症例詳細
Case detail
海外赴任前に気になる虫歯を治療したい
治療症例の内容
- 診療科目
- 担当医
- 藤巻太一朗(ドクタープロフィール)
- 患者様
- 40代男性
- 治療期間
- 1ヶ月
- 治療回数
- 2-5回
- 治療計画
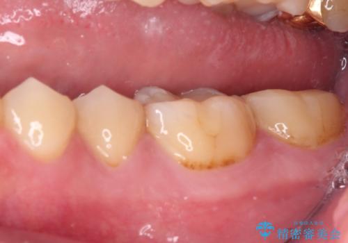
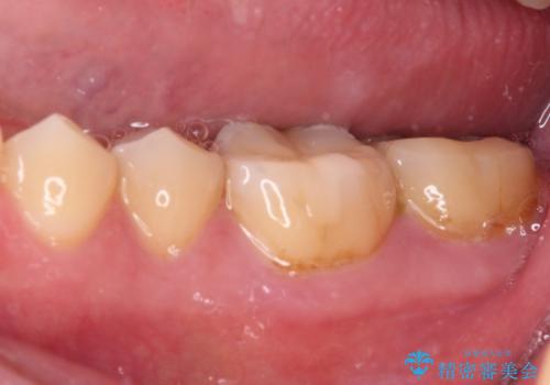
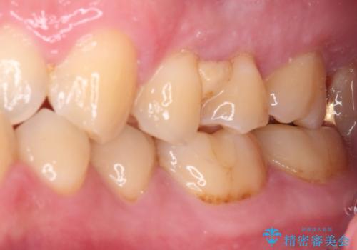
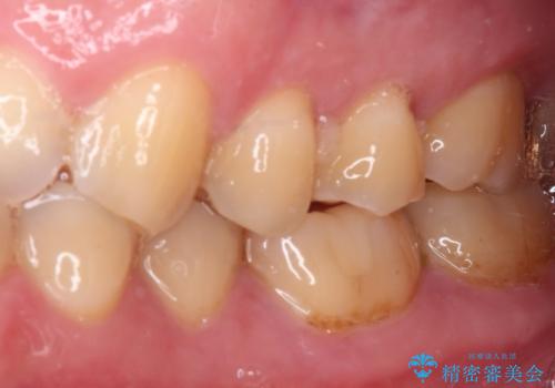
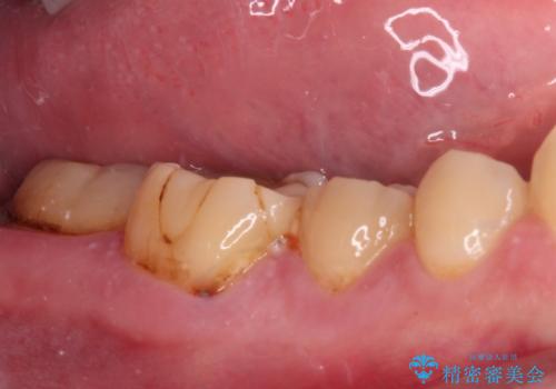
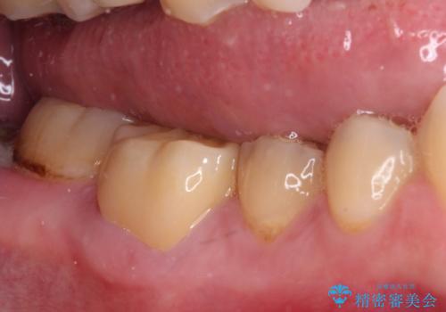
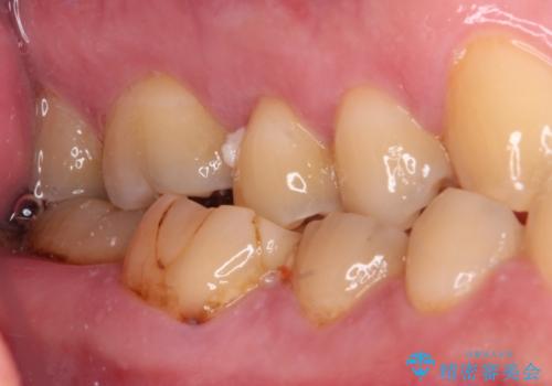
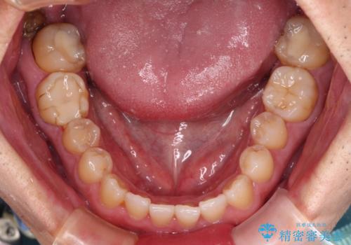
- 左右下顎の奥歯に違和感を感じるとのことで来院された患者様です。
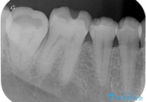
最近ものが挟まりやすくなったり、冷たいものがしみるようになったりと言った症状があり、診査したところ、歯質の欠損や不適修復物などが認められました。
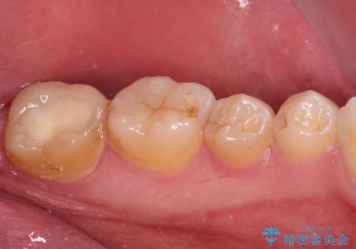
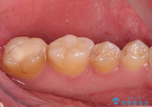
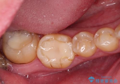
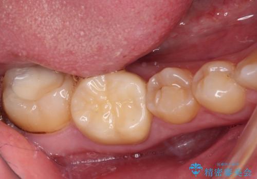
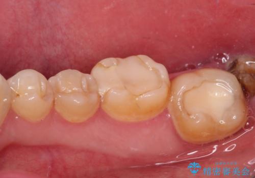
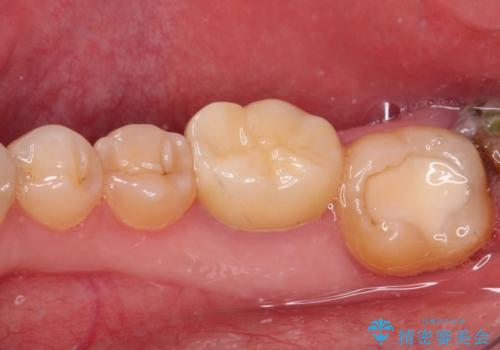
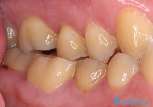
精度の高いセラミックインレーによる修復治療が第一選択となりますが、一方の歯は元々修復物が大きく、咬合力の強い方であったので、セラミッククラウンによる補綴治療を行うこととしました。
- 費用(概算)
- 治療費の目安: 16万円(税込)費用は治療当時の料金となります
治療について
長期海外赴任が近いとのことで、出発に間に合うようにアポイントを調整して治療を進めて行きました。
中途半端に歯冠の見えている親知らずもあったため、そちらも出発前に抜歯を行いました。
セラミック治療の注意事項(リスク・副作用など)
- 天然歯を削ります
- 硬い素材は天然歯を傷つけてしまう場合があります
- かみ合わせや歯ぎしりが強すぎる方はセラミックが割れてしまう可能性があります
- 自費診療(保険適用外治療)となります
当サイトの内容、テキスト、画像等の無断転載、複製、複写、盗用を固く禁じます。






















