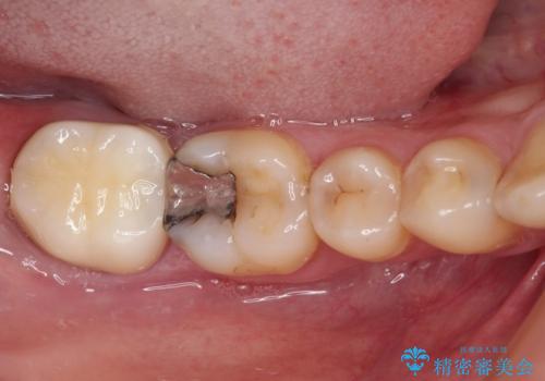
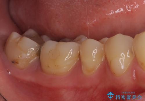
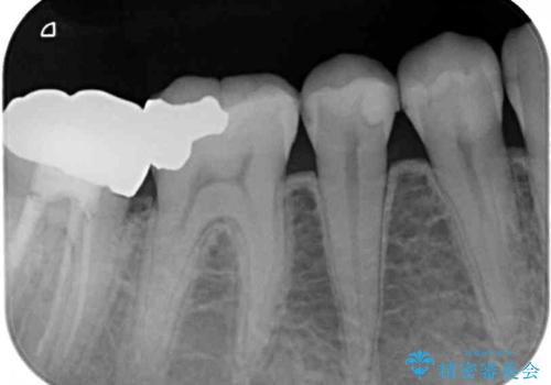
- 右上下の奥歯がむし歯でしみたり痛んだりするとのことで来院された患者様です。
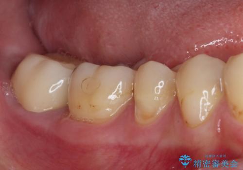
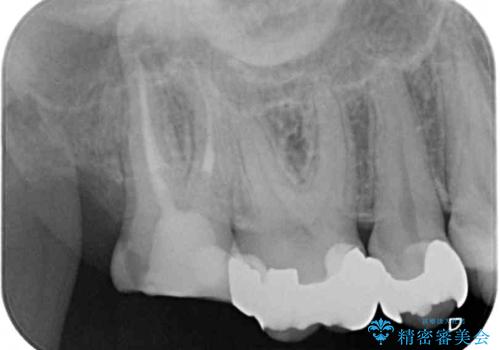
下顎の奥歯は強い痛みを感じており、既に歯髄に不可逆的な炎症が起きていると診断されたため、根管治療の後にセラミッククラウンにて補綴治療を行うこととしました。
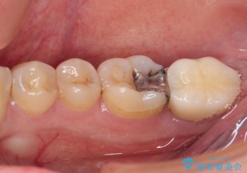
上顎の奥歯は最近銀歯による治療を行ったとのことでしたが、適合が不十分であり隙間からしみていたため、適合の良いゴールドインレーにて修復治療を行うこととしました。
- 費用(概算)
- 治療費の目安: 40万円(税込)費用は治療当時の料金となります
治療について
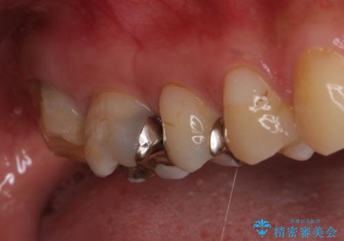
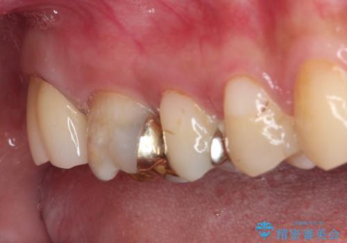
下顎のむし歯は歯肉の中にまで及んでいたため、一部歯槽骨を削除し、歯肉縁上に健全歯質が位置するよう外科処置を併用しました。
セラミック治療の注意事項(リスク・副作用など)
- 天然歯を削ります
- 硬い素材は天然歯を傷つけてしまう場合があります
- かみ合わせや歯ぎしりが強すぎる方はセラミックが割れてしまう可能性があります
- 自費診療(保険適用外治療)となります
PGA(ゴールド)クラウン、インレーの注意事項(リスク・副作用など)
- インレーおよびクラウンは脱離するリスクがあります
- 形成量はセラミックより少ないですが、歯の形成、修復後に歯に症状が出ることがあります
- 自費診療(保険適用外治療)となります
外科処置の注意事項(リスク・副作用など)
- 外科手術のため、術後に出血、痛みや腫れ、違和感を伴います
- 口腔内の状態によっては適応できないことがあります
当サイトの内容、テキスト、画像等の無断転載、複製、複写、盗用を固く禁じます。


















