症例詳細
Case detail
歯の外部吸収 難しい根の治療 30代男性
治療症例の内容
- 患者様
- 30代男性
- 治療期間
- 3ヶ月
- 治療回数
- 2-5回
- 治療計画
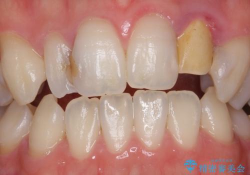
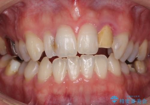
- 前歯の被せ物が黄色いことを気にされ来院された患者様です。
前歯(左上2)の被せ物(保険適応の硬質レジン前装冠)は著しく劣化し変色していました。
被せ物と土台を除去し精査したところ、穿孔と外部吸収を認めました。
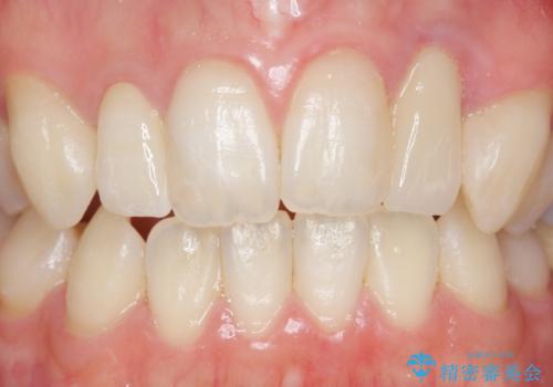
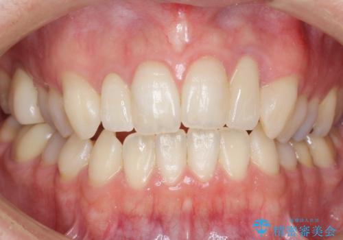
銀座しらゆり歯科の林院長による精密根管治療と外部吸収処置後、セラミッククラウンによる補綴を行いました。
- 費用(概算)
- ¥286,000 (精密根管治療、外部吸収処置、仮歯、土台、クラウン) ※税込費用は治療当時の料金となります
治療について
精密な根管治療とセラミッククラウンの自然な仕上がりにご満足頂けました。
「しっかりとした診断と丁寧な治療を受けられて良かったです!」と喜んで下さいました。
林院長の精密根管治療は素晴らしく、難易度の高いケースも治して下さり患者様の満足度も非常に高いため、紹介した私も嬉しくなります。
治療終了から1年以上経過しても、症状もなく良好な状態を保っております。
クラウンの種類:オールセラミッククラウン スペシャル
外部吸収について
歯に外傷が加わった時に歯が炎症を起こし外側から歯根吸収が起こることがあります。
外部吸収であれば根管治療で吸収を予防することが可能です。
根管治療の注意事項(リスク・副作用など)
- 根管治療により類似の全ての症例の問題が解決するわけではなく、症例はあくまでも一例です
- 根管治療により痛みや腫れがひかない事や、術後に痛みや腫れが生じる事、治療によるファイル破折やパーフォレーションなどの偶発症、術後の歯根破折を生じる可能性もあります
- 自費診療(保険適用外)となります
セラミック治療の注意事項(リスク・副作用など)
- 天然歯を削ります
- 硬い素材は天然歯を傷つけてしまう場合があります
- かみ合わせや歯ぎしりが強すぎる方はセラミックが割れてしまう可能性があります
- 自費診療(保険適用外治療)となります
当サイトの内容、テキスト、画像等の無断転載、複製、複写、盗用を固く禁じます。










