症例詳細
Case detail
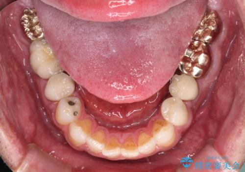
抜歯が必要な左右の奥歯 ブリッジとインプラントによる奥歯の補綴治療
治療症例の内容
- 患者様
- 50代男性
- 治療期間
- 1年5ヶ月
- 治療回数
- 10-30回
- 治療計画
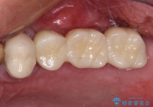
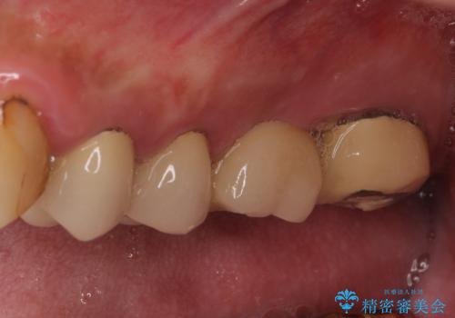
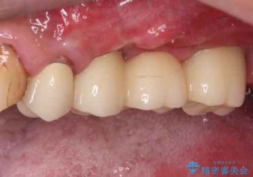
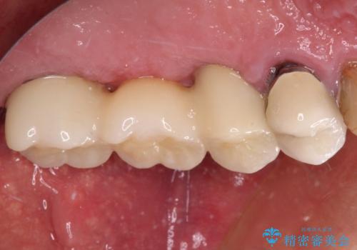
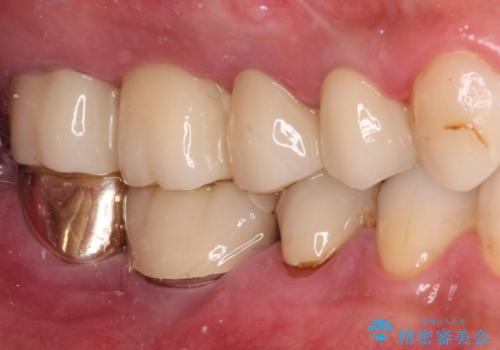
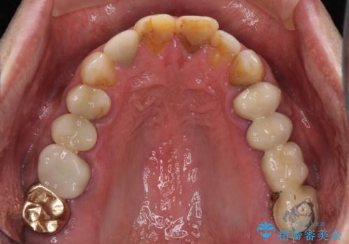
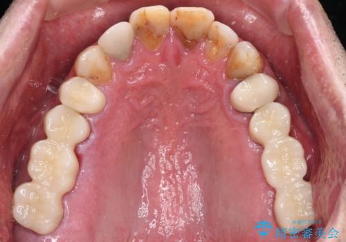
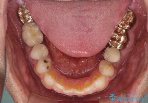
- 咬んだときに奥歯に痛みを感じるとのことで来院された患者様です。
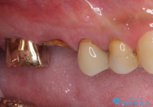
診査の結果、左側は奥歯2本、右側は1本の抜歯が必要であることが分かりました。
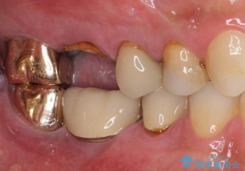
左側は大臼歯2本と小臼歯1本が欠損しているため、インプラント2本を治療したブリッジ、右側は中間欠損であり、前後の歯も加療が必要であったためブリッジによる補綴治療を行うこととしました。
- 費用(概算)
- 治療費の目安: 150万円(税込)費用は治療当時の料金となります
治療について
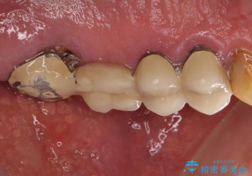
抜歯となった歯は全て神経が抜かれた歯であり、強大な咬合力によって破折したことが原因で抜歯となりました。
左右同時に強大な力を受けながらの治療であったため、仮歯の脱落や破損などがひんぱつしました。
治療後の現在は、より長い期間安定した状態を維持していただくため、就寝時マウスピースを装着するようお願いしております。
インプラント治療の注意事項(リスク・副作用など)
- 外科手術のため、術後に痛みや腫れ、違和感を伴います
- メンテナンスを怠ったり喫煙により、お口の中に大きな悪影響を及ぼすインプラント周囲炎等にかかる可能性があります
- 糖尿病、肝硬変、心臓病等の場合、インプラント治療ができない可能性があります
- 高血圧、貧血・不整脈等の場合、インプラント治療後に治癒不全を招く可能性があります
- 自費診療(保険適用外治療)となります
セラミック治療の注意事項(リスク・副作用など)
- 天然歯を削ります
- 硬い素材は天然歯を傷つけてしまう場合があります
- かみ合わせや歯ぎしりが強すぎる方はセラミックが割れてしまう可能性があります
- 自費診療(保険適用外治療)となります
当サイトの内容、テキスト、画像等の無断転載、複製、複写、盗用を固く禁じます。






























