症例詳細
Case detail
気がつくと口が開いてしまう 閉じにくい口元改善の抜歯矯正
治療症例の内容
- 診療科目
- 担当医
- 藤巻太一朗(ドクタープロフィール)
- 患者様
- 10代女性(高校生)
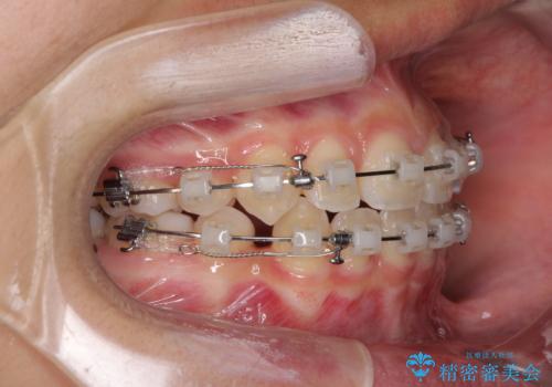
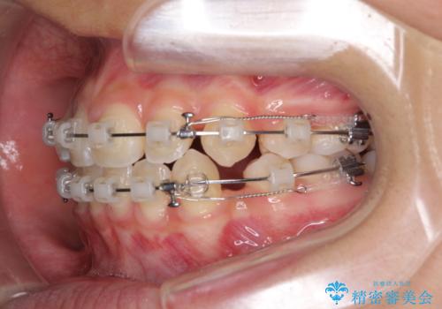
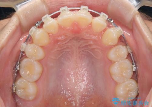
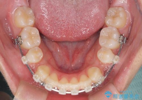
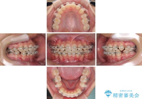
- 矯正装置
- クリアブラケット
- 治療期間
- 2年4ヶ月
- 治療回数
- 10-30回
- 治療計画
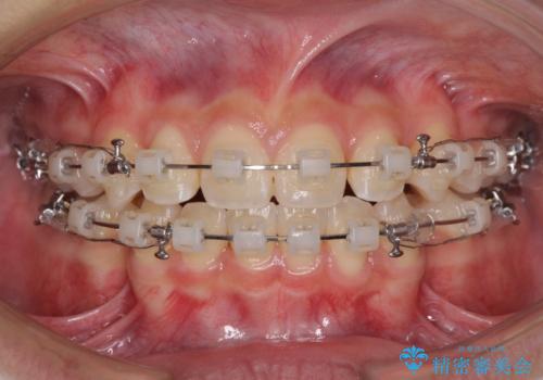
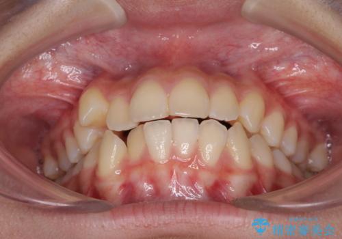
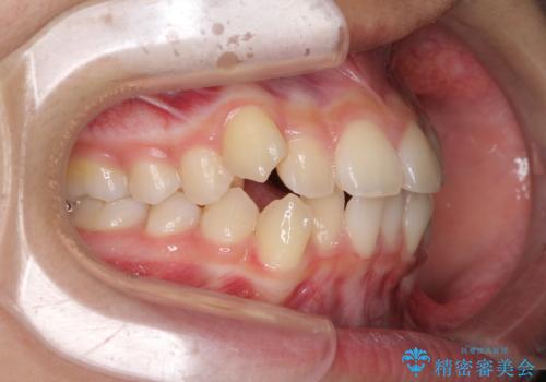
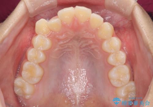
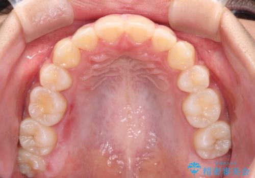
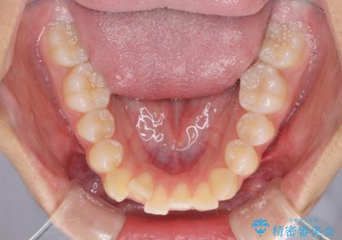
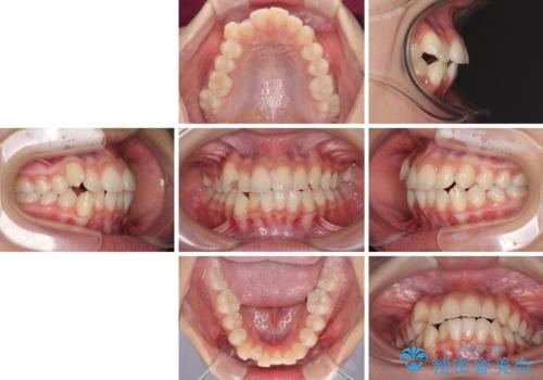
- 前歯のデコボコと八重歯を気にして来院された患者様です。
本人はあまり実感はありませんでしたが、同席されたご家族より口がすぐに開いてしまうことを指摘されていました。
口元に力の入る歯列であったため、上顎左右第一小臼歯4本を抜歯するワイヤー矯正を行うこととしました。
- 費用(概算)
- 治療費の目安: 95万円(税込)費用は治療当時の料金となります
治療について
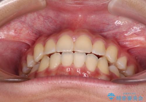
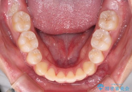
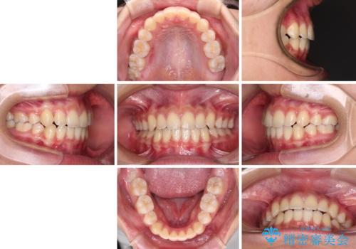
当初は八重歯やデコボコが一番気になっていましたが、抜歯矯正により口元の突出感が改善されるにつれ、口の閉じやすさを実感するようになってきました。
部活動で調整来院に来られないことがしばしばあり、期間は予定よりもかかりましたが、きれいに仕上げることができました。
ワイヤー矯正の注意事項(リスク・副作用など)
- 治療中は違和感や痛みが起こることがあります
- 症状により、抜歯が必要な場合があります
- 治療中は歯磨きがしにくくなるため、虫歯や歯周病になりやすくなります
- 矯正治療後の保定が不十分だと後戻り(元の位置に戻ろうとする動き)をします
- 自費診療(保険適用外)となります
当サイトの内容、テキスト、画像等の無断転載、複製、複写、盗用を固く禁じます。




























