症例詳細
Case detail
奥歯が痛い 保険治療後に症状が発現した歯のむし歯治療
治療症例の内容
- 診療科目
- 治療カテゴリ
- 担当医
- 藤巻太一朗(ドクタープロフィール)
- 患者様
- 30代女性
- 治療期間
- 2ヶ月
- 治療回数
- 2-5回
- 治療計画
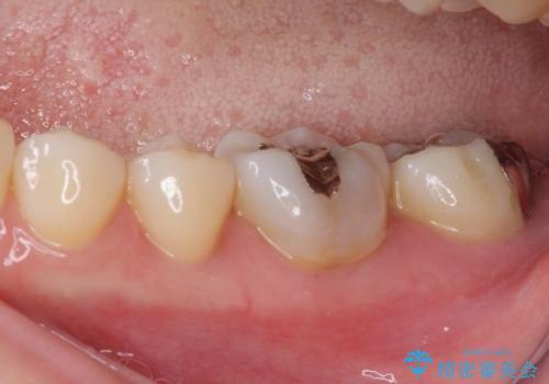
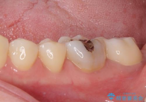
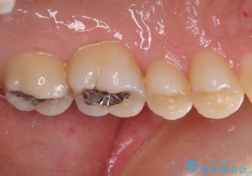
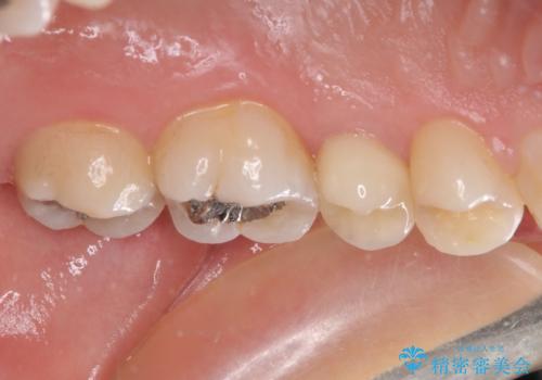
- 近医にてむし歯治療を行った後に痛みが出たとのことで来院された患者様です。
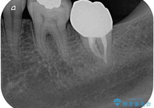
左下奥歯は術後から咬合時の痛みが発現し、来院時には脈を打つような痛みが認められました。
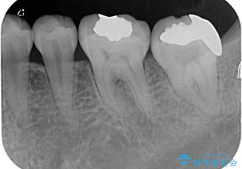
診察の結果、神経を取り除く必要があると判断されたため根管治療を行いました。
その後、左上の奥歯にも咬合時の痛みが認められ、レントゲン写真より歯内の神経が失活していることが分かりました。
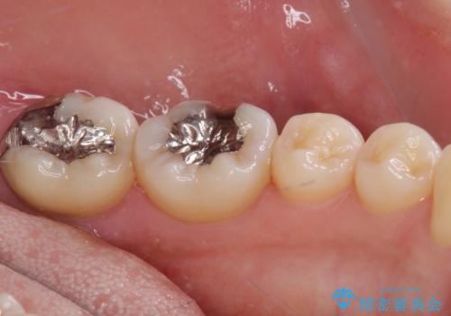
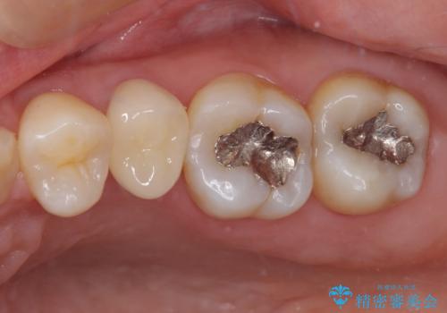
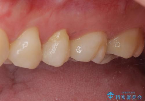
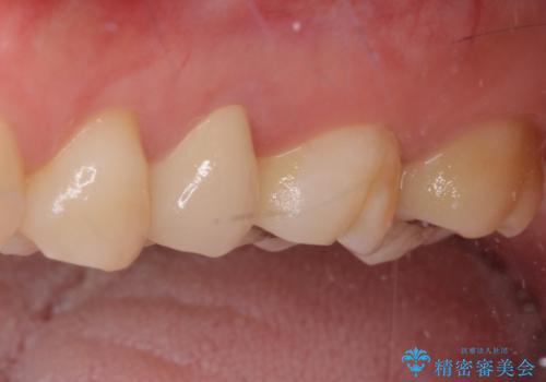
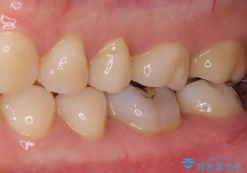
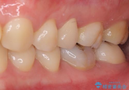
2歯ともに根管治療を行い、その後はオールセラミッククラウンにて補綴治療を行うこととしました。
- 費用(概算)
- 治療費の目安: 35万円(税込)費用は治療当時の料金となります
治療について
来院時には食事が取れないほどの痛みを訴えていらっしゃいましたが、処置後からは痛みが軽減され、食事もいつも通りに取れるようになりました。
セラミック治療の注意事項(リスク・副作用など)
- 天然歯を削ります
- 硬い素材は天然歯を傷つけてしまう場合があります
- かみ合わせや歯ぎしりが強すぎる方はセラミックが割れてしまう可能性があります
- 自費診療(保険適用外治療)となります
根管治療の注意事項(リスク・副作用など)
- 根管治療により類似の全ての症例の問題が解決するわけではなく、症例はあくまでも一例です
- 根管治療により痛みや腫れがひかない事や、術後に痛みや腫れが生じる事、治療によるファイル破折やパーフォレーションなどの偶発症、術後の歯根破折を生じる可能性もあります
- 自費診療(保険適用外)となります
当サイトの内容、テキスト、画像等の無断転載、複製、複写、盗用を固く禁じます。




















