症例詳細
Case detail
抜かなければいけない前歯 歯肉移植を用いたオールセラミックブリッジ
治療症例の内容
- 診療科目
- 治療カテゴリ
- 担当医
- 藤巻太一朗(ドクタープロフィール)
- 患者様
- 50代女性
- 治療期間
- 4ヶ月
- 治療回数
- 2-5回
- 治療計画
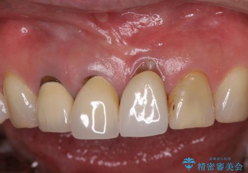
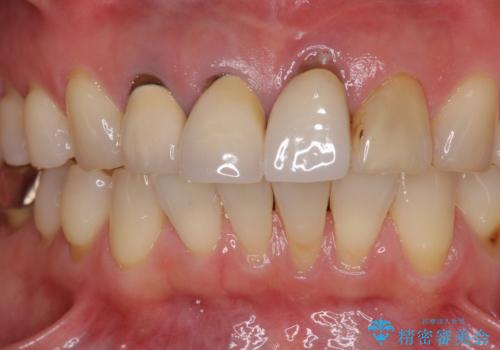
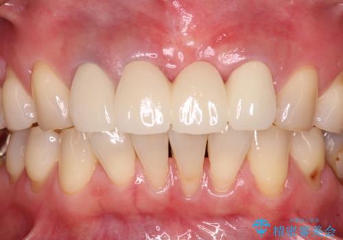
- 前歯を抜歯しなければならない状態であることを分かっていながら、長年放置してしまっているとのことで来院された患者様です。
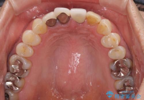
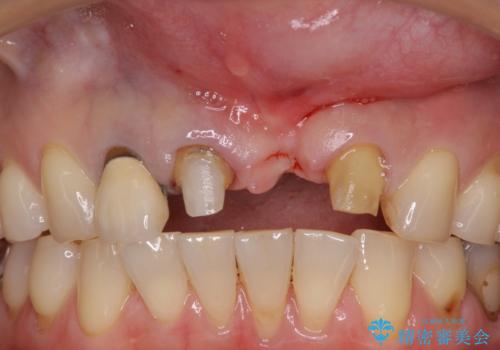
検査の結果、前歯1本は破折して周辺の歯槽骨は吸収しており、残った歯根も吸収が進んでいる状態でした。
以前に装着した周囲のクラウンの外見も気になるとのことで、前歯4歯の治療を行うこととしました。
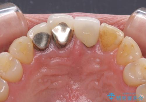
破折している歯は抜歯をし、歯肉が窪んでしまうので、傷口の治りを待って、歯肉移植を行うこととしました。
1歯は根管治療を行うことが必要と判断されたため、根管治療を実施することとしました。
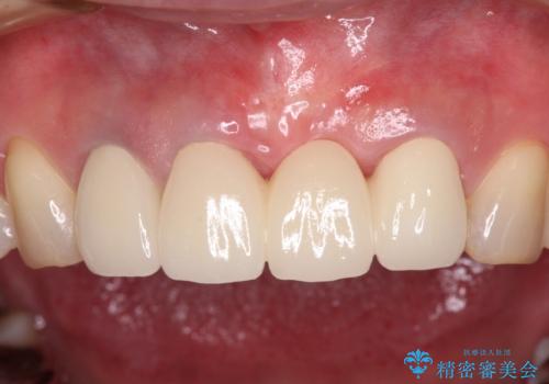
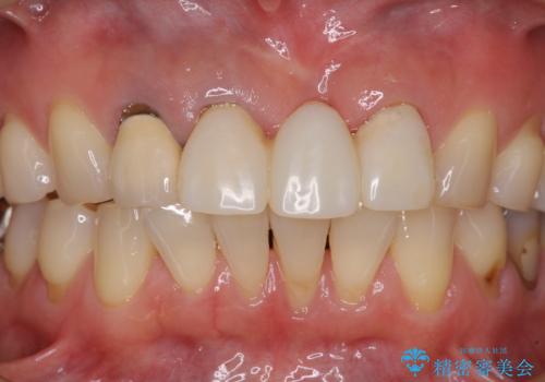
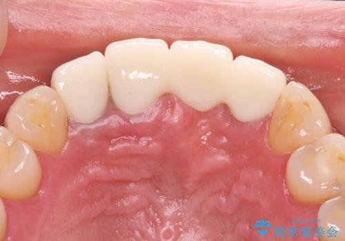
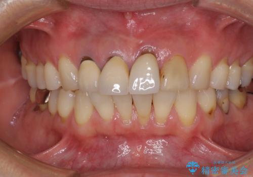
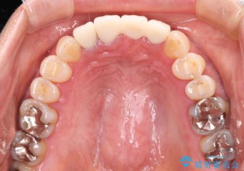
歯肉移植や根管治療終了後、オールセラミッククラウンおよびブリッジにて補綴することとしました。
- 費用(概算)
- 治療費の目安: 60万円(税込)費用は治療当時の料金となります
治療について
痛みはないものの、違和感は常に感じていらっしゃいました。
抜歯した日に仮歯を装着しましたが、翌日には違和感が消え、快適に過ごせるようになりました。
セラミック治療の注意事項(リスク・副作用など)
- 天然歯を削ります
- 硬い素材は天然歯を傷つけてしまう場合があります
- かみ合わせや歯ぎしりが強すぎる方はセラミックが割れてしまう可能性があります
- 自費診療(保険適用外治療)となります
外科処置の注意事項(リスク・副作用など)
- 外科手術のため、術後に出血、痛みや腫れ、違和感を伴います
- 口腔内の状態によっては適応できないことがあります
当サイトの内容、テキスト、画像等の無断転載、複製、複写、盗用を固く禁じます。



















