症例詳細
Case detail
下の歯が前に出てしまう咬み合わせを治したい インビザラインによる矯正治療
治療症例の内容
- 診療科目
- 担当医
- 藤巻太一朗(ドクタープロフィール)
- 患者様
- 50代男性
- 矯正装置
- インビザライン
- 治療期間
- 3年6ヶ月
- 治療回数
- 10-30回
- 治療計画
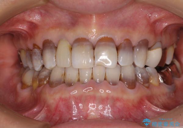
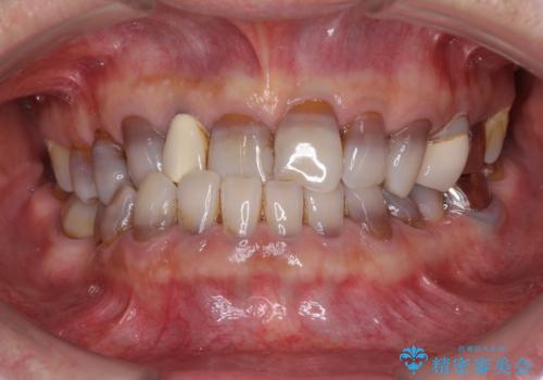
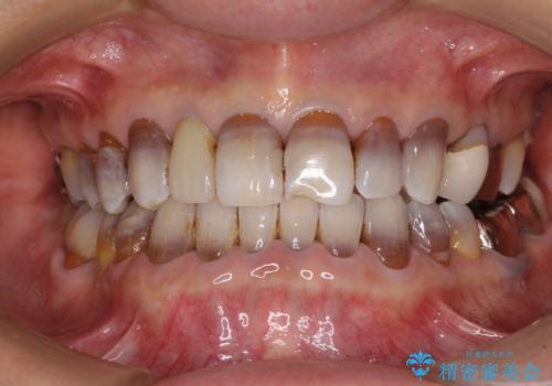
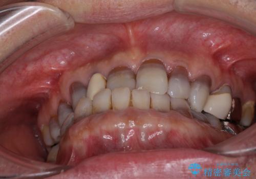
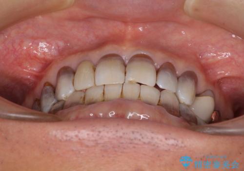
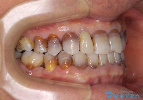
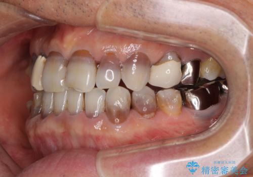
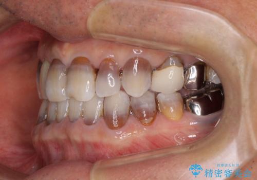
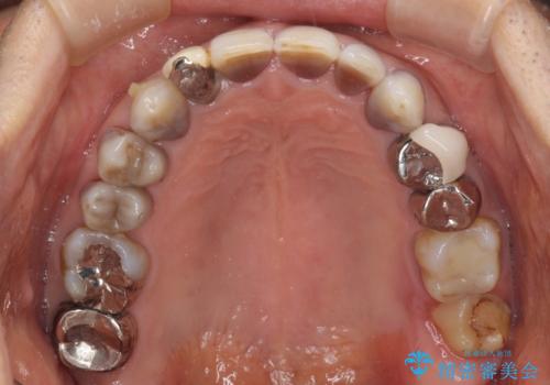
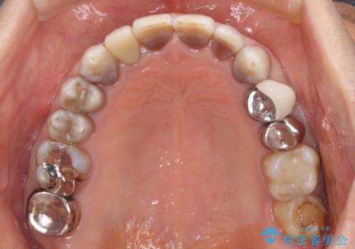
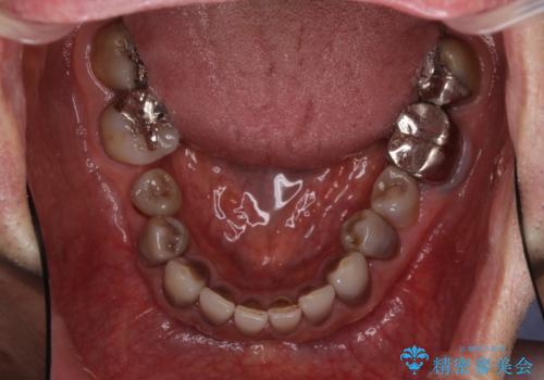
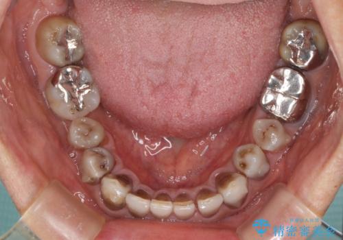
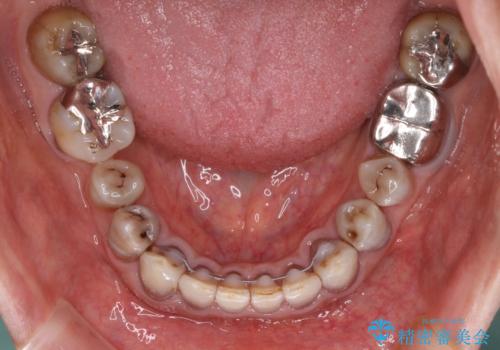
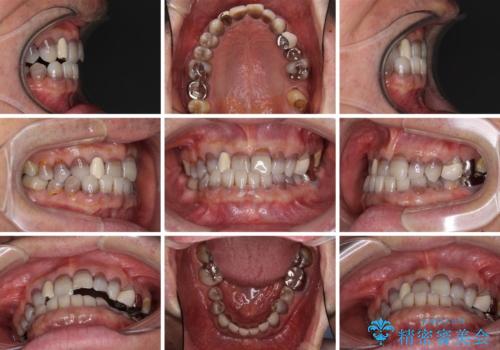
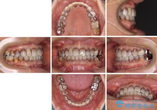
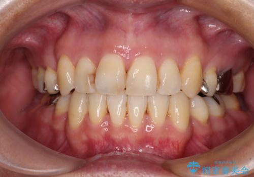
- 前歯のクロスバイトを気にして来院された患者様です。
