症例詳細
Case detail
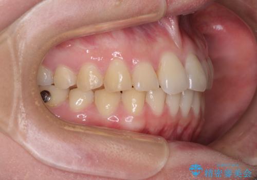
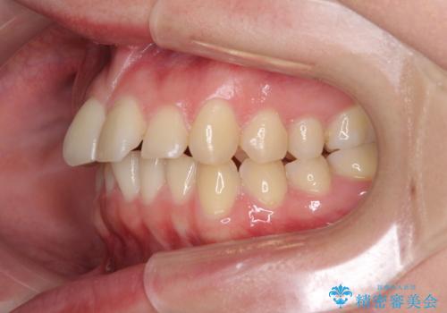
顎が痛くなる咬み合わせが気になる 想定していなかった矯正治療を行うことに
治療症例の内容
- 診療科目
- 担当医
- 藤巻太一朗(ドクタープロフィール)
- 患者様
- 30代女性
- 矯正装置
- インビザライン
- 治療期間
- 2年
- 治療回数
- 10-30回
- 治療計画
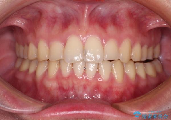
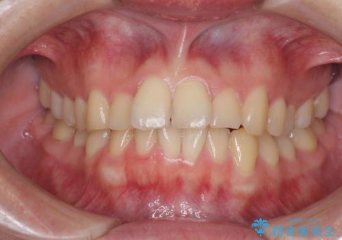
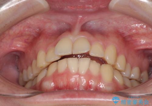
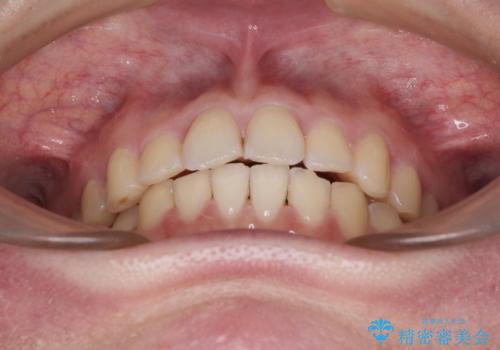
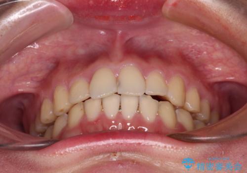
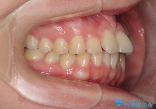
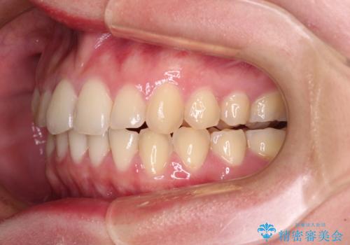
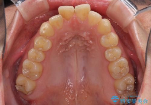
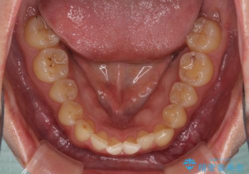
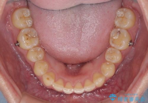
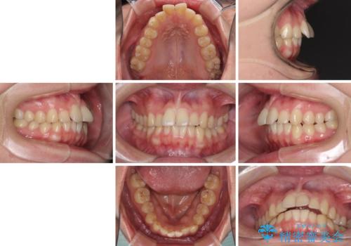
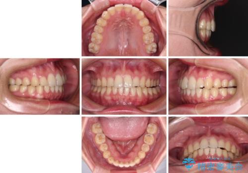
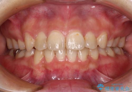
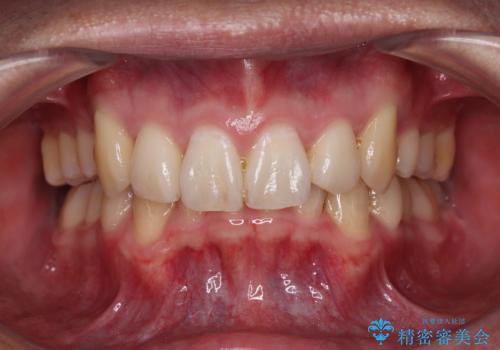
- 食いしばりが気になっていたとのことで来院された患者様です。
 当初は睡眠時のマウスピースのみの製作をご希望でしたが、矯正治療の提案をしたところ、インビザラインにて矯正治療を行うこととなりました。
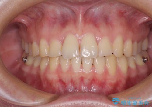
 矯正治療中に食いしばりがより強くなることがあるため、半年に1回のペースでボツリヌストキシンによる咬合力緩和を並行して行うこととしました。
- 費用(概算)
- 治療費の目安: 85万円(税込)費用は治療当時の料金となります
治療について
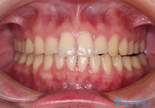
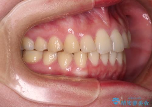
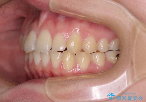
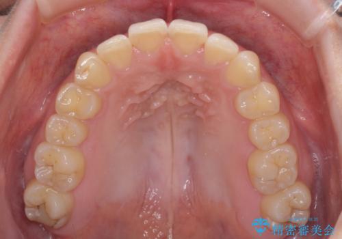
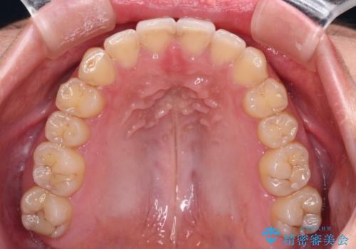
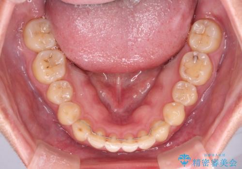
咬合力の緩和と食いしばりがちな咬み合わせが改善され、顎の負担が大幅に軽減されました。
マウスピース矯正の注意事項(リスク・副作用など)
- 口腔内・歯並びの状態によっては対応できない場合があります
- マウスピース型矯正装置の長時間装着(1日20時間以上)が必須です
- 治療計画通りに進めるためには、患者様の意志が重要になります
- 矯正治療後の保定が不十分だと後戻り(元の位置に戻ろうとする動き)をします
- 薬機法対象外の矯正歯科装置のため医薬品副作用被害救済制度の対象外となる場合があります
- 自費診療(保険適用外)となります
当サイトの内容、テキスト、画像等の無断転載、複製、複写、盗用を固く禁じます。








 
                       
                                                          


























 
                   
                   
                  