症例詳細
Case detail
鼻の下を押すと痛い 抜歯を避けてきた歯を抜歯して自然な口元に
治療症例の内容
- 診療科目
- 治療カテゴリ
- 担当医
- 藤巻太一朗(ドクタープロフィール)
- 患者様
- 40代女性
- 治療期間
- 5ヶ月
- 治療回数
- 2-5回
- 治療計画
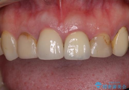
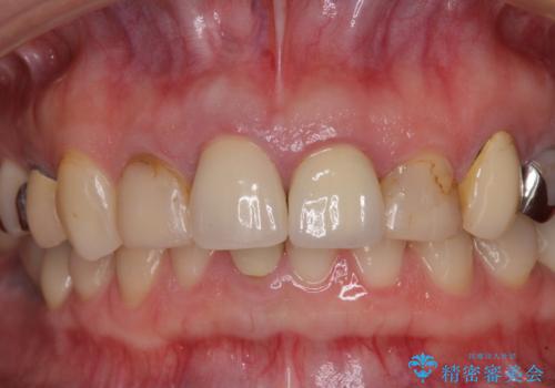
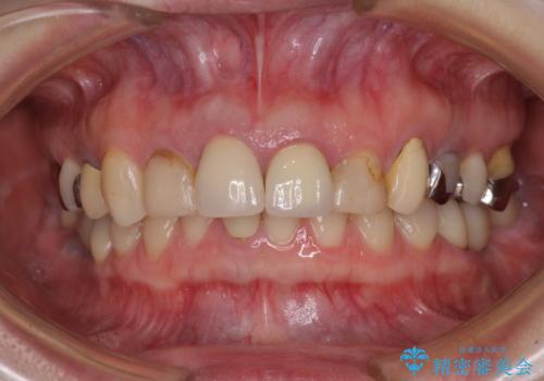
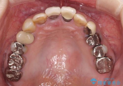
- 以前から前歯の根が折れていると言われていたものの放置しており、いよいよ痛みが気になってきたとのことで来院された患者様です。
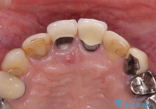
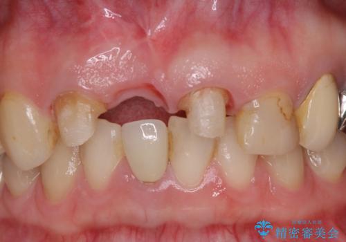
検査の結果、右前歯の歯根が縦に破折していることが分かりました。
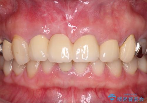
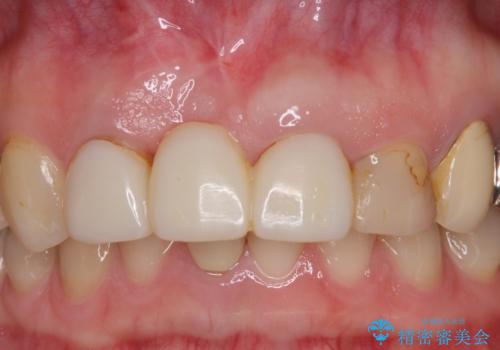
破折している歯は抜歯をし、歯肉が窪んでしまうので、傷口の治りを待って、歯肉移植を行うこととしました。
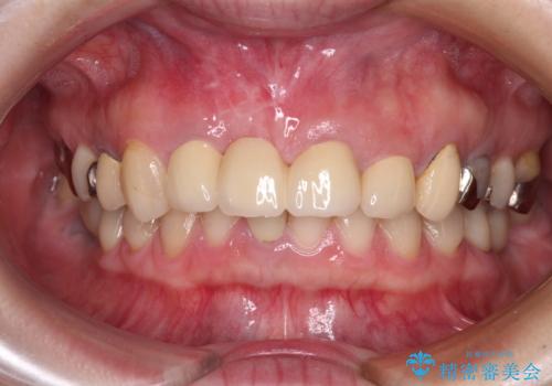
歯肉移植終了後、オールセラミックブリッジにて補綴することとしました。
- 費用(概算)
- 治療費の目安: 50万円(税込)費用は治療当時の料金となります
治療について
歯肉移植により歯肉ラインや歯の形態を整えることができ、ブリッジによる補綴としたことで舞えば全体の色調を整えることができました。
セラミック治療の注意事項(リスク・副作用など)
- 天然歯を削ります
- 硬い素材は天然歯を傷つけてしまう場合があります
- かみ合わせや歯ぎしりが強すぎる方はセラミックが割れてしまう可能性があります
- 自費診療(保険適用外治療)となります
外科処置の注意事項(リスク・副作用など)
- 外科手術のため、術後に出血、痛みや腫れ、違和感を伴います
- 口腔内の状態によっては適応できないことがあります
当サイトの内容、テキスト、画像等の無断転載、複製、複写、盗用を固く禁じます。




