 骨格的に下顎が前方位ではありますが、歯並びが改善されれば正常咬合となることが分かったため、インビザラインを用いて咬み合わせを改善していくこととしました。
- 費用(概算)
- 治療費の目安: 95万円(税込)費用は治療当時の料金となります
治療について
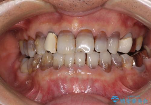
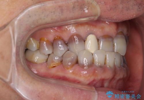
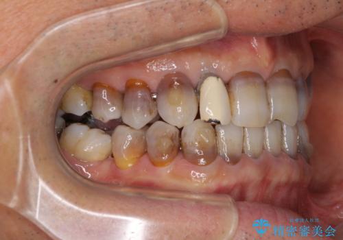
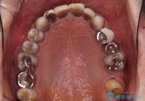
インビザラインは四六時中上下のマウスピースを介した咬合状態となるため、治療過程にて奥歯が接触しないという状態が続くことがあります。
奥歯の非接触は機能面において大きな障害であるため、この問題を解決しない限り矯正治療を終えることはできません。
インビザラインでの矯正治療が長期化してしまう要因の1つです。
マウスピース矯正の注意事項(リスク・副作用など)
- 口腔内・歯並びの状態によっては対応できない場合があります
- マウスピース型矯正装置の長時間装着(1日20時間以上)が必須です
- 治療計画通りに進めるためには、患者様の意志が重要になります
- 矯正治療後の保定が不十分だと後戻り(元の位置に戻ろうとする動き)をします
- 薬機法対象外の矯正歯科装置のため医薬品副作用被害救済制度の対象外となる場合があります
- 自費診療(保険適用外)となります
当サイトの内容、テキスト、画像等の無断転載、複製、複写、盗用を固く禁じます。








 
                       
                                                          



























 
                   
                   
                  