症例詳細
Case detail
ホワイトワイヤー 目立たない矯正
治療症例の内容
- 診療科目
- 治療カテゴリ
- 担当医
- 井上季実子(ドクタープロフィール)
- 患者様
- 30代女性
- 矯正装置
- 審美装置
- 治療期間
- 7ヶ月
- 治療回数
- 10-30回
- 治療計画
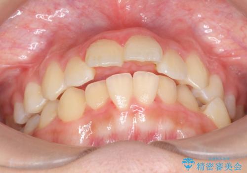
- 前歯のねじれを主訴に来院。
マウスピース矯正も検討されましたが、マウスピースの取り外しがライフスタイルに合わないということで、ワイヤー矯正を選択されました。
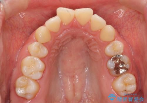
生まれつき下顎の前歯が3本でした。(本来は4本)。上の前歯をそのまま並べると出っ歯になってしまうのでディスキングを行い、上下の前歯がかむようにしました。
また、左上第二大臼歯が頬側転位していたのも治しました。
審美ブラケットとホワイトワイヤーで、ワイヤー矯正でも目立たず治療が可能です。
- 費用(概算)
- 約80万円費用は治療当時の料金となります
治療後の感想
他の人に比べると短い期間で終了したと思いますが受付のスタッフの方をはじめ担当してくださった先生方はみなさんとても親切で通院するのも苦にならなかったです。矯正中は見た目や歯磨き等、色々と大変なこともありましたが、少しずつ綺麗に並んでいく歯を見るとやる気が出て装置が外れる日が楽しみでした。仕上がりもとても満足です。後戻りしないように保定装置もしっかりつけて綺麗な歯並びを保ちたいです。ありがとうございました。
ワイヤー矯正の注意事項(リスク・副作用など)
- 治療中は違和感や痛みが起こることがあります
- 症状により、抜歯が必要な場合があります
- 治療中は歯磨きがしにくくなるため、虫歯や歯周病になりやすくなります
- 矯正治療後の保定が不十分だと後戻り(元の位置に戻ろうとする動き)をします
- 自費診療(保険適用外)となります
当サイトの内容、テキスト、画像等の無断転載、複製、複写、盗用を固く禁じます。


















