症例詳細
Case detail
セラミッククラウン 歯ぐきの黒ずみの改善
治療症例の内容
- 診療科目
- 治療カテゴリ
- 担当医
- 大元洋佑(ドクタープロフィール)
- 患者様
- 40代女性
- 治療期間
- 1ヶ月
- 治療回数
- 2-5回
- 治療計画
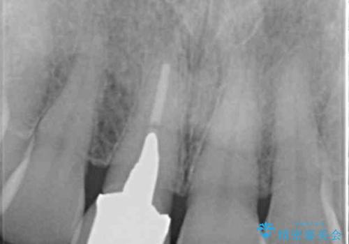
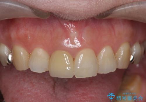
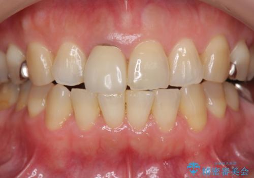
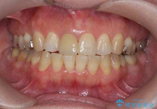
- 十数年前に治療した前歯のクラウンの歯ぐきの位置が変化し、黒いラインが見え審美性の改善を求めて来院されました。
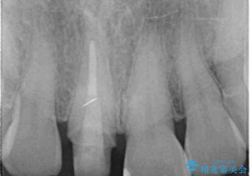
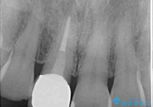
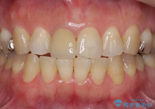
ファイバーコアのやりかえを行ったのち、金属を用いないジルコニアクラウンによる再補綴を行い前歯の審美性の向上を計画します。
- 費用(概算)
- 14.3万円(仮歯・ファイバーコア・ジルコニアクラウン)費用は治療当時の料金となります
ジルコニアクラウンについて
近年前歯のクラウン製作に用いられるジルコニアクラウンは、金属を用いていないため経年的に歯ぐきの位置が変わっても黒いラインが見えることなく審美性の意地が期待できます。
セラミック治療の注意事項(リスク・副作用など)
- 天然歯を削ります
- 硬い素材は天然歯を傷つけてしまう場合があります
- かみ合わせや歯ぎしりが強すぎる方はセラミックが割れてしまう可能性があります
- 自費診療(保険適用外治療)となります
当サイトの内容、テキスト、画像等の無断転載、複製、複写、盗用を固く禁じます。














