症例詳細
Case detail
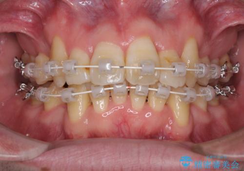
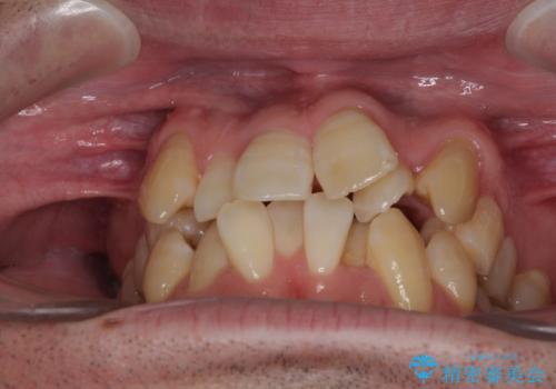
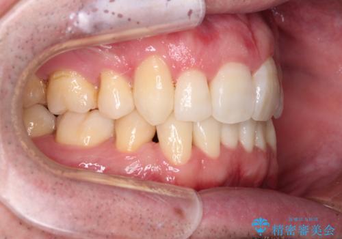
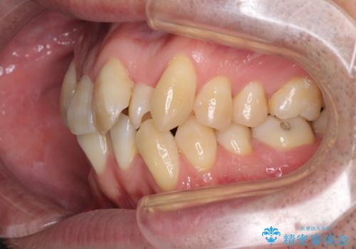
ものが挟まる 著しい叢生を解消 ワイヤー装置による抜歯矯正
治療症例の内容
- 診療科目
- 治療カテゴリ
- 担当医
- 藤巻太一朗(ドクタープロフィール)
- 患者様
- 40代男性
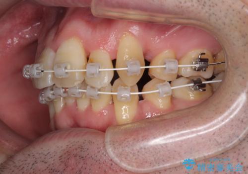
- 矯正装置
- 審美装置
- 治療期間
- 2年7ヶ月
- 治療回数
- 10-30回
- 治療計画
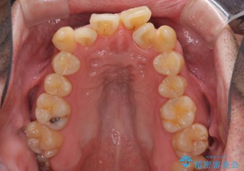
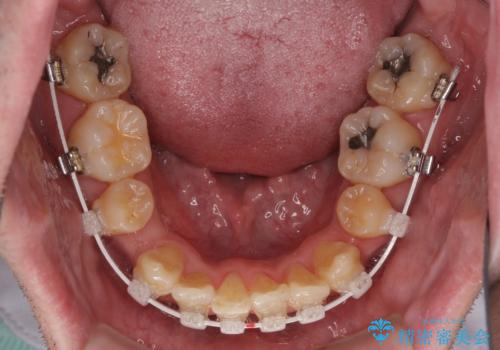
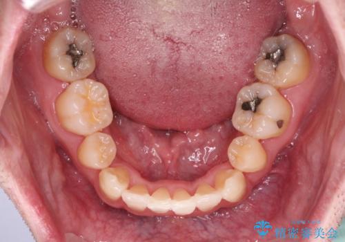
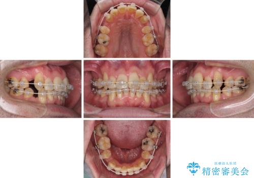
- 前歯のデコボコを気にして来院された患者様です。
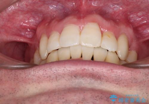
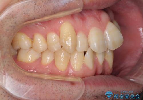
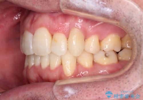
叢生の解消とともに、前方に張り出した上顎前歯を引っ込めることを目的とし、上下左右の第一小臼歯4歯を抜歯をしてワイヤー矯正により治療することとしました。
- 費用(概算)
- 治療費の目安: 100万円(税込)費用は治療当時の料金となります
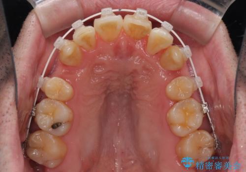
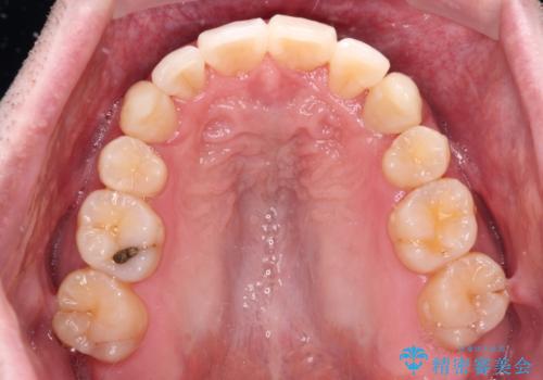
治療について
治療開始直後は、あっという間に歯列が整い、すぐに終わるのではないかと思われましたが、治療の後半にブラックトライアングル解消のための処置を行ったため、当初予定していた2年半ほどの期間を要することとなりました。
ワイヤー矯正の注意事項(リスク・副作用など)
- 治療中は違和感や痛みが起こることがあります
- 症状により、抜歯が必要な場合があります
- 治療中は歯磨きがしにくくなるため、虫歯や歯周病になりやすくなります
- 矯正治療後の保定が不十分だと後戻り(元の位置に戻ろうとする動き)をします
- 自費診療(保険適用外)となります
当サイトの内容、テキスト、画像等の無断転載、複製、複写、盗用を固く禁じます。


























