症例詳細
Case detail
「 放置した虫歯 」 前歯セラミック治療
治療症例の内容
- 担当医
- 大元洋佑(ドクタープロフィール)
- 患者様
- 40代男性
- 治療期間
- 1年
- 治療回数
- 5-10回
- 治療計画
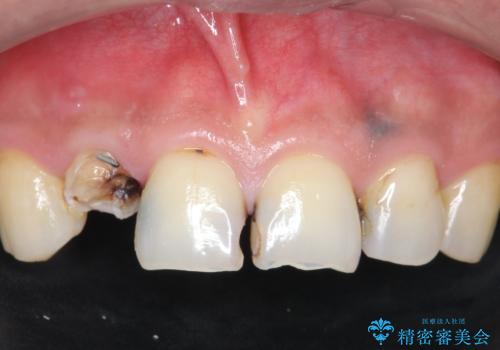
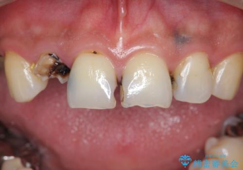
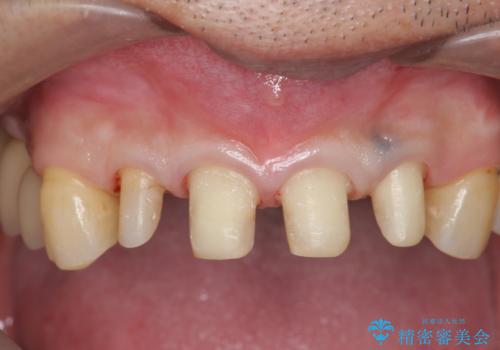
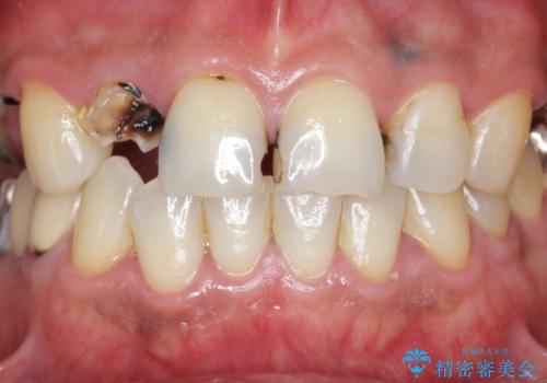
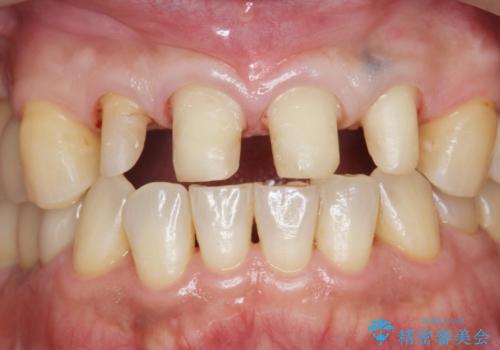
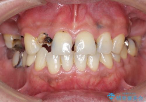
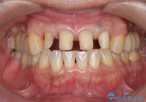
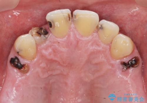
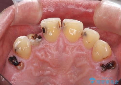
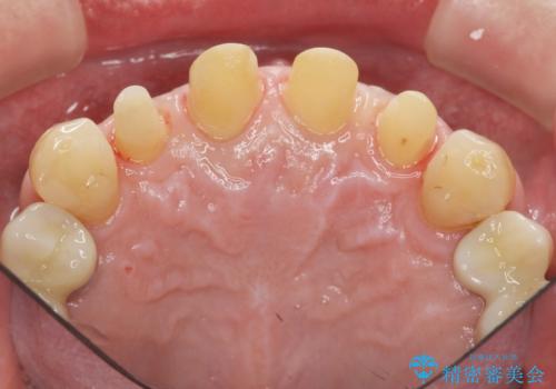
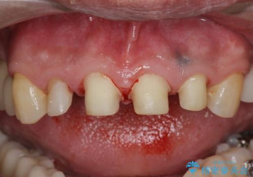
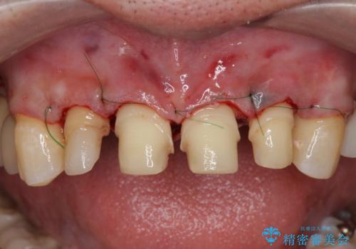
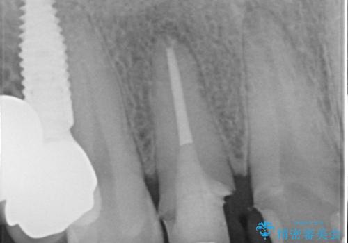
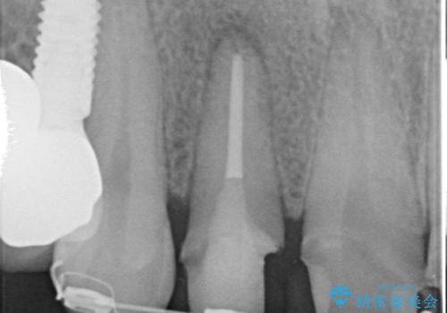
- 前歯の虫歯に気付きながらも放置し、一念発起し治療を希望され来院されました。
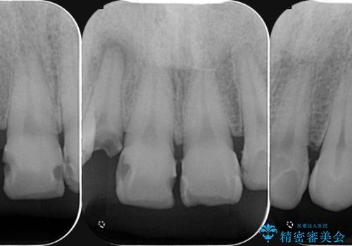
