症例詳細
Case detail
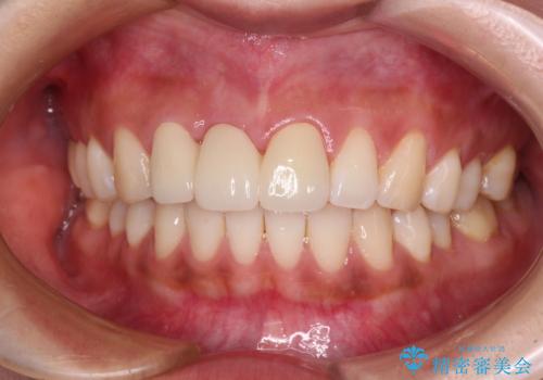
折れているのに応急処置でごまかしてきた前歯 オールセラミックブリッジによる補綴治療
治療症例の内容
- 診療科目
- 治療カテゴリ
- 担当医
- 藤巻太一朗(ドクタープロフィール)
- 患者様
- 30代女性
- 治療期間
- 3ヶ月
- 治療回数
- 2-5回
- 治療計画
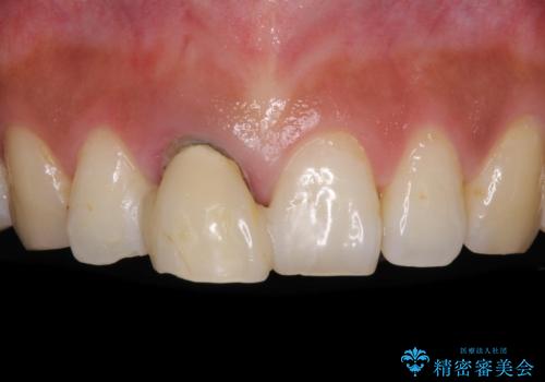
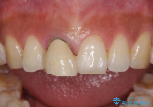
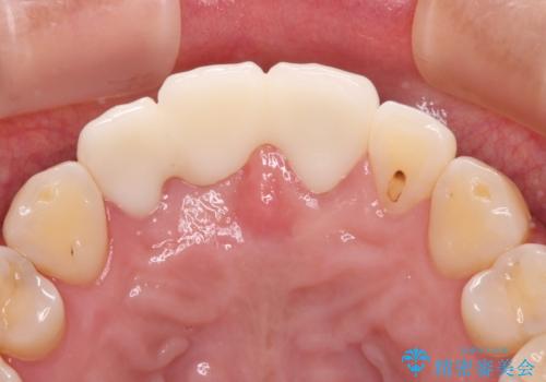
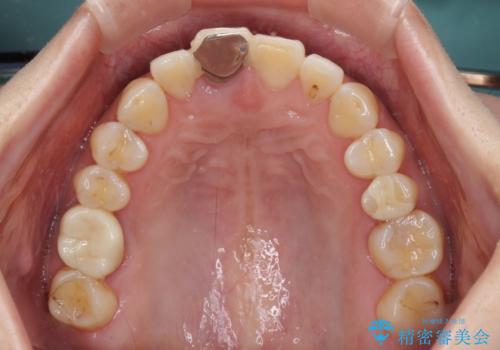
- 歯根が破折しているにもかかわらず、抜歯を避けてきたため痛みが発現したとのことで来院された患者様です。
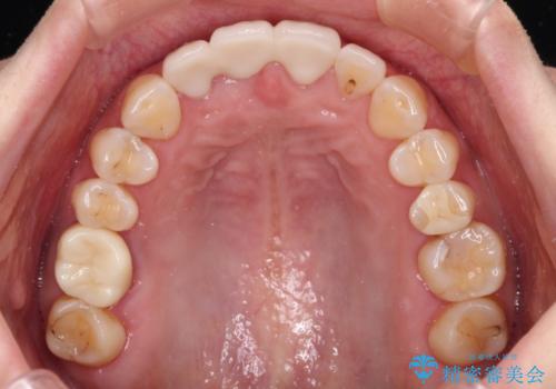
歯根破折した歯は抜歯適用となるため、速やかに抜歯を行い、傷が治り次第オールセラミックブリッジにて補綴治療を行うこととしました。
- 費用(概算)
- 治療費の目安: 35万円(税込)費用は治療当時の料金となります
治療について
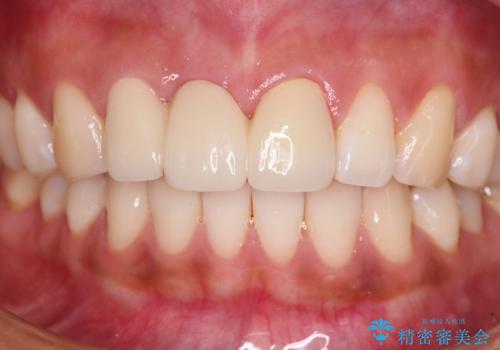
抜歯による歯槽骨や歯肉が陥没して審美障害を起こすことがありますが、今回は仮歯でも違和感のない外観となったため、歯肉移植術を行うことなく仕上げることができました。
セラミック治療の注意事項(リスク・副作用など)
- 天然歯を削ります
- 硬い素材は天然歯を傷つけてしまう場合があります
- かみ合わせや歯ぎしりが強すぎる方はセラミックが割れてしまう可能性があります
- 自費診療(保険適用外治療)となります
当サイトの内容、テキスト、画像等の無断転載、複製、複写、盗用を固く禁じます。














