症例詳細
Case detail
不揃いな前歯のセラミックが気になる オールセラミッククラウンによる補綴治療
治療症例の内容
- 診療科目
 
- 治療カテゴリ
 
- 担当医
 - 藤巻太一朗(ドクタープロフィール)
 
- 患者様
 - 20代女性
 
- 治療期間
 - 2ヶ月
 
- 治療回数
 - 2-5回
 
- 治療計画
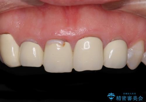
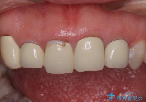
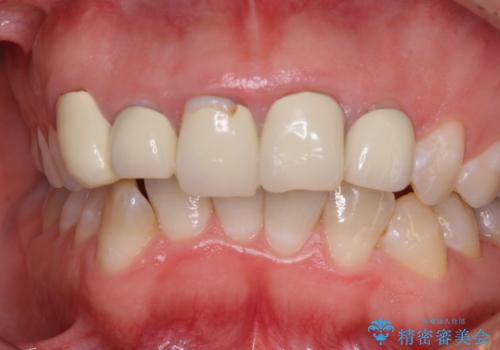
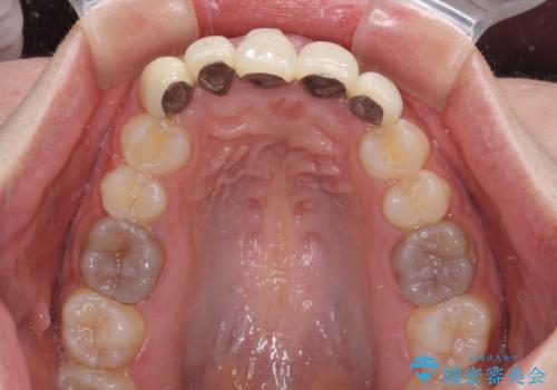
 - 歯列不正を改善する目的で装着した前歯のセラミックが気になるとのことで来院された患者様です。
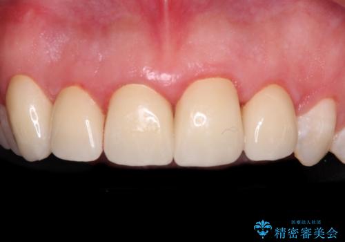
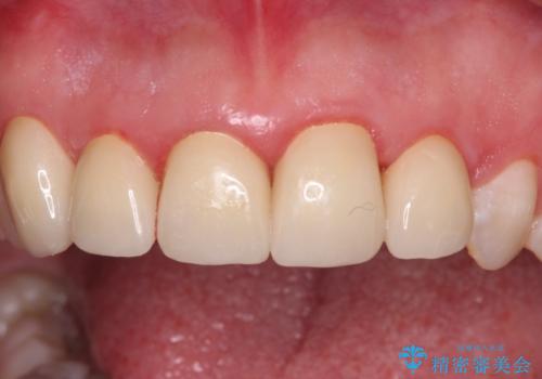
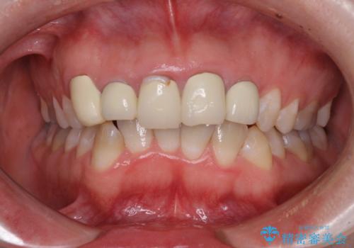
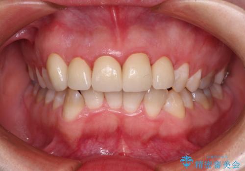
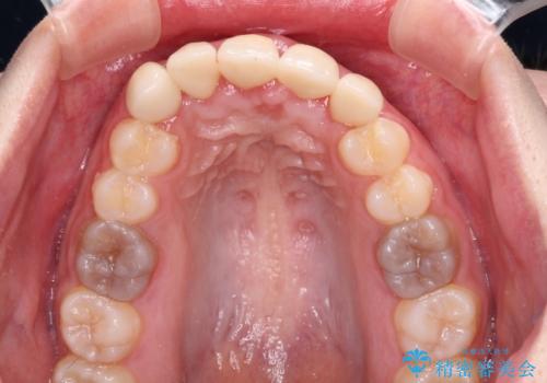
金属の裏打ちを用いたセラミッククラウンであったため歯肉縁に黒ずみが見えてくることは良くありますが、全体的に歯列が不揃いであることが気になったので、それらをオールセラミッククラウンにて改善することとしました。 
- 費用(概算)
 - 治療費の目安: 60万円(税込)費用は治療当時の料金となります
 
治療について
セラミッククラウンが外れてしまうことを心配して、歯ブラシをあまり当てられなかったとのことで、歯肉に軽度の炎症が認められました。
オールセラミッククラウン装着後、レントゲン写真より精度良く装着されていることは確認できているので、日頃のブラッシングで改善させるよう指導しています。
セラミック治療の注意事項(リスク・副作用など)
- 天然歯を削ります
 - 硬い素材は天然歯を傷つけてしまう場合があります
 - かみ合わせや歯ぎしりが強すぎる方はセラミックが割れてしまう可能性があります
 - 自費診療(保険適用外治療)となります
 
当サイトの内容、テキスト、画像等の無断転載、複製、複写、盗用を固く禁じます。

                      
                                                          