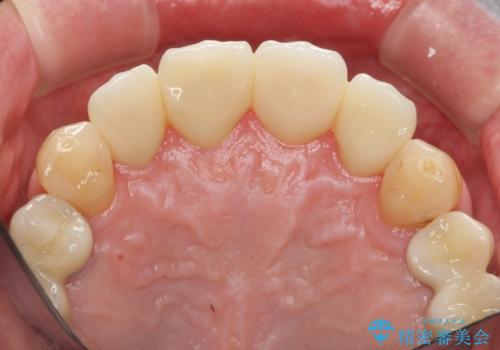
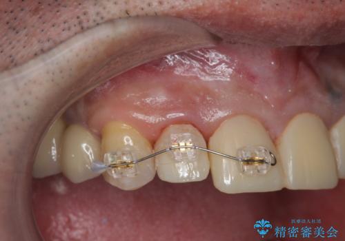
虫歯のマイクロスコープによる丁寧な除去、根管治療、深い虫歯に対する挺出(エクストリュージョン)および歯周外科を行ったのち精度の高いセラミッククラウン製作治療を計画します。
- 費用(概算)
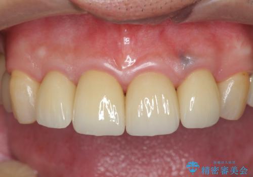
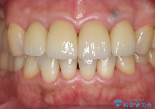
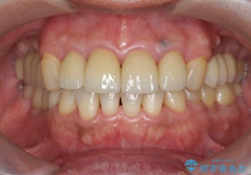
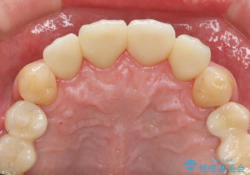
- 61.6万円(仮歯・ジルコニアクラウン×4・ファイバーコア ・エクストリュージョン)費用は治療当時の料金となります
虫歯治療について
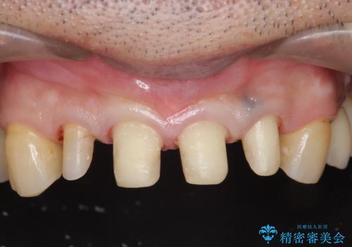
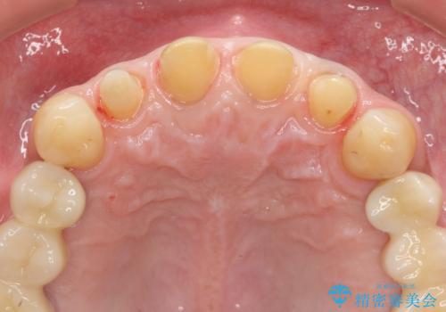
虫歯の放置により、根管治療や深い虫歯に対する処置が必要になりましたが丁寧に一つづつ処置を行ったことで抜歯をすることなく歯を残すことができました。
セラミッククラウンの製作をする前に、歯内・歯周環境の整備は非常に大切です。
セラミック治療の注意事項(リスク・副作用など)
- 天然歯を削ります
- 硬い素材は天然歯を傷つけてしまう場合があります
- かみ合わせや歯ぎしりが強すぎる方はセラミックが割れてしまう可能性があります
- 自費診療(保険適用外治療)となります
当サイトの内容、テキスト、画像等の無断転載、複製、複写、盗用を固く禁じます。































