症例詳細
Case detail
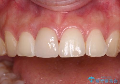
転倒して欠けてしまった前歯をオールセラミッククラウンで自然な口元に
治療症例の内容
- 診療科目
- 治療カテゴリ
- 担当医
- 藤巻太一朗(ドクタープロフィール)
- 患者様
- 20代女性
- 治療期間
- 1ヶ月
- 治療回数
- 2-5回
- 治療計画
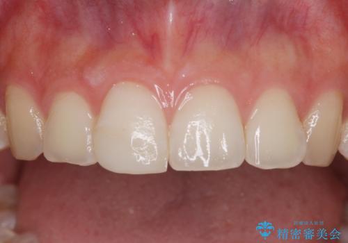
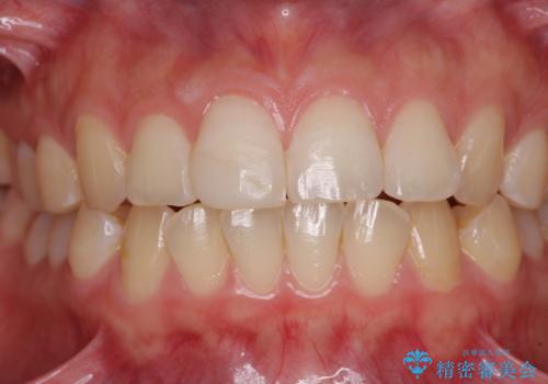
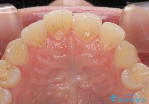
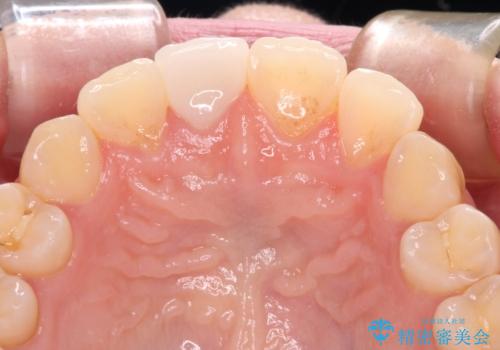
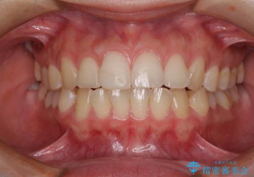
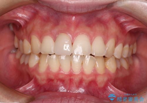
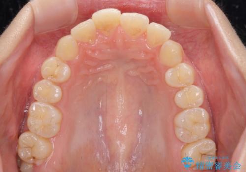
- 転んで前歯が欠けてしまったとのことで来院された患者様です。
転んで前歯の先端1/3ほどが欠けており、近医にて応急処置としてコンポジットレジン修復がされていました。
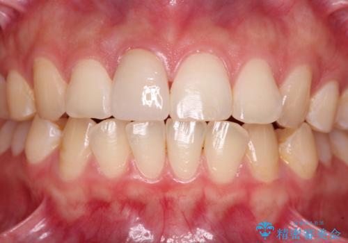
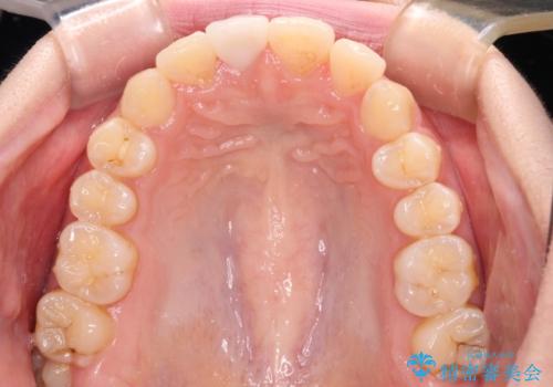
審美性や舌触り、今後の歯への負担などを考え、オールセラミッククラウンにて補綴治療を行うこととしました。
- 費用(概算)
- 治療費の目安: 15万円(税込)費用は治療当時の料金となります
治療について
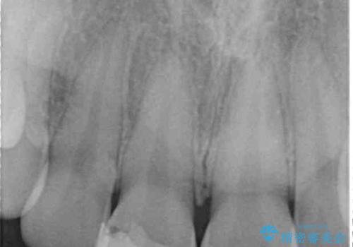
転倒などの強い力がかかった歯は、歯の内部の歯髄組織が壊死してしまったり、外部吸収と知って、歯根の一部が吸収してしまったりと、思わぬ問題を抱えていることがあります。
治療期間においてはこのようなトラブルは発生していませんでしたが、今後も定期的にレントゲン写真撮影などで経過を見ていく必要があります。
セラミック治療の注意事項(リスク・副作用など)
- 天然歯を削ります
- 硬い素材は天然歯を傷つけてしまう場合があります
- かみ合わせや歯ぎしりが強すぎる方はセラミックが割れてしまう可能性があります
- 自費診療(保険適用外治療)となります
当サイトの内容、テキスト、画像等の無断転載、複製、複写、盗用を固く禁じます。














