症例詳細
Case detail
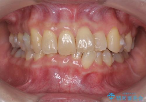
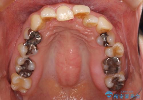
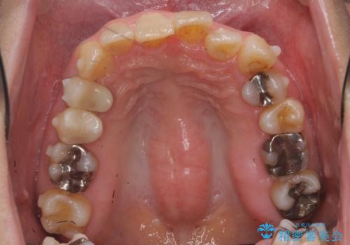
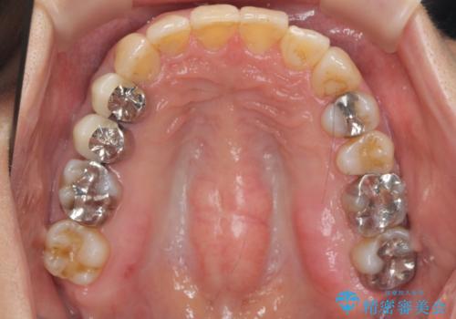
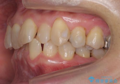
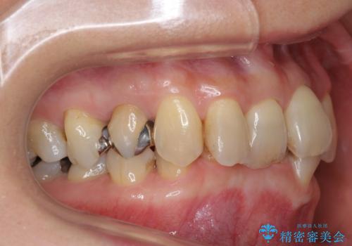
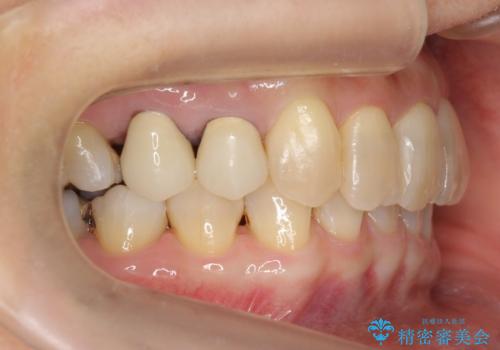
50代女性 インビザライン かみ合わせが深く、難しい症例
治療症例の内容
- 患者様
- 50代女性
- 矯正装置
- マウスピース矯正
- 治療期間
- 2年6ヶ月
- 治療回数
- 10-30回
- 治療計画
- 歯並びを主訴に来院。他院で200万近い金額を提示されたとのことでした。
マウスピース矯正であれば、来院頻度も多くないため、そこまでコストはかからないと説明しました。
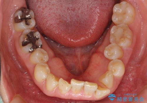
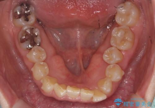
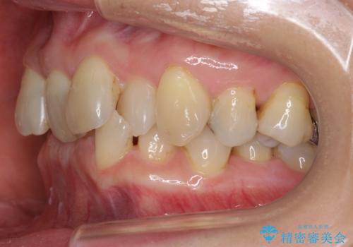
かみ合わせが深く、上の歯が咬みこんで下の歯にワイヤーがつけられない状態で、ワイヤー矯正はかなり難しい状態でした。
反対咬合や、すれ違い咬合もあり、大変難しいケースでしたが治療することができました。
- 費用(概算)
- 110万円(税込み)費用は治療当時の料金となります
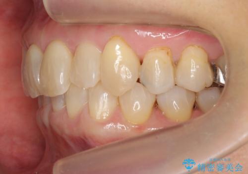
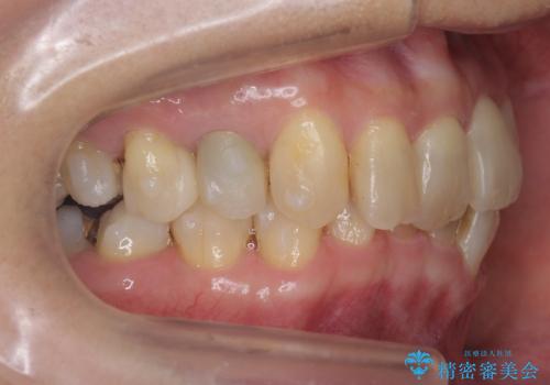
治療について
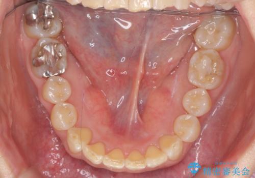
かみ合わせが深い方はもともとかみしめが強く、マウスピース矯正を長期にすると、奥歯が咬まなくなってくる症状が強くなります。
今回もそういった状態になったのを、装着時間や歯の移動を工夫する形で治療しました。
マウスピース矯正の注意事項(リスク・副作用など)
- 口腔内・歯並びの状態によっては対応できない場合があります
- マウスピース型矯正装置の長時間装着(1日20時間以上)が必須です
- 治療計画通りに進めるためには、患者様の意志が重要になります
- 矯正治療後の保定が不十分だと後戻り(元の位置に戻ろうとする動き)をします
- 薬機法対象外の矯正歯科装置のため医薬品副作用被害救済制度の対象外となる場合があります
- 自費診療(保険適用外)となります
当サイトの内容、テキスト、画像等の無断転載、複製、複写、盗用を固く禁じます。

















